• 文献检索
  • 文档翻译
  • 深度研究
  • 学术资讯
  • Suppr Zotero 插件Zotero 插件
  • 邀请有礼
  • 套餐&价格
  • 历史记录
应用&插件
Suppr Zotero 插件Zotero 插件浏览器插件Mac 客户端Windows 客户端微信小程序
定价
高级版会员购买积分包购买API积分包
服务
文献检索文档翻译深度研究API 文档MCP 服务
关于我们
关于 Suppr公司介绍联系我们用户协议隐私条款
关注我们

Suppr 超能文献

核心技术专利:CN118964589B侵权必究
粤ICP备2023148730 号-1Suppr @ 2026

文献检索

告别复杂PubMed语法,用中文像聊天一样搜索,搜遍4000万医学文献。AI智能推荐,让科研检索更轻松。

立即免费搜索

文件翻译

保留排版,准确专业,支持PDF/Word/PPT等文件格式,支持 12+语言互译。

免费翻译文档

深度研究

AI帮你快速写综述,25分钟生成高质量综述,智能提取关键信息,辅助科研写作。

立即免费体验

旧药新用:葛根素局部给药通过促进血管生成和骨生成促进大鼠临界尺寸缺损修复。

New use for old drug: Local delivery of puerarin facilitates critical-size defect repair in rats by promoting angiogenesis and osteogenesis.

作者信息

Cao Huijuan, Li Lingli, Li Ling, Meng Xiangbo, Liu Yanzhi, Cheng Wenxiang, Zhang Peng, Gao Yongbo, Qin Ling, Wang Xinluan

机构信息

Centre for Translational Medicine Research & Development, Shenzhen Institutes of Advanced Technology, Chinese Academy of Sciences, Shenzhen, PR China.

University of Chinese Academy of Sciences, Beijing, PR China.

出版信息

J Orthop Translat. 2022 Jul 31;36:52-63. doi: 10.1016/j.jot.2022.05.003. eCollection 2022 Sep.

DOI:10.1016/j.jot.2022.05.003
PMID:35979175
原文链接:https://pmc.ncbi.nlm.nih.gov/articles/PMC9352809/
Abstract

OBJECTIVES

Large bone defect repair is a challenging clinical problem due to limited self-repair ability. A well-designed bone filling product should possess the ability to induce tissue in-growth and facilitate neovascularization and new bone formation. Puerarin has been used in clinics for a long time, and recently it was found to be able to promote osteogenesis. This study aimed to investigate a puerarin-based drug/delivery combination implant for promoting large bone defect repair.

METHODS

Puerarin was incorporated into the poly (lactic-co-glycolic acid)/β-calcium phosphate (PLGA/TCP, PT) to form a porous PLGA/TCP/Puerarin (PTP) composite scaffold by low-temperature rapid prototyping technology. Its structural and degradation were analyzed . Then we employed a rat calvarial critical size defect model to assess the potency of the PTP scaffold. MC3T3-E1 cells and EA. hy 926 ​cells were used to investigate the underlying mechanism.

