• 文献检索
  • 文档翻译
  • 深度研究
  • 学术资讯
  • Suppr Zotero 插件Zotero 插件
  • 邀请有礼
  • 套餐&价格
  • 历史记录
应用&插件
Suppr Zotero 插件Zotero 插件浏览器插件Mac 客户端Windows 客户端微信小程序
定价
高级版会员购买积分包购买API积分包
服务
文献检索文档翻译深度研究API 文档MCP 服务
关于我们
关于 Suppr公司介绍联系我们用户协议隐私条款
关注我们

Suppr 超能文献

核心技术专利:CN118964589B侵权必究
粤ICP备2023148730 号-1Suppr @ 2026

文献检索

告别复杂PubMed语法,用中文像聊天一样搜索,搜遍4000万医学文献。AI智能推荐,让科研检索更轻松。

立即免费搜索

文件翻译

保留排版,准确专业,支持PDF/Word/PPT等文件格式,支持 12+语言互译。

免费翻译文档

深度研究

AI帮你快速写综述,25分钟生成高质量综述,智能提取关键信息,辅助科研写作。

立即免费体验

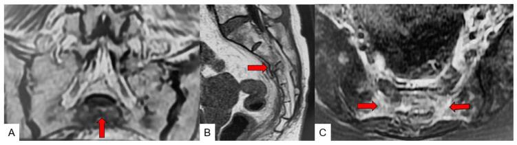
MRI在评估骶骨应力性骨折方面的优越性

Superiority of MRI for Evaluation of Sacral Insufficiency Fracture.

作者信息

Yamauchi Taro, Sharma Sagar, Chandra Sarath, Tanaka Masato, Fujiwara Yoshihiro, Arataki Shinya, Sharma Ayush, Yokoyama Yusuke, Oomori Toshinori, Kanamaru Akihiro, Masuda Shin, Shimizu Noriyuki, Torigoe Kenta, Honda Osamu

机构信息

Department of Orthopedic Surgery, Okayama Rosai Hospital, 1-10-25 Chikkomidorimachi, Minami Ward Okayama, Okayama 702-8055, Japan.

Department of Orthopedic Surgery, Smt. N.H.L. Municipal Medical College, Pritan Rai Cross Road, Ellise Bridge, Paldi, Ahmedabad 380006, India.

出版信息

J Clin Med. 2022 Aug 24;11(17):4968. doi: 10.3390/jcm11174968.

DOI:10.3390/jcm11174968
PMID:36078896
原文链接:https://pmc.ncbi.nlm.nih.gov/articles/PMC9456416/
Abstract

STUDY DESIGN

Retrospective observational study.

BACKGROUND

Sacral insufficiency fractures (SIF) are relatively rare fractures and difficult to diagnose on plain radiographs. The primary objective of the present study was to evaluate the role of lumbar magnetic resonance imaging (MRI) for the diagnosis of SIF. The secondary objective was to identify the classification of SIF by computed tomography (CT).

METHODS

A total of 77 (Male 11, female 66, mean 80.3 years) people were included in this study. Inclusion criteria for this study were: age ≥ 60 years and no history of high energy trauma. Exclusion criteria were high energy trauma and a current history of malignancy. Differences in the fracture detection and description in the various radiologic procedures were evaluated. Fracture patterns were evaluated with CT. The detection rates of additional pathologies in the MRI of the pelvis and lumbar spine were also recorded.

RESULTS

The sensitivities for SIF were 28.5% in radiographs and 94.2% in CT, and all fractures were detected in MRI. MRI showed a more complex fracture pattern compared with CT in 65% of the cases. We observed 71.4% of single SIFs, 9.1% with other spinal fractures, 13.0% with other pelvic fractures, and 7.8% with other fractures. According to the SIF fracture pattern, the H/U type was 40.2%, transverse type was 33.7%, λ/T type was 24.7%, unilateral vertical type was 1.3%, and bilateral vertical type was 0%.

CONCLUSIONS

an MRI of the lumbar spine including the sacrum with a coronal fat-suppressed T2-weighted image is useful for elderly patients with suddenly increasing low back pain at an early stage. This procedure improves an early SIF detection, recognition of concomitant pathologies, and adequate treatment for the patients.

