• 文献检索
  • 文档翻译
  • 深度研究
  • 学术资讯
  • Suppr Zotero 插件Zotero 插件
  • 邀请有礼
  • 套餐&价格
  • 历史记录
应用&插件
Suppr Zotero 插件Zotero 插件浏览器插件Mac 客户端Windows 客户端微信小程序
定价
高级版会员购买积分包购买API积分包
服务
文献检索文档翻译深度研究API 文档MCP 服务
关于我们
关于 Suppr公司介绍联系我们用户协议隐私条款
关注我们

Suppr 超能文献

核心技术专利:CN118964589B侵权必究
粤ICP备2023148730 号-1Suppr @ 2026

文献检索

告别复杂PubMed语法,用中文像聊天一样搜索,搜遍4000万医学文献。AI智能推荐,让科研检索更轻松。

立即免费搜索

文件翻译

保留排版,准确专业,支持PDF/Word/PPT等文件格式,支持 12+语言互译。

免费翻译文档

深度研究

AI帮你快速写综述,25分钟生成高质量综述,智能提取关键信息,辅助科研写作。

立即免费体验

孤立性腹膜转移前列腺癌致大量腹水 1 例报告

Isolated Peritoneal Metastasis of Prostate Cancer Presenting with Massive Ascites: A Case Report.

机构信息

Department of Internal Medicine, Kangwon National University Hospital, Kangwon National University School of Medicine, Chuncheon-si 24289, Gangwon-do, Korea.

Department of Pathology, Kangwon National University Hospital, Kangwon National University School of Medicine, Chuncheon-si 24289, Gangwon-do, Korea.

出版信息

Curr Oncol. 2022 Jun 21;29(7):4423-4427. doi: 10.3390/curroncol29070351.

DOI:10.3390/curroncol29070351
PMID:35877211
原文链接:https://pmc.ncbi.nlm.nih.gov/articles/PMC9320699/
Abstract

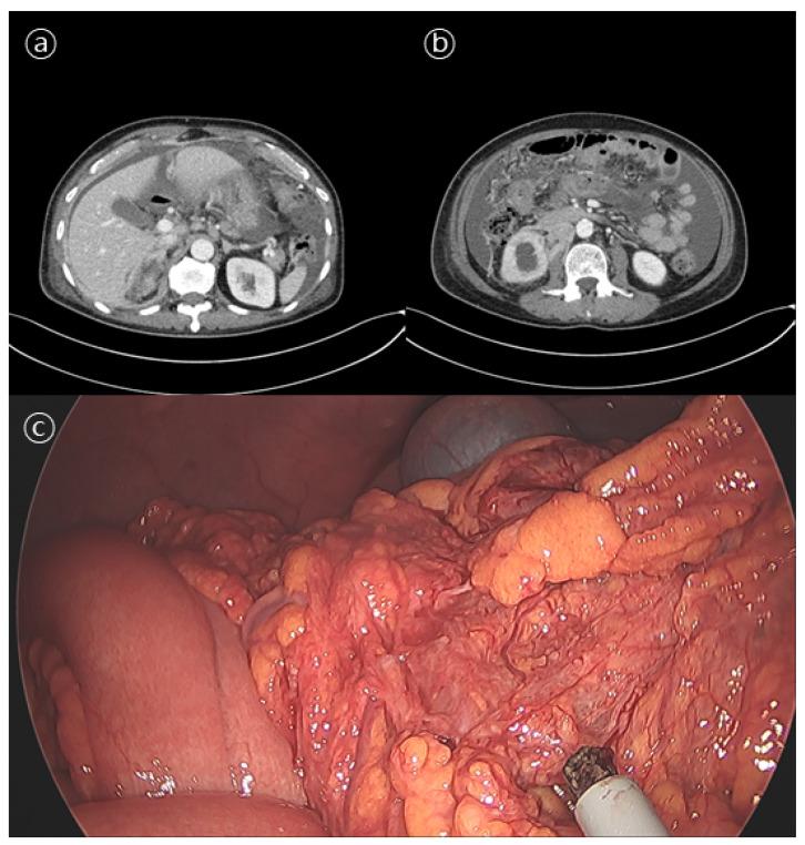
The peritoneal carcinomatosis of prostate cancer without bone or other visceral organ involvement is extremely rare. We report a case of an isolated peritoneal metastasis of prostate cancer in a patient without other metastatic sites and a history of prostate surgery. A 63-year-old male with locally advanced prostate cancer without known distant metastasis on androgen deprivation therapy presented with abdominal distension that had persisted for a month. Abdominopelvic computed tomography (CT) showed gastric wall thickening and a moderate amount of ascites. The gastroscopy showed hyperemic mucosal patches on the antrum body. A cytological examination of the ascites fluid was negative for malignant cells. Diagnostic laparoscopy showed multiple nodules in the peritoneum. A biopsy was performed. Histological findings were compatible with metastatic carcinoma of the prostate, which was immunohistochemically positive for pan-cytokeratin, the androgen receptor, and prostate-specific antigen (PSA). The patient was then treated with abiraterone acetate. After 1 month of treatment, both ascites and the PSA value decreased. We describe an extremely rare case of isolated peritoneal carcinomatosis from prostate cancer without any organ metastasis or history of surgery. Clinicians should be aware of these very rare metastases of prostate cancer. Hormonal therapy may be helpful for such cases.