RESULTS

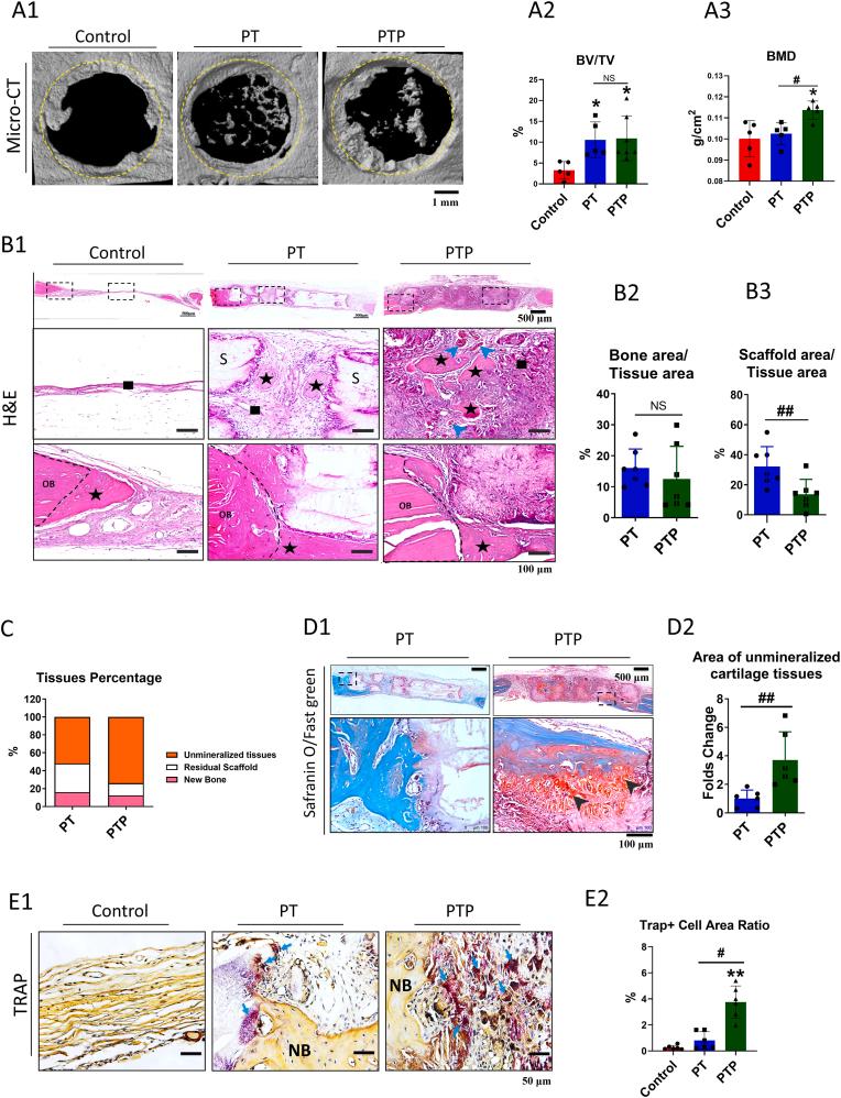
PTP scaffold inherited all advantages of PT scaffold in structural, mechanical, and biodegradation meanwhile puerarin stably and continuously released from PTP scaffold and lasted for 5 months . At 8 weeks after implantation, the PTP scaffold triggered new bone formation in the macro-pores of the scaffold and inside the scaffold accompanied by the degrading materials. The underlying mechanism revealed that the PTP scaffold induced vascular infiltration and recruit repair cells through stimulating vascular endothelial growth factor (VEGF) and bone morphogenetic protein 2 (BMP-2) expressions to promote angiogenesis and osteogenesis.

CONCLUSION

Puerarin-enriched porous PTP scaffold was a promising local delivery system with sustained release of puerarin for facilitating defect repair through getting synergistic angiogenic and osteogenic effects.

THE TRANSLATIONAL POTENTIAL OF THIS ARTICLE

The PTP scaffold presents a potential drug/device combination medical implant for large bone defect repair, which also provides a new and innovative application for the "old drug" puerarin.

摘要

目的

由于自身修复能力有限,大骨缺损修复是一个具有挑战性的临床问题。设计良好的骨填充产品应具备诱导组织向内生长、促进新血管形成和新骨形成的能力。葛根素已在临床上使用很长时间,最近发现它能够促进成骨作用。本研究旨在研究一种基于葛根素的药物/递送组合植入物,以促进大骨缺损修复。

方法

通过低温快速成型技术将葛根素掺入聚乳酸-乙醇酸共聚物/β-磷酸三钙(PLGA/TCP,PT)中,形成多孔PLGA/TCP/葛根素(PTP)复合支架。分析其结构和降解情况。然后,我们采用大鼠颅骨临界尺寸缺损模型来评估PTP支架的效能。使用MC3T3-E1细胞和EA.hy 926细胞来研究其潜在机制。

结果

PTP支架继承了PT支架在结构、力学和生物降解方面的所有优点,同时葛根素从PTP支架中稳定持续释放,持续时间长达5个月。植入后8周,PTP支架在支架的大孔内和支架内部引发新骨形成,同时伴有材料降解。潜在机制表明,PTP支架通过刺激血管内皮生长因子(VEGF)和骨形态发生蛋白2(BMP-2)的表达来诱导血管浸润并募集修复细胞,从而促进血管生成和成骨作用。

