• 文献检索
  • 文档翻译
  • 深度研究
  • 学术资讯
  • Suppr Zotero 插件Zotero 插件
  • 邀请有礼
  • 套餐&价格
  • 历史记录
应用&插件
Suppr Zotero 插件Zotero 插件浏览器插件Mac 客户端Windows 客户端微信小程序
定价
高级版会员购买积分包购买API积分包
服务
文献检索文档翻译深度研究API 文档MCP 服务
关于我们
关于 Suppr公司介绍联系我们用户协议隐私条款
关注我们

Suppr 超能文献

核心技术专利:CN118964589B侵权必究
粤ICP备2023148730 号-1Suppr @ 2026

文献检索

告别复杂PubMed语法,用中文像聊天一样搜索,搜遍4000万医学文献。AI智能推荐,让科研检索更轻松。

立即免费搜索

文件翻译

保留排版,准确专业,支持PDF/Word/PPT等文件格式,支持 12+语言互译。

免费翻译文档

深度研究

AI帮你快速写综述,25分钟生成高质量综述,智能提取关键信息,辅助科研写作。

立即免费体验

一名年轻患者的腹股沟疝揭示了晚期胃癌:病例报告。

An inguinal hernia revealing an advanced stage gastric cancer in a young patient: A case report.

作者信息

Brimo Alsaman Muhamad Zakaria, Zeino Zainab, Alahmad Ziad, Attar Maysam, Haboush Seba, Rezkallah Vairy, Darwish Ahmad, Mohammad Mazen

机构信息

Faculty of Medicine, University of Aleppo, Aleppo, Syria.

Department of Pathology, Aleppo University Hospital, Aleppo, Syria.

出版信息

Ann Med Surg (Lond). 2022 Jun 9;79:103974. doi: 10.1016/j.amsu.2022.103974. eCollection 2022 Jul.

DOI:10.1016/j.amsu.2022.103974
PMID:35860116
原文链接:https://pmc.ncbi.nlm.nih.gov/articles/PMC9289344/
Abstract

INTRODUCTION

Gastric cancer (GC) is the fifth most common cancer and the fourth leading cause of death. It is much more common in advanced age and it is rare among the youngest patients (under 45 years of age).

CASE PRESENTATION

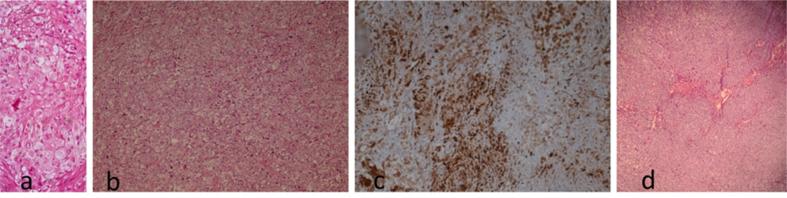
we report an unusual presentation of advanced gastric adenocarcinoma in 39-year-old man, who presented to our hospital with inguinal hernia without obvious gastrointestinal symptoms. He had strong family history of cancer, heavy smoking habit and weight loss. The intra-operative procedure identified a cyanotic separate spermatocele which was confirmed by the urologist. During investigation we found multiple liver metastasis in abdominal CT and advanced gastric adenocarcinoma from gastric biopsy and metastasis in spermatic cord sample and peritoneum sample of poorly differentiated adenocarcinoma.

CONCLUSION

Although stomach adenocarcinoma is extremely rare in young patient but it should be kept in mind of physicians as a possible diagnosis if there are many risk factors.

