• 文献检索
  • 文档翻译
  • 深度研究
  • 学术资讯
  • Suppr Zotero 插件Zotero 插件
  • 邀请有礼
  • 套餐&价格
  • 历史记录
应用&插件
Suppr Zotero 插件Zotero 插件浏览器插件Mac 客户端Windows 客户端微信小程序
定价
高级版会员购买积分包购买API积分包
服务
文献检索文档翻译深度研究API 文档MCP 服务
关于我们
关于 Suppr公司介绍联系我们用户协议隐私条款
关注我们

Suppr 超能文献

核心技术专利:CN118964589B侵权必究
粤ICP备2023148730 号-1Suppr @ 2026

文献检索

告别复杂PubMed语法,用中文像聊天一样搜索,搜遍4000万医学文献。AI智能推荐,让科研检索更轻松。

立即免费搜索

文件翻译

保留排版,准确专业,支持PDF/Word/PPT等文件格式,支持 12+语言互译。

免费翻译文档

深度研究

AI帮你快速写综述,25分钟生成高质量综述,智能提取关键信息,辅助科研写作。

立即免费体验

一名患有克兰费尔特综合征合并抗磷脂综合征患者的免疫吸附治疗:病例报告。

Immunoadsorption therapy for Klinefelter syndrome with antiphospholipid syndrome in a patient: A case report.

作者信息

Song You, Xiao Yong-Zhen, Wang Cheng, Du Rong

机构信息

Department of Rheumatology, Union Hospital, Tongji Medical College, Huazhong University of Science and Technology, Wuhan 430022, Hubei Province, China.

Health Management Center, Union Hospital, Tongji Medical College, Huazhong University of Science and Technology, Wuhan 430022, Hubei Province, China.

出版信息

World J Clin Cases. 2022 Jul 6;10(19):6580-6586. doi: 10.12998/wjcc.v10.i19.6580.

DOI:10.12998/wjcc.v10.i19.6580
PMID:35979279
原文链接:https://pmc.ncbi.nlm.nih.gov/articles/PMC9294875/
Abstract

BACKGROUND

Klinefelter syndrome (KS) is a genetic disease of male sex chromosome malformations that affects sperm production and reduces testosterone production. It has been reported that there is currently more than 10 cases of KS combined with antiphospholipid syndrome.

CASE SUMMARY

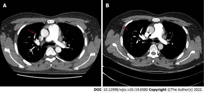
Here, we describe a 31-year-old male patient with chromosome 47, XXY type, who suffered deep vein thrombosis of the lower limbs accompanied by abnormal antiphospholipid antibody, lupus anticoagulant and factor VIII. After treatment with immunoadsorption therapy, glucocorticoids, cyclophosphamide, intravenous immunoglobulin and anticoagulant therapy, the patient showed dramatic symptomatic improvement. During the follow-up, the patient did not develop any new thrombotic events.

CONCLUSION

Immunoadsorption combined with glucocorticoid and cyclophosphamide shock comprehensive treatment has achieved significant results for patients with KS combined with antiphospholipid syndrome.

摘要

背景

克兰费尔特综合征(KS)是一种男性性染色体畸形的遗传性疾病,会影响精子生成并降低睾酮分泌。据报道,目前已有超过10例KS合并抗磷脂综合征的病例。

病例摘要

在此,我们描述一名31岁的男性患者,染色体核型为47, XXY,患有下肢深静脉血栓形成,并伴有抗磷脂抗体、狼疮抗凝物及凝血因子Ⅷ异常。经免疫吸附治疗、糖皮质激素、环磷酰胺、静脉注射免疫球蛋白及抗凝治疗后,患者症状显著改善。随访期间,患者未出现任何新的血栓形成事件。