结论

富含葛根素的多孔PTP支架是一种有前景的局部递送系统,可通过协同血管生成和成骨作用促进缺损修复,实现葛根素的持续释放。

本文的转化潜力

PTP支架为大骨缺损修复提供了一种潜在的药物/器械组合医疗植入物,也为“老药”葛根素提供了一种新的创新性应用。

https://cdn.ncbi.nlm.nih.gov/pmc/blobs/0eda/9352809/f7cb7ad890c0/gr6.jpg
https://cdn.ncbi.nlm.nih.gov/pmc/blobs/0eda/9352809/5f4d0f573104/gr1.jpg
https://cdn.ncbi.nlm.nih.gov/pmc/blobs/0eda/9352809/f0b91dbc544f/gr2.jpg
https://cdn.ncbi.nlm.nih.gov/pmc/blobs/0eda/9352809/52b75efc6f7a/gr3.jpg
https://cdn.ncbi.nlm.nih.gov/pmc/blobs/0eda/9352809/372b674c7390/gr4.jpg
https://cdn.ncbi.nlm.nih.gov/pmc/blobs/0eda/9352809/b1b54e355608/gr5.jpg
https://cdn.ncbi.nlm.nih.gov/pmc/blobs/0eda/9352809/f7cb7ad890c0/gr6.jpg
https://cdn.ncbi.nlm.nih.gov/pmc/blobs/0eda/9352809/5f4d0f573104/gr1.jpg
https://cdn.ncbi.nlm.nih.gov/pmc/blobs/0eda/9352809/f0b91dbc544f/gr2.jpg
https://cdn.ncbi.nlm.nih.gov/pmc/blobs/0eda/9352809/52b75efc6f7a/gr3.jpg
https://cdn.ncbi.nlm.nih.gov/pmc/blobs/0eda/9352809/372b674c7390/gr4.jpg
https://cdn.ncbi.nlm.nih.gov/pmc/blobs/0eda/9352809/b1b54e355608/gr5.jpg
https://cdn.ncbi.nlm.nih.gov/pmc/blobs/0eda/9352809/f7cb7ad890c0/gr6.jpg

相似文献

1
New use for old drug: Local delivery of puerarin facilitates critical-size defect repair in rats by promoting angiogenesis and osteogenesis.旧药新用:葛根素局部给药通过促进血管生成和骨生成促进大鼠临界尺寸缺损修复。
J Orthop Translat. 2022 Jul 31;36:52-63. doi: 10.1016/j.jot.2022.05.003. eCollection 2022 Sep.
2
Osteogenic magnesium incorporated into PLGA/TCP porous scaffold by 3D printing for repairing challenging bone defect.3D 打印技术将成骨镁掺入 PLGA/TCP 多孔支架中,用于修复挑战性骨缺损。
Biomaterials. 2019 Mar;197:207-219. doi: 10.1016/j.biomaterials.2019.01.013. Epub 2019 Jan 7.
3
Comparative study of osteogenic potential of a composite scaffold incorporating either endogenous bone morphogenetic protein-2 or exogenous phytomolecule icaritin: an in vitro efficacy study.复合支架中内源性骨形态发生蛋白-2 或外源性植物分子淫羊藿苷成骨潜力的比较研究:体外功效研究。
Acta Biomater. 2012 Aug;8(8):3128-37. doi: 10.1016/j.actbio.2012.04.030. Epub 2012 Apr 24.
4
Exogenous phytoestrogenic molecule icaritin incorporated into a porous scaffold for enhancing bone defect repair.将外源性植物雌激素分子淫羊藿苷整合到多孔支架中,以增强骨缺损修复。
J Orthop Res. 2013 Jan;31(1):164-72. doi: 10.1002/jor.22188. Epub 2012 Jul 13.
5
[Biological evaluation of three-dimensional printed co-poly lactic acid/glycolic acid/tri-calcium phosphate scaffold for bone reconstruction].用于骨重建的三维打印聚乳酸/乙醇酸/磷酸三钙支架的生物学评价
Zhonghua Kou Qiang Yi Xue Za Zhi. 2016 Nov 9;51(11):661-666. doi: 10.3760/cma.j.issn.1002-0098.2016.11.005.
6
PLGA/β-TCP composite scaffold incorporating salvianolic acid B promotes bone fusion by angiogenesis and osteogenesis in a rat spinal fusion model.载丹酚酸 B 的 PLGA/β-TCP 复合支架通过血管生成和成骨作用促进大鼠脊柱融合模型中的骨融合。
Biomaterials. 2019 Mar;196:109-121. doi: 10.1016/j.biomaterials.2018.04.004. Epub 2018 Apr 4.
7
PLGA/β-TCP composite scaffold incorporating cucurbitacin B promotes bone regeneration by inducing angiogenesis.负载葫芦素B的PLGA/β - TCP复合支架通过诱导血管生成促进骨再生。
J Orthop Translat. 2021 Nov 1;31:41-51. doi: 10.1016/j.jot.2021.10.002. eCollection 2021 Nov.
8
Bioactive PLGA/tricalcium phosphate scaffolds incorporating phytomolecule icaritin developed for calvarial defect repair in rat model.为大鼠颅骨缺损修复研发的、含有植物分子淫羊藿素的生物活性聚乳酸-羟基乙酸共聚物/磷酸三钙支架。
J Orthop Translat. 2020 Jun 7;24:112-120. doi: 10.1016/j.jot.2020.05.008. eCollection 2020 Sep.
9
Porous composite scaffold incorporating osteogenic phytomolecule icariin for promoting skeletal regeneration in challenging osteonecrotic bone in rabbits.多孔复合支架结合成骨植物分子淫羊藿苷促进兔难复发性骨坏死骨的骨骼再生。
Biomaterials. 2018 Jan;153:1-13. doi: 10.1016/j.biomaterials.2017.10.025. Epub 2017 Oct 23.
10
Bone augmentation using a highly porous PLGA/β-TCP scaffold containing fibroblast growth factor-2.使用含有成纤维细胞生长因子-2的高度多孔聚乳酸-羟基乙酸共聚物/β-磷酸三钙支架进行骨增量
J Periodontal Res. 2015 Apr;50(2):265-73. doi: 10.1111/jre.12206. Epub 2014 Jun 26.

