Suppr超能文献

2 岁男孩空肠弯曲菌硬膜下水肿感染:病例报告及文献复习

Campylobacter jejuni subdural hygroma infection in a 2-year old boy: case report and a brief literature review.

机构信息

Pediatric Infectious Diseases Department, University Hospital for Infectious Diseases "Dr. Fran Mihaljević", Mirogojska 8, 10000, Zagreb, Croatia.

School of Medicine, University of Zagreb, Šalata 2, 10000, Zagreb, Croatia.

出版信息

BMC Infect Dis. 2022 Aug 20;22(1):700. doi: 10.1186/s12879-022-07680-0.

Abstract

BACKGROUND

Campylobacter jejuni is a common cause of acute gastroenteritis, but central nervous system infections are rare manifestations of Campylobacter infection. Therefore, C. jejuni trauma-related subdural hygroma infection in children is poorly described in the literature.

CASE PRESENTATION

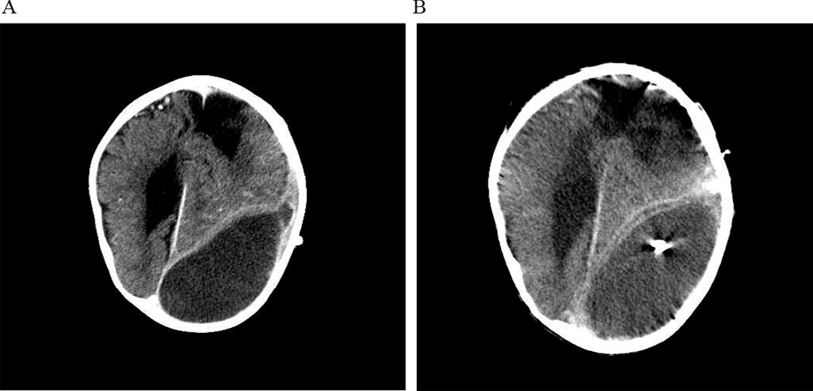
We described a 2-year old boy with lobar holoprosencephaly presenting with subdural hygroma following head trauma. C. jejuni infection was confirmed from a subdural hygroma sample by culture as well as by DNA sequencing of a broad range 16S rDNA PCR product. Cerebrospinal fluid from the ventriculoperitoneal shunt remained sterile. Combined neurosurgical and antimicrobial treatment led to complete recovery. Review of the literature showed that the most common manifestation of Campylobacter central nervous system infection is meningitis, mostly in neonates, and subdural hygroma infection was described for only one case.

CONCLUSIONS

Subdural hygroma infection caused by C. jejuni is a rare clinical condition in children. Molecular methods represent an important tool for the detection of rare or unexpected pathogens. No standard recommendations for antimicrobial treatment of C. jejuni subdural space infection in children are available, but meropenem treatment combined with surgery seems to be an effective approach.

摘要

背景

空肠弯曲菌是急性肠胃炎的常见病因,但中枢神经系统感染是弯曲菌感染的罕见表现。因此,文献中很少描述儿童空肠弯曲菌创伤相关硬脑膜下积脓感染。

病例介绍

我们描述了一例 2 岁男孩,因头部外伤后出现硬脑膜下积脓,伴有脑裂畸形。空肠弯曲菌感染通过培养和广泛的 16S rDNA PCR 产物的 DNA 测序从硬脑膜下积脓样本中得到证实。脑室-腹腔分流的脑脊液仍无菌。联合神经外科和抗菌治疗后完全康复。文献回顾表明,弯曲菌中枢神经系统感染最常见的表现是脑膜炎,主要发生在新生儿,仅有一例硬脑膜下积脓感染的病例描述。

结论

空肠弯曲菌引起的硬脑膜下积脓感染在儿童中是一种罕见的临床情况。分子方法是检测罕见或意外病原体的重要工具。目前尚无儿童空肠弯曲菌硬脑膜下腔感染的抗菌治疗标准建议,但美罗培南联合手术治疗似乎是一种有效的方法。

https://cdn.ncbi.nlm.nih.gov/pmc/blobs/f739/9392325/fc061b371716/12879_2022_7680_Fig1_HTML.jpg

文献AI研究员

20分钟写一篇综述,助力文献阅读效率提升50倍。

立即体验

用中文搜PubMed

大模型驱动的PubMed中文搜索引擎

马上搜索

文档翻译

学术文献翻译模型,支持多种主流文档格式。

立即体验