结论

免疫吸附联合糖皮质激素及环磷酰胺冲击综合治疗对KS合并抗磷脂综合征患者取得了显著疗效。

https://cdn.ncbi.nlm.nih.gov/pmc/blobs/8fab/9294875/83ece7a30363/WJCC-10-6580-g004.jpg
https://cdn.ncbi.nlm.nih.gov/pmc/blobs/8fab/9294875/b2cab809393e/WJCC-10-6580-g001.jpg
https://cdn.ncbi.nlm.nih.gov/pmc/blobs/8fab/9294875/63f1b97020f2/WJCC-10-6580-g002.jpg
https://cdn.ncbi.nlm.nih.gov/pmc/blobs/8fab/9294875/fbcabb6f830a/WJCC-10-6580-g003.jpg
https://cdn.ncbi.nlm.nih.gov/pmc/blobs/8fab/9294875/83ece7a30363/WJCC-10-6580-g004.jpg
https://cdn.ncbi.nlm.nih.gov/pmc/blobs/8fab/9294875/b2cab809393e/WJCC-10-6580-g001.jpg
https://cdn.ncbi.nlm.nih.gov/pmc/blobs/8fab/9294875/63f1b97020f2/WJCC-10-6580-g002.jpg
https://cdn.ncbi.nlm.nih.gov/pmc/blobs/8fab/9294875/fbcabb6f830a/WJCC-10-6580-g003.jpg
https://cdn.ncbi.nlm.nih.gov/pmc/blobs/8fab/9294875/83ece7a30363/WJCC-10-6580-g004.jpg

相似文献

1
Immunoadsorption therapy for Klinefelter syndrome with antiphospholipid syndrome in a patient: A case report.一名患有克兰费尔特综合征合并抗磷脂综合征患者的免疫吸附治疗:病例报告。
World J Clin Cases. 2022 Jul 6;10(19):6580-6586. doi: 10.12998/wjcc.v10.i19.6580.
2
Klinefelter syndrome and testosterone treatment: a national cohort study on thrombosis risk.克兰费尔特综合征与睾酮治疗:一项关于血栓形成风险的全国队列研究。
Endocr Connect. 2020 Jan;9(1):34-43. doi: 10.1530/EC-19-0433.
3
The feasibility of fertility preservation in adolescents with Klinefelter syndrome.青春期克莱恩费尔特综合征患者生育力保存的可行性。
Hum Reprod. 2013 Jun;28(6):1468-79. doi: 10.1093/humrep/det084. Epub 2013 Mar 28.
4
Thromboembolic disease developing during oral contraceptive therapy in young females with antiphospholipid antibodies.在患有抗磷脂抗体的年轻女性口服避孕药治疗期间发生的血栓栓塞性疾病。
Blood Coagul Fibrinolysis. 1996 Jun;7(4):497-501. doi: 10.1097/00001721-199606000-00011.
5
Antiphospholipid syndrome in a 21-year-old with Klinefelter syndrome.一名患有克兰费尔特综合征的21岁男性的抗磷脂综合征。
J Clin Rheumatol. 2009 Feb;15(1):27-8. doi: 10.1097/rhu.0b013e31817de084.
6
Gonadal dysfunction and beyond: Clinical challenges in children, adolescents, and adults with 47,XXY Klinefelter syndrome.性腺功能障碍及其他:47,XXY 克氏综合征患儿、青少年和成人的临床挑战。
Am J Med Genet C Semin Med Genet. 2020 Jun;184(2):302-312. doi: 10.1002/ajmg.c.31786. Epub 2020 May 16.
7
A case of catastrophic antiphospholipid syndrome: first report with advanced cardiac imaging using MRI.一例灾难性抗磷脂综合征:首例使用MRI进行心脏高级成像的报告
Lupus. 2015 Oct;24(12):1338-41. doi: 10.1177/0961203315587960. Epub 2015 May 26.
8
Antiphospholipid Syndrome with Antiβ2glicoprotein-1 Antibodies as the Cause of Recurrent Tibial Vein Thrombosis in SAPHO syndrome.以抗β2糖蛋白-1抗体为病因的抗磷脂综合征导致SAPHO综合征患者反复出现胫静脉血栓形成
Acta Dermatovenerol Croat. 2016 Dec;24(4):305-306.
9
Age-related presence of spermatogonia in patients with Klinefelter syndrome: a systematic review and meta-analysis.年龄相关性精原细胞瘤在克莱恩费尔特综合征患者中的存在:系统评价和荟萃分析。
Hum Reprod Update. 2020 Jan 1;26(1):58-72. doi: 10.1093/humupd/dmz038.
10
[Case series and clinical analysis of 14 cases of catastrophic antiphospholipid syndrome].14例灾难性抗磷脂综合征病例系列及临床分析
Beijing Da Xue Xue Bao Yi Xue Ban. 2018 Dec 18;50(6):1033-1038.

