Suppr超能文献

骨组织形态计量学在骨病理生理学研究中的意义:基础、现状与未来。

Interest of Bone Histomorphometry in Bone Pathophysiology Investigation: Foundation, Present, and Future.

机构信息

Université de Lyon, INSERM, UMR 1033, Lyon, France.

出版信息

Front Endocrinol (Lausanne). 2022 Jul 28;13:907914. doi: 10.3389/fendo.2022.907914. eCollection 2022.

Abstract

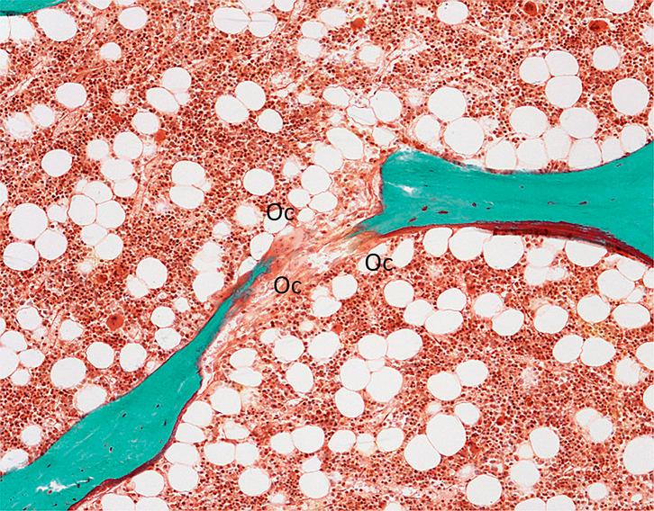
Despite the development of non-invasive methods, bone histomorphometry remains the only method to analyze bone at the tissue and cell levels. Quantitative analysis of transiliac bone sections requires strict methodologic conditions but since its foundation more 60 years ago, this methodology has progressed. Our purpose was to review the evolution of bone histomorphometry over the years and its contribution to the knowledge of bone tissue metabolism under normal and pathological conditions and the understanding of the action mechanisms of therapeutic drugs in humans. The two main applications of bone histomorphometry are the diagnosis of bone diseases and research. It is warranted for the diagnosis of mineralization defects as in osteomalacia, of other causes of osteoporosis as bone mastocytosis, or the classification of renal osteodystrophy. Bone biopsies are required in clinical trials to evaluate the safety and mechanism of action of new therapeutic agents and were applied to anti-osteoporotic agents such as bisphosphonates and denosumab, an anti-RANKL, which induces a marked reduction of the bone turnover with a consequent elongation of the mineralization period. In contrast, an increased bone turnover with an extension of the formation site is observed with teriparatide. Romosozumab, an anti-sclerostin, has a dual effect with an early increased formation and reduced resorption. Bone histomorphometric studies allow us to understand the mechanism of coupling between formation and resorption and to evaluate the respective role of bone modeling and remodeling. The adaptation of new image analysis techniques will help bone biopsy analysis in the future.

摘要

尽管非侵入性方法已经得到了发展,但骨组织形态计量学仍然是分析组织和细胞水平骨的唯一方法。对髂骨切片进行定量分析需要严格的方法学条件,但自 60 多年前创立以来,这种方法已经取得了进展。我们的目的是回顾多年来骨组织形态计量学的演变及其对正常和病理条件下骨组织代谢的认识的贡献,以及对人类治疗药物作用机制的理解。骨组织形态计量学的两个主要应用是诊断骨疾病和研究。它可用于诊断矿化缺陷,如佝偻病;诊断其他原因引起的骨质疏松症,如骨肥大细胞增多症;或分类肾性骨营养不良。在临床试验中需要进行骨活检,以评估新治疗药物的安全性和作用机制,并已应用于抗骨质疏松药物,如双磷酸盐和地舒单抗(一种抗 RANKL),它们可显著降低骨转换率,从而延长矿化期。相反,特立帕肽会导致骨转换增加和形成部位延长。罗莫佐单抗(一种抗硬化蛋白)具有双重作用,早期增加形成并减少吸收。骨组织形态计量学研究使我们能够了解形成和吸收之间的偶联机制,并评估骨建模和重塑的各自作用。新的图像分析技术的适应将有助于未来的骨活检分析。

https://cdn.ncbi.nlm.nih.gov/pmc/blobs/50e4/9368205/f28d73351651/fendo-13-907914-g001.jpg

文献检索

告别复杂PubMed语法,用中文像聊天一样搜索,搜遍4000万医学文献。AI智能推荐,让科研检索更轻松。

立即免费搜索

文件翻译

保留排版,准确专业,支持PDF/Word/PPT等文件格式,支持 12+语言互译。

免费翻译文档

深度研究

AI帮你快速写综述,25分钟生成高质量综述,智能提取关键信息,辅助科研写作。

立即免费体验