Suppr超能文献

表面氧化的聚合物稳定银纳米颗粒作为缝合材料的覆盖组件

Surface-Oxidized Polymer-Stabilized Silver Nanoparticles as a Covering Component of Suture Materials.

作者信息

Blinov Andrey Vladimirovich, Nagdalian Andrey Ashotovich, Povetkin Sergey Nikolaevich, Gvozdenko Alexey Alekseevich, Verevkina Marina Nikolaevna, Rzhepakovsky Igor Vladimirovich, Lopteva Mariya Sergeevna, Maglakelidze David Guramievich, Kataeva Tatyana Semenovna, Blinova Anastasiya Aleksandrovna, Golik Alexey Borisovich, Osipchuk Galina Vladimirovna, Shariati Mohammad Ali

机构信息

Department of Physics and Technology of Nanostructures and Materials, North Caucasus Federal University, 355017 Stavropol, Russia.

Saint Petersburg State Agrarian University, 196601 Saint Petersburg, Russia.

出版信息

Micromachines (Basel). 2022 Jul 14;13(7):1105. doi: 10.3390/mi13071105.

Abstract

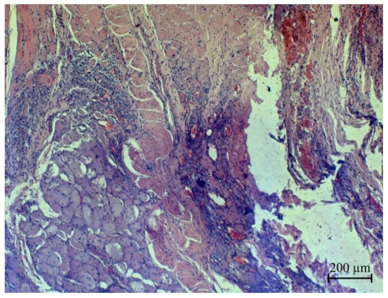
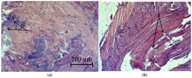
In this work, we obtained silver nanoparticles stabilized with polyvinylpyrrolidone, ranging in size from 70 to 110 nm, which exhibits good crystallinity and anisotropic structure. For the first time, we studied the influence of the molar ratio of silver between silver and peroxide on the oxidation process of the nanoparticles and determined the regularities of this process by analyzing changes in absorption spectra. Our results showed that at molar ratios of Ag:HO = 1:1 and 1:5, dependences of changes in the intensity, position and half-width of the absorption band of the plasmon resonance are rectilinear. In vivo studies of silver nanoparticles have shown that silver nanoparticles belong to the toxicity class III (moderately hazardous substance) and to the third group according to the degree of accumulation. We established that silver nanoparticles and oxidized silver nanoparticles form a uniform layer on the surface of the suture material. We found that the use of the suture material with silver nanoparticles and oxidized silver nanoparticles does not cause allergic reactions in the organisms of laboratory animals.

摘要

在这项工作中,我们获得了用聚乙烯吡咯烷酮稳定的银纳米颗粒,其尺寸范围为70至110纳米,具有良好的结晶度和各向异性结构。我们首次研究了银与过氧化物之间银的摩尔比对纳米颗粒氧化过程的影响,并通过分析吸收光谱的变化确定了该过程的规律。我们的结果表明,在Ag:HO的摩尔比为1:1和1:5时,等离子体共振吸收带强度、位置和半高宽的变化依赖性呈直线关系。银纳米颗粒的体内研究表明银纳米颗粒属于III类毒性(中度有害物质),根据积累程度属于第三组。我们确定银纳米颗粒和氧化银纳米颗粒在缝合材料表面形成均匀层。我们发现,使用含有银纳米颗粒和氧化银纳米颗粒的缝合材料不会在实验动物体内引起过敏反应。

https://cdn.ncbi.nlm.nih.gov/pmc/blobs/7ee0/9323226/904d9eb7020c/micromachines-13-01105-g001.jpg

文献检索

告别复杂PubMed语法,用中文像聊天一样搜索,搜遍4000万医学文献。AI智能推荐,让科研检索更轻松。

立即免费搜索

文件翻译

保留排版,准确专业,支持PDF/Word/PPT等文件格式,支持 12+语言互译。

免费翻译文档

深度研究

AI帮你快速写综述,25分钟生成高质量综述,智能提取关键信息,辅助科研写作。

立即免费体验