引用本文的文献

1
Natural Bioactive Compound-Integrated Nanomaterials for Diabetic Wound Healing: Synergistic Effects, Multifunctional Designs, and Challenges.用于糖尿病伤口愈合的天然生物活性化合物整合纳米材料:协同效应、多功能设计及挑战
Molecules. 2025 Jun 12;30(12):2562. doi: 10.3390/molecules30122562.
2
Near-infrared light-responsive on-demand puerarin-releasing injectable hydrogel for promoting healing of infected wounds.用于促进感染伤口愈合的近红外光响应按需释放葛根素的可注射水凝胶
Mater Today Bio. 2025 May 5;32:101817. doi: 10.1016/j.mtbio.2025.101817. eCollection 2025 Jun.
3
The sustained-release agent of total flavonoids of Rhizoma drynariae prepared by nano-mesoporous silica can still promote osteogenesis and angiogenesis in vitro.

本文引用的文献

1
Puerarin specifically disrupts osteoclast activation via blocking integrin-β3 Pyk2/Src/Cbl signaling pathway.葛根素通过阻断整合素-β3/Pyk2/Src/Cbl信号通路特异性地破坏破骨细胞的激活。
J Orthop Translat. 2022 Feb 16;33:55-69. doi: 10.1016/j.jot.2022.01.003. eCollection 2022 Mar.
2
Controlled growth factor delivery system with osteogenic-angiogenic coupling effect for bone regeneration.具有成骨-血管生成耦合效应的用于骨再生的可控生长因子递送系统。
J Orthop Translat. 2021 Dec 11;31:110-125. doi: 10.1016/j.jot.2021.11.004. eCollection 2021 Nov.
3
Regulatory perspectives of combination products.
纳米介孔二氧化硅制备的骨碎补总黄酮缓释剂在体外仍能促进成骨和血管生成。
Sci Rep. 2025 Feb 11;15(1):5045. doi: 10.1038/s41598-025-88137-7.
4
Moldable self-setting and bioactive bone wax for bone hemostasis and defect repair.用于骨止血和缺损修复的可塑形自固化生物活性骨蜡
J Orthop Translat. 2025 Jan 20;50:223-234. doi: 10.1016/j.jot.2024.11.009. eCollection 2025 Jan.
5
Magnesium Nanocomposite Hydrogel Reverses the Pathologies to Enhance Mandible Regeneration.镁纳米复合水凝胶逆转病理状态以促进下颌骨再生。
Adv Mater. 2025 Jan;37(2):e2312920. doi: 10.1002/adma.202312920. Epub 2024 Oct 10.
6
Relationship between serum iron, zinc, calcium, and HIF-1a-comparative analysis of 2 regions and 4 ethnic groups in China.血清铁、锌、钙与缺氧诱导因子-1α的关系——中国两个地区四个民族的比较分析
Front Nutr. 2024 Jul 22;11:1433640. doi: 10.3389/fnut.2024.1433640. eCollection 2024.
7
Significance and considerations of establishing standardized critical values for critical size defects in animal models of bone tissue regeneration.在骨组织再生动物模型中建立临界尺寸缺损标准化临界值的意义及考量
Heliyon. 2024 Jun 29;10(13):e33768. doi: 10.1016/j.heliyon.2024.e33768. eCollection 2024 Jul 15.
8
Absorbable calcium and phosphorus bioactive membranes promote bone marrow mesenchymal stem cells osteogenic differentiation for bone regeneration.可吸收钙磷生物活性膜促进骨髓间充质干细胞成骨分化以实现骨再生。
