Suppr超能文献

FGFR4 的缺失促进了 PDAC 的恶性表型。

Loss of FGFR4 promotes the malignant phenotype of PDAC.

机构信息

Department of Diagnostics and Public Health, University and Hospital Trust of Verona, Verona, Italy.

Human Technopole, Milan, Italy.

出版信息

Oncogene. 2022 Sep;41(38):4371-4384. doi: 10.1038/s41388-022-02432-5. Epub 2022 Aug 13.

Abstract

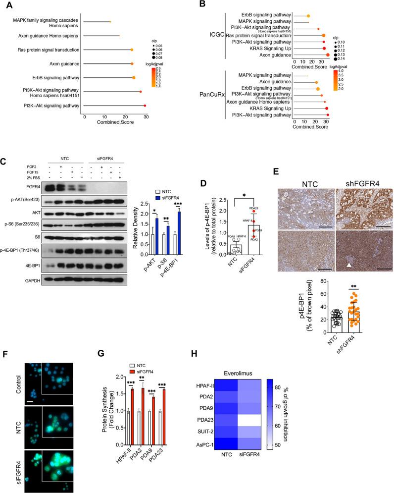
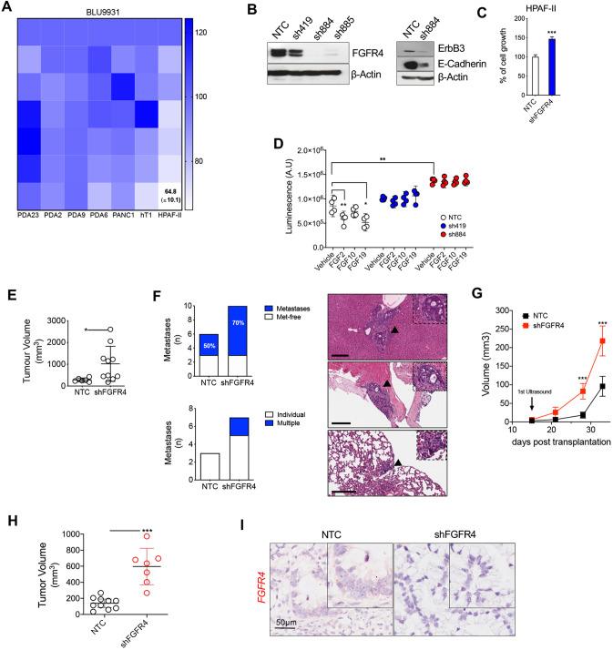
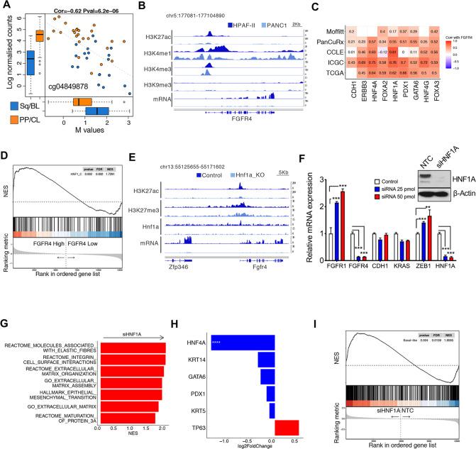
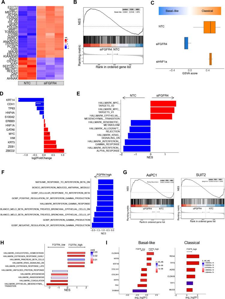
Transcriptomic analyses of pancreatic ductal adenocarcinoma (PDAC) have identified two major epithelial subtypes with distinct biology and clinical behaviours. Here, we aimed to clarify the role of FGFR1 and FGFR4 in the definition of aggressive PDAC phenotypes. We found that the expression of FGFR4 is exclusively detected in epithelial cells, significantly elevated in the classical PDAC subtype, and associates with better outcomes. In highly aggressive basal-like/squamous PDAC, reduced FGFR4 expression aligns with hypermethylation of the gene and lower levels of histone marks associated with active transcription in its regulatory regions. Conversely, FGFR1 has more promiscuous expression in both normal and malignant pancreatic tissues and is strongly associated with the EMT phenotype but not with the basal-like cell lineage. Regardless of the genetic background, the increased proliferation of FGFR4-depleted PDAC cells correlates with hyperactivation of the mTORC1 pathway both in vitro and in vivo. Downregulation of FGFR4 in classical cell lines invariably leads to the enrichment of basal-like/squamous gene programs and is associated with either partial or full switch of phenotype. In sum, we show that endogenous levels of FGFR4 limit the malignant phenotype of PDAC cells. Finally, we propose FGFR4 as a valuable marker for the stratification of PDAC patients.

摘要

转录组分析胰腺导管腺癌 (PDAC) 确定了具有不同生物学和临床行为的两种主要上皮亚型。在这里,我们旨在阐明 FGFR1 和 FGFR4 在定义侵袭性 PDAC 表型中的作用。我们发现 FGFR4 的表达仅在上皮细胞中检测到,在经典 PDAC 亚型中显著升高,并与更好的预后相关。在高度侵袭性的基底样/鳞状 PDAC 中,FGFR4 表达的降低与基因的高甲基化以及与转录活性相关的组蛋白标记物水平降低相关,这些标记物位于其调控区域。相反,FGFR1 在正常和恶性胰腺组织中具有更多混杂的表达,与 EMT 表型强烈相关,但与基底样细胞谱系无关。无论遗传背景如何,FGFR4 缺失的 PDAC 细胞的增殖增加都与体外和体内 mTORC1 通路的过度激活相关。在经典细胞系中下调 FGFR4 会导致基底样/鳞状基因程序的富集,并与表型的部分或完全转变相关。总之,我们表明内源性 FGFR4 水平限制了 PDAC 细胞的恶性表型。最后,我们提出 FGFR4 可作为 PDAC 患者分层的有价值标志物。

https://cdn.ncbi.nlm.nih.gov/pmc/blobs/d105/9481460/9819e1963f66/41388_2022_2432_Fig1_HTML.jpg

文献检索

告别复杂PubMed语法,用中文像聊天一样搜索,搜遍4000万医学文献。AI智能推荐,让科研检索更轻松。

立即免费搜索

文件翻译

保留排版,准确专业,支持PDF/Word/PPT等文件格式,支持 12+语言互译。

免费翻译文档

深度研究

AI帮你快速写综述,25分钟生成高质量综述,智能提取关键信息,辅助科研写作。

立即免费体验