摘要

前列腺癌腹膜转移而无骨或其他内脏器官受累的情况极其罕见。我们报告一例前列腺癌孤立性腹膜转移的病例,该患者无其他转移部位且无前列腺手术史。一名 63 岁男性,患有局部晚期前列腺癌,在雄激素剥夺治疗期间无已知远处转移,出现持续 1 个月的腹胀。腹盆腔 CT 显示胃壁增厚和中等量腹水。胃镜检查显示胃窦体部充血性黏膜斑块。腹水细胞学检查未见恶性细胞。诊断性腹腔镜检查显示腹膜多处结节。进行了活检。组织学检查结果符合前列腺转移性癌,免疫组化显示泛细胞角蛋白、雄激素受体和前列腺特异性抗原(PSA)阳性。随后给予醋酸阿比特龙治疗。治疗 1 个月后,腹水和 PSA 值均下降。我们描述了一例非常罕见的无任何器官转移或手术史的前列腺癌孤立性腹膜转移病例。临床医生应意识到这些非常罕见的前列腺癌转移。激素治疗对此类病例可能有帮助。

https://cdn.ncbi.nlm.nih.gov/pmc/blobs/dcd8/9320699/c4b15734a978/curroncol-29-00351-g002.jpg
https://cdn.ncbi.nlm.nih.gov/pmc/blobs/dcd8/9320699/90327789e5a0/curroncol-29-00351-g001.jpg
https://cdn.ncbi.nlm.nih.gov/pmc/blobs/dcd8/9320699/c4b15734a978/curroncol-29-00351-g002.jpg
https://cdn.ncbi.nlm.nih.gov/pmc/blobs/dcd8/9320699/90327789e5a0/curroncol-29-00351-g001.jpg
https://cdn.ncbi.nlm.nih.gov/pmc/blobs/dcd8/9320699/c4b15734a978/curroncol-29-00351-g002.jpg

相似文献

1
Isolated Peritoneal Metastasis of Prostate Cancer Presenting with Massive Ascites: A Case Report.孤立性腹膜转移前列腺癌致大量腹水 1 例报告
Curr Oncol. 2022 Jun 21;29(7):4423-4427. doi: 10.3390/curroncol29070351.
2
[Solitary peritoneal carcinomatosis in prostate cancer].[前列腺癌中的孤立性腹膜癌转移]
Aktuelle Urol. 2007 Sep;38(5):408-9. doi: 10.1055/s-2007-959185.
3
[A Case of Isolated Peritoneal Metastasis from Prostate Cancer].[一例前列腺癌孤立性腹膜转移病例]
Hinyokika Kiyo. 2019 May;65(5):175-179. doi: 10.14989/ActaUrolJap_65_5_175.
4
An Improbable Case of Ascites.一例罕见的腹水病例。
Eur J Case Rep Intern Med. 2020 Dec 22;7(12):001474. doi: 10.12890/2020_001474. eCollection 2020.
5
Scalp nodules as the first presentation of prostate cancer: A CARE-compliant article.头皮结节为前列腺癌首发表现:一份符合 CARE 原则的病例报告。
Medicine (Baltimore). 2023 Dec 15;102(50):e36570. doi: 10.1097/MD.0000000000036570.
6
Prostate cancer with metastasis to the omentum and massive ascites: a rare manifestation of a common disease.前列腺癌伴大网膜转移及大量腹水:一种常见疾病的罕见表现。
Onkologie. 2009 Dec;32(12):758-61. doi: 10.1159/000255336. Epub 2009 Nov 20.
7
Prostate Cancer Metastatic to the Peritoneum: A Road Less Traveled by a Common Malignancy.前列腺癌转移至腹膜:一种常见恶性肿瘤较少涉及的途径。
Cureus. 2019 Mar 11;11(3):e4222. doi: 10.7759/cureus.4222.
8
68Ga-PSMA PET/CT Urachus Metastases in Recurrent Prostate Cancer With Very Low PSA Level.68Ga-PSMA PET/CT 示踪剂在 PSA 极低的复发性前列腺癌中脐尿管转移的应用
Clin Nucl Med. 2019 Jan;44(1):40-41. doi: 10.1097/RLU.0000000000002362.
9
CT manifestations of peritoneal carcinomatosis.腹膜癌病的CT表现。
AJR Am J Roentgenol. 1988 May;150(5):1035-41. doi: 10.2214/ajr.150.5.1035.
10
EAU guidelines on prostate cancer. Part II: Treatment of advanced, relapsing, and castration-resistant prostate cancer.EAU 前列腺癌指南。第二部分:晚期、复发性和去势抵抗性前列腺癌的治疗。
Eur Urol. 2014 Feb;65(2):467-79. doi: 10.1016/j.eururo.2013.11.002. Epub 2013 Nov 12.