Open Life Sci. 2024 Apr 16;19(1):20220854. doi: 10.1515/biol-2022-0854. eCollection 2024.
9
Functional Approaches in Promoting Vascularization and Angiogenesis in Bone Critical-Sized Defects via Delivery of Cells, Growth Factors, Drugs, and Particles.通过递送细胞、生长因子、药物和颗粒促进骨临界尺寸缺损血管化和血管生成的功能方法。
J Funct Biomater. 2023 Feb 13;14(2):99. doi: 10.3390/jfb14020099.
10
Self-Prepared Hyaluronic Acid/Alkaline Gelatin Composite with Nano-Hydroxyapatite and Bone Morphogenetic Protein for Cranial Bone Formation.自制备用透明质酸/碱性明胶复合纳米羟基磷灰石和骨形态发生蛋白的颅骨成型材料。
Int J Mol Sci. 2023 Jan 6;24(2):1104. doi: 10.3390/ijms24021104.
组合产品的监管视角。
Bioact Mater. 2021 Sep 7;10:492-503. doi: 10.1016/j.bioactmat.2021.09.002. eCollection 2022 Apr.
4
PLGA/β-TCP composite scaffold incorporating cucurbitacin B promotes bone regeneration by inducing angiogenesis.负载葫芦素B的PLGA/β - TCP复合支架通过诱导血管生成促进骨再生。
J Orthop Translat. 2021 Nov 1;31:41-51. doi: 10.1016/j.jot.2021.10.002. eCollection 2021 Nov.
5
Factors influencing the drug release from calcium phosphate cements.影响磷酸钙骨水泥药物释放的因素。
Bioact Mater. 2021 May 30;7:341-363. doi: 10.1016/j.bioactmat.2021.05.032. eCollection 2022 Jan.
6
Bioactive PLGA/tricalcium phosphate scaffolds incorporating phytomolecule icaritin developed for calvarial defect repair in rat model.为大鼠颅骨缺损修复研发的、含有植物分子淫羊藿素的生物活性聚乳酸-羟基乙酸共聚物/磷酸三钙支架。
J Orthop Translat. 2020 Jun 7;24:112-120. doi: 10.1016/j.jot.2020.05.008. eCollection 2020 Sep.
7
Preparation and evaluation of osteogenic nano-MgO/PMMA bone cement for bone healing in a rat critical size calvarial defect.用于大鼠临界尺寸颅骨缺损骨愈合的成骨纳米 MgO/PMMA 骨水泥的制备和评价。
J Mater Chem B. 2020 Jun 7;8(21):4575-4586. doi: 10.1039/d0tb00074d. Epub 2020 Apr 3.
8
Puerarin Exerts Protective Effects on Wear Particle-Induced Inflammatory Osteolysis.葛根素对磨损颗粒诱导的炎性骨溶解具有保护作用。
Front Pharmacol. 2019 Oct 1;10:1113. doi: 10.3389/fphar.2019.01113. eCollection 2019.
9
Molecular Mass-Dependent Resorption and Bone Regeneration of 3D Printed PPF Scaffolds in a Critical-Sized Rat Cranial Defect Model.3D 打印 PPF 支架的分子质量依赖性再吸收和骨再生在大鼠临界颅骨缺损模型中的研究。
Adv Healthc Mater. 2019 Sep;8(17):e1900646. doi: 10.1002/adhm.201900646. Epub 2019 Jul 22.
10
Use of a three-dimensional printed polylactide-coglycolide/tricalcium phosphate composite scaffold incorporating magnesium powder to enhance bone defect repair in rabbits.使用包含镁粉的三维打印聚丙交酯-乙交酯/磷酸三钙复合支架增强兔骨缺损修复
J Orthop Translat. 2018 Aug 16;16:62-70. doi: 10.1016/j.jot.2018.07.007. eCollection 2019 Jan.