• 文献检索
  • 文档翻译
  • 深度研究
  • 学术资讯
  • Suppr Zotero 插件Zotero 插件
  • 邀请有礼
  • 套餐&价格
  • 历史记录
应用&插件
Suppr Zotero 插件Zotero 插件浏览器插件Mac 客户端Windows 客户端微信小程序
定价
高级版会员购买积分包购买API积分包
服务
文献检索文档翻译深度研究API 文档MCP 服务
关于我们
关于 Suppr公司介绍联系我们用户协议隐私条款
关注我们

Suppr 超能文献

核心技术专利:CN118964589B侵权必究
粤ICP备2023148730 号-1Suppr @ 2026

文献检索

告别复杂PubMed语法,用中文像聊天一样搜索,搜遍4000万医学文献。AI智能推荐,让科研检索更轻松。

立即免费搜索

文件翻译

保留排版,准确专业,支持PDF/Word/PPT等文件格式,支持 12+语言互译。

免费翻译文档

深度研究

AI帮你快速写综述,25分钟生成高质量综述,智能提取关键信息,辅助科研写作。

立即免费体验

孤立性胰腺转移性恶性黑色素瘤的非手术治疗:病例报告及文献复习。

Nonsurgical Approach to Isolated Pancreatic Metastatic Malignant Melanoma: A Case Report and Review of the Literature.

机构信息

MountainView Hospital, Las Vegas, NV, USA.

出版信息

J Investig Med High Impact Case Rep. 2022 Jan-Dec;10:23247096221111763. doi: 10.1177/23247096221111763.

DOI:10.1177/23247096221111763
PMID:35848077
原文链接:https://pmc.ncbi.nlm.nih.gov/articles/PMC9290102/
Abstract

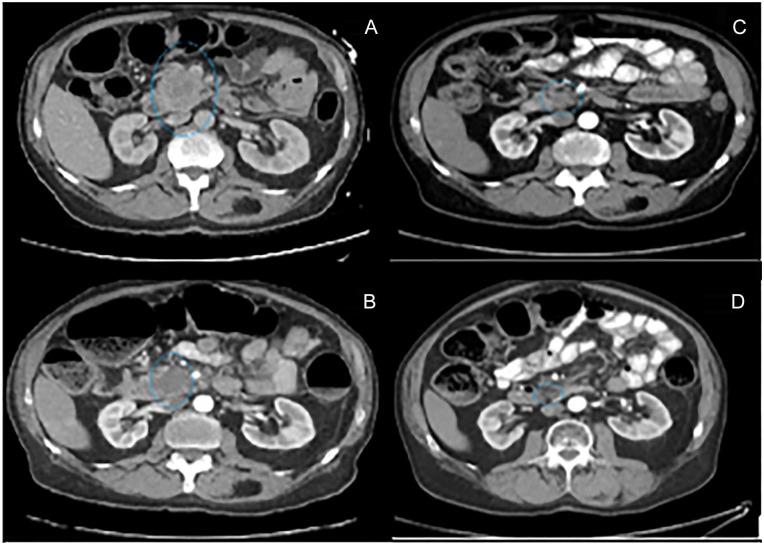
Isolated pancreatic metastases from melanoma are rare with high mortality rate and account for less than 1% of metastatic melanomas. Treatment options are limited with highest overall survival reported in those with complete surgical resection. Of cases reported in the literature with nonsurgical management, highest length of survival was reported to be 10 months. We report a case of malignant melanoma with isolated pancreatic metastasis treated with interferon therapy and immunotherapy, with evidence of progressive tumor shrinkage and survival at 38 months.

摘要

孤立性胰腺转移瘤来自黑色素瘤,其死亡率高,占转移性黑色素瘤的比例不到 1%。治疗方案有限,据报道,完全手术切除的患者总生存率最高。在文献中报告的非手术治疗病例中,最长的生存时间为 10 个月。我们报告了一例恶性黑色素瘤伴孤立性胰腺转移,接受干扰素治疗和免疫治疗,肿瘤有进展性缩小的证据,且患者存活 38 个月。

https://cdn.ncbi.nlm.nih.gov/pmc/blobs/c59a/9290102/7f1ce509ce02/10.1177_23247096221111763-fig1.jpg
https://cdn.ncbi.nlm.nih.gov/pmc/blobs/c59a/9290102/7f1ce509ce02/10.1177_23247096221111763-fig1.jpg
https://cdn.ncbi.nlm.nih.gov/pmc/blobs/c59a/9290102/7f1ce509ce02/10.1177_23247096221111763-fig1.jpg