本文引用的文献

1
Isolated peritoneal carcinomatosis in prostate cancer: from a successful hormonal management to a review of the literature.前列腺癌孤立性腹膜癌转移:从成功的激素治疗到文献综述
Future Sci OA. 2021 Apr 30;7(6):FSO707. doi: 10.2144/fsoa-2021-0009.
2
Cancer Statistics, 2021.癌症统计数据,2021.
CA Cancer J Clin. 2021 Jan;71(1):7-33. doi: 10.3322/caac.21654. Epub 2021 Jan 12.
3
Tumor Seeding after Robot-Assisted Radical Prostatectomy: Literature Review and Experience from a Single Institution.机器人辅助根治性前列腺切除术后肿瘤种植:文献复习及单中心经验
J Urol. 2020 Jun;203(6):1141-1146. doi: 10.1097/JU.0000000000000701. Epub 2020 Mar 17.
4
Prostate Cancer Nonascitic Peritoneal Carcinomatosis After Robot-assisted Laparoscopic Radical Prostatectomy: 3 Case Reports and Review of the Literature.机器人辅助腹腔镜前列腺根治术后前列腺癌非腹水性腹膜癌转移:3 例报告并文献复习。
Urology. 2020 Mar;137:121-125. doi: 10.1016/j.urology.2019.11.035. Epub 2019 Dec 5.
5
The Diagnosis and Treatment of Prostate Cancer: A Review.前列腺癌的诊断与治疗:综述
JAMA. 2017 Jun 27;317(24):2532-2542. doi: 10.1001/jama.2017.7248.
6
The Impact of Ga-PSMA PET/CT on Management Intent in Prostate Cancer: Results of an Australian Prospective Multicenter Study.镓-PSMA PET/CT 对前列腺癌管理意向的影响:一项澳大利亚前瞻性多中心研究的结果。
J Nucl Med. 2018 Jan;59(1):82-88. doi: 10.2967/jnumed.117.197160. Epub 2017 Jun 23.
7
Isolated Non-ascitic Peritoneal Carcinomatosis from Metastatic Prostate Cancer.孤立性非腹水型前列腺癌转移性腹膜癌病
Urol Case Rep. 2016 Nov 9;10:14-15. doi: 10.1016/j.eucr.2016.10.004. eCollection 2017 Jan.
8
Diagnostic Efficacy of (68)Gallium-PSMA Positron Emission Tomography Compared to Conventional Imaging for Lymph Node Staging of 130 Consecutive Patients with Intermediate to High Risk Prostate Cancer.(68)镓-PSMA 正电子发射断层扫描对 130 例中高危前列腺癌患者淋巴结分期的诊断效能与常规影像学比较。
J Urol. 2016 May;195(5):1436-1443. doi: 10.1016/j.juro.2015.12.025. Epub 2015 Dec 9.
9
Carcinoma of the prostate; a study of the postmortem findings in 176 cases.前列腺癌;176例尸检结果研究
J Urol. 1948 Oct;60(4):599-603. doi: 10.1016/S0022-5347(17)69279-6.