本文引用的文献

1
Klinefelter's syndrome and venous thrombosis.克莱恩费尔特氏综合征与静脉血栓。
Am J Med Sci. 2013 Aug;346(2):164-5. doi: 10.1097/MAJ.0b013e31828318cd.
2
Recurrent deep vein thrombosis and pulmonary embolism in a young man with Klinefelter's syndrome and heterozygous mutation of MTHFR-677C>T and 1298A>C.一名患有克兰费尔特综合征且伴有亚甲基四氢叶酸还原酶(MTHFR)677C>T和1298A>C杂合突变的年轻男性反复发生深静脉血栓形成和肺栓塞。
Blood Coagul Fibrinolysis. 2010 Jun;21(4):372-5. doi: 10.1097/mbc.0b013e32833894eb.
3
Serious venous thromboembolism, heterozygous factor V Leiden and prothrombin G20210A mutations in a patient with Klinefelter syndrome and type 2 diabetes.
Intern Med. 2009;48(18):1681-5. doi: 10.2169/internalmedicine.48.1985. Epub 2009 Sep 15.
4
[Klinefelter's syndrome associated with mixed connective tissue disease (Sharp's syndrome) and thrombophilia with postthrombotic syndrome].[克氏综合征合并混合性结缔组织病(夏普综合征)及伴有血栓形成后综合征的易栓症]
J Dtsch Dermatol Ges. 2005 Aug;3(8):623-6. doi: 10.1111/j.1610-0387.2005.05724.x.
5
Increased activity of factor VIII coagulant associated with venous ulcer in a patient with Klinefelter's syndrome.克兰费尔特综合征患者中与静脉溃疡相关的凝血因子 VIII 促凝活性增加。
J Eur Acad Dermatol Venereol. 2005 Mar;19(2):240-2. doi: 10.1111/j.1468-3083.2004.01117.x.
6
Severe venous thromboembolism in a young man with Klinefelter's syndrome and heterozygosis for both G20210A prothrombin and factor V Leiden mutations.一名患有克兰费尔特综合征且同时携带凝血酶原G20210A突变和因子V莱顿突变杂合子的年轻男性发生严重静脉血栓栓塞症。
Blood Coagul Fibrinolysis. 2003 Jan;14(1):95-8. doi: 10.1097/00001721-200301000-00017.
7
Lupus anticoagulant and Klinefelter's syndrome.
J Rheumatol. 1993 May;20(5):920-1.
8
Case report: testosterone treatment of systemic lupus erythematosus in a patient with Klinefelter's syndrome.病例报告:克氏综合征患者系统性红斑狼疮的睾酮治疗
Am J Med Sci. 1995 Oct;310(4):158-60. doi: 10.1097/00000441-199510000-00006.
9
Venous thromboembolic disease in Klinefelter's syndrome.克兰费尔特综合征中的静脉血栓栓塞性疾病
Clin Genet. 1981 Apr;19(4):275-80. doi: 10.1111/j.1399-0004.1981.tb00709.x.
10
[Venous thromboembolic disease and Klinefelter's syndrome].[静脉血栓栓塞性疾病与克兰费尔特综合征]
J Mal Vasc. 1986;11(2):125-7.