摘要

引言

胃癌是第五大常见癌症,也是第四大死亡原因。它在老年人群中更为常见,在最年轻的患者(45岁以下)中很少见。

病例报告

我们报告了一名39岁男性晚期胃腺癌的不寻常表现,他因腹股沟疝就诊于我院,无明显胃肠道症状。他有很强的癌症家族史、重度吸烟习惯且体重减轻。术中发现一个蓝色的孤立性精索囊肿,经泌尿科医生确诊。在检查过程中,我们在腹部CT中发现多处肝转移,胃活检确诊为晚期胃腺癌,精索样本和腹膜样本中为低分化腺癌转移。

结论

虽然胃腺癌在年轻患者中极为罕见,但如果存在许多危险因素,医生应将其作为一种可能的诊断予以考虑。

https://cdn.ncbi.nlm.nih.gov/pmc/blobs/dde0/9289344/8416b940aade/gr4.jpg
https://cdn.ncbi.nlm.nih.gov/pmc/blobs/dde0/9289344/636dd737e75c/gr1.jpg
https://cdn.ncbi.nlm.nih.gov/pmc/blobs/dde0/9289344/7056e76dc258/gr2.jpg
https://cdn.ncbi.nlm.nih.gov/pmc/blobs/dde0/9289344/6b73e0e0a130/gr3.jpg
https://cdn.ncbi.nlm.nih.gov/pmc/blobs/dde0/9289344/8416b940aade/gr4.jpg
https://cdn.ncbi.nlm.nih.gov/pmc/blobs/dde0/9289344/636dd737e75c/gr1.jpg
https://cdn.ncbi.nlm.nih.gov/pmc/blobs/dde0/9289344/7056e76dc258/gr2.jpg
https://cdn.ncbi.nlm.nih.gov/pmc/blobs/dde0/9289344/6b73e0e0a130/gr3.jpg
https://cdn.ncbi.nlm.nih.gov/pmc/blobs/dde0/9289344/8416b940aade/gr4.jpg

相似文献

1
An inguinal hernia revealing an advanced stage gastric cancer in a young patient: A case report.一名年轻患者的腹股沟疝揭示了晚期胃癌:病例报告。
Ann Med Surg (Lond). 2022 Jun 9;79:103974. doi: 10.1016/j.amsu.2022.103974. eCollection 2022 Jul.
2
Colon Cancer Metastasis to Spermatic Cord Presenting as an Inguinal Hernia.以腹股沟疝形式表现的结肠癌转移至精索
HCA Healthc J Med. 2024 Apr 30;5(2):133-138. doi: 10.36518/2689-0216.1593. eCollection 2024.
3
Mechanism of metastasis to the spermatic cord and testis from advanced gastric cancer: a case report.晚期胃癌转移至精索和睾丸的机制:一例报告。
BMC Gastroenterol. 2020 Apr 20;20(1):119. doi: 10.1186/s12876-020-01269-0.
4
Krukenberg tumor with concomitant ipsilateral hydronephrosis and spermatic cord metastasis in a man: A case report.男性克氏瘤伴同侧肾盂积水和精索转移:一例报告
World J Clin Cases. 2021 Jan 6;9(1):278-283. doi: 10.12998/wjcc.v9.i1.278.
5
Testicular and Spermatic Cord Metastases from Gastric Adenocarcinoma: An Unusual Case.胃腺癌的睾丸及精索转移:1例罕见病例
Cancer Manag Res. 2021 Feb 23;13:1897-1900. doi: 10.2147/CMAR.S286909. eCollection 2021.
6
Advanced diffuse gastric adenocarcinoma in young Syrian woman. A case report.一名年轻叙利亚女性的晚期弥漫性胃腺癌。病例报告。
Ann Med Surg (Lond). 2022 May 7;78:103728. doi: 10.1016/j.amsu.2022.103728. eCollection 2022 Jun.
7
Spermatic cord tumor metastatic from stomach cancer 1 year after curative gastrectomy.胃癌根治性胃切除术后1年出现精索静脉曲张转移瘤。
J Nippon Med Sch. 2013;80(4):318-23. doi: 10.1272/jnms.80.318.
8
Hernia with spermatocele, cord and testis inside sac: Case report.疝合并精液囊肿,囊内有精索和睾丸:病例报告。
Int J Surg Case Rep. 2018;53:397-399. doi: 10.1016/j.ijscr.2018.11.031. Epub 2018 Nov 22.
9
Laparoscopic low anterior resection for hematogenous rectal metastasis from gastric adenocarcinoma: a case report.腹腔镜下低位前切除术治疗胃腺癌血行性直肠转移:1 例报告。
World J Surg Oncol. 2011 Nov 11;9:148. doi: 10.1186/1477-7819-9-148.
10
Unilateral spermatic cord metastasis from gastric cancer: a case report.胃癌单侧精索转移:一例报告
Iran J Radiol. 2012 Nov;9(4):217-9. doi: 10.5812/iranjradiol.8519. Epub 2012 Nov 20.