相似文献

1
Nonsurgical Approach to Isolated Pancreatic Metastatic Malignant Melanoma: A Case Report and Review of the Literature.孤立性胰腺转移性恶性黑色素瘤的非手术治疗:病例报告及文献复习。
J Investig Med High Impact Case Rep. 2022 Jan-Dec;10:23247096221111763. doi: 10.1177/23247096221111763.
2
[Immunotherapy of melanomas].[黑色素瘤的免疫疗法]
Hautarzt. 2012 Dec;63(12):952-8. doi: 10.1007/s00105-012-2470-4.
3
Complete resection of isolated pancreatic metastatic melanoma: a case report and review of the literature.孤立性胰腺转移性黑色素瘤的完全切除术:病例报告及文献复习。
World J Gastroenterol. 2010 Sep 28;16(36):4621-4. doi: 10.3748/wjg.v16.i36.4621.
4
Pancreaticoduodenectomy for pancreatic metastatic melanoma.胰十二指肠切除术治疗胰腺转移性黑色素瘤。
J Exp Clin Cancer Res. 2004 Sep;23(3):539-43.
5
Isolated pancreatic metastasis from melanoma. Case report.
G Chir. 2011 Mar;32(3):135-7.
6
Robotic Extended Ultrasound-Guided Distal Pancreatectomy for Pancreatic Metastases from Uveal Melanoma.机器人辅助超声引导远端胰腺切除术治疗葡萄膜黑色素瘤胰腺转移。
Ann Surg Oncol. 2022 Apr;29(4):2469-2470. doi: 10.1245/s10434-021-11116-5. Epub 2021 Nov 27.
7
Metastatic melanoma.转移性黑色素瘤
Curr Treat Options Oncol. 2001 Jun;2(3):193-202. doi: 10.1007/s11864-001-0033-5.
8
[New aspects of immunotherapy of malignant melanoma].[恶性黑色素瘤免疫治疗的新进展]
Praxis (Bern 1994). 2001 Mar 8;90(10):403-6.
9
Pancreatic resection for metastatic melanoma. Case report and review of the literature.转移性黑色素瘤的胰腺切除术。病例报告及文献综述。
J Gastrointest Cancer. 2011 Dec;42(4):302-6. doi: 10.1007/s12029-010-9169-5.
10
Isolated pancreatic metastasis from malignant melanoma: a case report and literature review.恶性黑色素瘤孤立性胰腺转移:一例报告及文献复习
Clin J Gastroenterol. 2019 Dec;12(6):626-636. doi: 10.1007/s12328-019-00996-6. Epub 2019 May 27.

引用本文的文献

1
Pancreatic metastasis from anorectal malignant melanoma.直肠肛管恶性黑色素瘤的胰腺转移
Clin J Gastroenterol. 2025 Aug 25. doi: 10.1007/s12328-025-02203-1.

本文引用的文献

1
Pancreatic Metastasis from Malignant Melanoma: Not All That Glitters Is Gold.恶性黑色素瘤的胰腺转移:并非所有闪光的都是金子。
Case Rep Gastroenterol. 2021 Feb 3;15(1):131-136. doi: 10.1159/000511864. eCollection 2021 Jan-Apr.
2
Obstructive Jaundice Secondary to Pancreatic Head Metastasis of Malignant Amelanotic Melanoma as the First Clinical Manifestation.因恶性无黑色素性黑色素瘤胰头部转移引起的阻塞性黄疸为首发临床表现。
Prague Med Rep. 2021;122(1):45-51. doi: 10.14712/23362936.2021.6.
3
Metastases to the Pancreas Encountered on Endoscopic Ultrasound-Guided, Fine-Needle Aspiration.
内镜超声引导下细针穿刺活检发现的胰腺转移瘤
Arch Pathol Lab Med. 2015 Oct;139(10):1248-52. doi: 10.5858/arpa.2015-0200-RA.
4
Combined Nivolumab and Ipilimumab or Monotherapy in Untreated Melanoma.纳武利尤单抗与伊匹木单抗联合用药或单药治疗初治黑色素瘤
N Engl J Med. 2015 Jul 2;373(1):23-34. doi: 10.1056/NEJMoa1504030. Epub 2015 May 31.
5
Multiple pancreatic metastases from malignant melanoma: Conclusive diagnosis with endoscopic ultrasound-guided fine needle aspiration.多器官胰腺转移恶性黑色素瘤:超声内镜引导下细针抽吸的明确诊断。
Endosc Ultrasound. 2015 Apr-Jun;4(2):145-8. doi: 10.4103/2303-9027.156746.
6
Immune Checkpoint Blockade in Cancer Therapy.癌症治疗中的免疫检查点阻断疗法
J Clin Oncol. 2015 Jun 10;33(17):1974-82. doi: 10.1200/JCO.2014.59.4358. Epub 2015 Jan 20.
7
The use of interferon in melanoma patients: a systematic review.干扰素在黑色素瘤患者中的应用:一项系统性综述。
Cytokine Growth Factor Rev. 2015 Apr;26(2):203-12. doi: 10.1016/j.cytogfr.2014.11.008. Epub 2014 Nov 22.
8
Isolated malignant melanoma metastasis to the pancreas.孤立性恶性黑色素瘤胰腺转移。
Plast Reconstr Surg Glob Open. 2013 Dec 6;1(8):e74. doi: 10.1097/GOX.0000000000000018. eCollection 2013 Nov.
9
METASTATIC MELANOMA OF THE GASTROINTESTINAL TRACT.胃肠道转移性黑色素瘤
Arch Surg. 1964 Jun;88:969-73. doi: 10.1001/archsurg.1964.01310240065013.
10
Metastatic pancreatic malignant melanoma: tumor thrombus formed in portal venous system 15 years after initial surgery.转移性胰腺恶性黑色素瘤:初次手术后15年在门静脉系统形成肿瘤血栓。
Pancreas. 2003 Aug;27(2):201-3. doi: 10.1097/00006676-200308000-00016.