引用本文的文献

1
Metastatic Gastric Adenocarcinoma in the Inguinal Hernia Sac Diagnosed Radiologically: A Case Report.腹股沟疝囊内转移性胃腺癌的影像学诊断:病例报告。
Arch Iran Med. 2024 Jun 1;27(6):341-345. doi: 10.34172/aim.28951. Epub 2024 Apr 27.
2
Gastric Schwannoma in an Octogenarian: A Case Report and Review of the Literature.一位八旬老人的胃神经鞘瘤:病例报告及文献综述
Cureus. 2024 Apr 23;16(4):e58857. doi: 10.7759/cureus.58857. eCollection 2024 Apr.

本文引用的文献

1
Global Cancer Statistics 2020: GLOBOCAN Estimates of Incidence and Mortality Worldwide for 36 Cancers in 185 Countries.《全球癌症统计数据 2020:全球 185 个国家和地区 36 种癌症的发病率和死亡率估计》。
CA Cancer J Clin. 2021 May;71(3):209-249. doi: 10.3322/caac.21660. Epub 2021 Feb 4.
2
The SCARE 2020 Guideline: Updating Consensus Surgical CAse REport (SCARE) Guidelines.SCARE 2020 指南:更新共识手术病例报告(SCARE)指南。
Int J Surg. 2020 Dec;84:226-230. doi: 10.1016/j.ijsu.2020.10.034. Epub 2020 Nov 9.
3
adolescent gastric carcinoma: a first case report in Saskatchewan, Canada.
青少年胃癌:加拿大萨斯喀彻温省首例病例报告
J Surg Case Rep. 2020 Aug 22;2020(8):rjaa249. doi: 10.1093/jscr/rjaa249. eCollection 2020 Aug.
4
Gastric Cancer: Epidemiology, Risk Factors, Classification, Genomic Characteristics and Treatment Strategies.胃癌:流行病学、危险因素、分类、基因组特征和治疗策略。
Int J Mol Sci. 2020 Jun 4;21(11):4012. doi: 10.3390/ijms21114012.
5
A Rare Case of an Advanced Gastric Adenocarcinoma in a Teenage Syrian Boy.一名叙利亚青少年男孩罹患晚期胃腺癌的罕见病例。
Case Rep Oncol Med. 2018 Nov 14;2018:9140593. doi: 10.1155/2018/9140593. eCollection 2018.
6
A rising trend in the incidence of advanced gastric cancer in young Hispanic men.年轻西班牙裔男性中晚期胃癌发病率呈上升趋势。
Gastric Cancer. 2017 Mar;20(2):226-234. doi: 10.1007/s10120-016-0603-7. Epub 2016 Feb 29.
7
Evaluation and treatment of malignant ascites secondary to gastric cancer.胃癌继发恶性腹水的评估与治疗
World J Gastroenterol. 2015 Oct 21;21(39):10936-47. doi: 10.3748/wjg.v21.i39.10936.
8
Gastric cancer in the young: is it a different clinical entity? A retrospective cohort study.青年胃癌:是否为一种不同的临床实体?一项回顾性队列研究。
Gastroenterol Res Pract. 2014;2014:125038. doi: 10.1155/2014/125038. Epub 2014 Feb 13.
9
Clinicopathologic characteristics and prognosis of gastric cancer in young patients.青年胃癌患者的临床病理特征及预后
Yonago Acta Med. 2012 Sep;55(3):57-61. Epub 2012 Sep 30.
10
Gastric cancer: two epidemics?胃癌:两种流行情况?
Dig Dis Sci. 2011 May;56(5):1585-6; author reply 1586. doi: 10.1007/s10620-011-1642-x.