摘要

研究设计

回顾性观察研究。

背景

骶骨不全骨折(SIF)是相对罕见的骨折,在普通X线片上难以诊断。本研究的主要目的是评估腰椎磁共振成像(MRI)在SIF诊断中的作用。次要目的是通过计算机断层扫描(CT)确定SIF的分类。

方法

本研究共纳入77例患者(男性11例,女性66例,平均年龄80.3岁)。本研究的纳入标准为:年龄≥60岁且无高能创伤史。排除标准为高能创伤和当前恶性肿瘤病史。评估了各种放射学检查中骨折检测和描述的差异。用CT评估骨折类型。还记录了骨盆和腰椎MRI中其他病变的检出率。

结果

X线片对SIF的敏感性为28.5%,CT为94.2%,MRI能检测到所有骨折。65%的病例中,MRI显示的骨折类型比CT更复杂。我们观察到71.4%为单一SIF,9.1%合并其他脊柱骨折,13.0%合并其他骨盆骨折,7.8%合并其他骨折。根据SIF骨折类型,H/U型占40.2%,横型占33.7%,λ/T型占24.7%,单侧垂直型占1.3%,双侧垂直型占0%。

结论

对伴有骶骨的腰椎进行MRI检查,包括冠状位脂肪抑制T2加权成像,对早期突然出现下腰痛的老年患者有用。该检查可提高SIF的早期检测率,识别合并病变,并为患者提供适当治疗。

https://cdn.ncbi.nlm.nih.gov/pmc/blobs/c92b/9456416/e6f23dce6a05/jcm-11-04968-g009.jpg
https://cdn.ncbi.nlm.nih.gov/pmc/blobs/c92b/9456416/e0b3b77895e9/jcm-11-04968-g001.jpg
https://cdn.ncbi.nlm.nih.gov/pmc/blobs/c92b/9456416/a44a041f957c/jcm-11-04968-g002.jpg
https://cdn.ncbi.nlm.nih.gov/pmc/blobs/c92b/9456416/74b8b3c2f0be/jcm-11-04968-g003.jpg
https://cdn.ncbi.nlm.nih.gov/pmc/blobs/c92b/9456416/189d9ca118fe/jcm-11-04968-g004.jpg
https://cdn.ncbi.nlm.nih.gov/pmc/blobs/c92b/9456416/997df17b0e28/jcm-11-04968-g005.jpg
https://cdn.ncbi.nlm.nih.gov/pmc/blobs/c92b/9456416/e45cdd9a0b91/jcm-11-04968-g006.jpg
https://cdn.ncbi.nlm.nih.gov/pmc/blobs/c92b/9456416/fe1a820e4b51/jcm-11-04968-g007.jpg
https://cdn.ncbi.nlm.nih.gov/pmc/blobs/c92b/9456416/b1018c79d1e9/jcm-11-04968-g008.jpg
https://cdn.ncbi.nlm.nih.gov/pmc/blobs/c92b/9456416/e6f23dce6a05/jcm-11-04968-g009.jpg
https://cdn.ncbi.nlm.nih.gov/pmc/blobs/c92b/9456416/e0b3b77895e9/jcm-11-04968-g001.jpg
https://cdn.ncbi.nlm.nih.gov/pmc/blobs/c92b/9456416/a44a041f957c/jcm-11-04968-g002.jpg
https://cdn.ncbi.nlm.nih.gov/pmc/blobs/c92b/9456416/74b8b3c2f0be/jcm-11-04968-g003.jpg
https://cdn.ncbi.nlm.nih.gov/pmc/blobs/c92b/9456416/189d9ca118fe/jcm-11-04968-g004.jpg
https://cdn.ncbi.nlm.nih.gov/pmc/blobs/c92b/9456416/997df17b0e28/jcm-11-04968-g005.jpg
https://cdn.ncbi.nlm.nih.gov/pmc/blobs/c92b/9456416/e45cdd9a0b91/jcm-11-04968-g006.jpg
https://cdn.ncbi.nlm.nih.gov/pmc/blobs/c92b/9456416/fe1a820e4b51/jcm-11-04968-g007.jpg
https://cdn.ncbi.nlm.nih.gov/pmc/blobs/c92b/9456416/b1018c79d1e9/jcm-11-04968-g008.jpg
https://cdn.ncbi.nlm.nih.gov/pmc/blobs/c92b/9456416/e6f23dce6a05/jcm-11-04968-g009.jpg

相似文献

1
Superiority of MRI for Evaluation of Sacral Insufficiency Fracture.MRI在评估骶骨应力性骨折方面的优越性
J Clin Med. 2022 Aug 24;11(17):4968. doi: 10.3390/jcm11174968.
2
Significance of Lumbar MRI in Diagnosis of Sacral Insufficiency Fracture.腰椎磁共振成像在骶骨应力性骨折诊断中的意义
Global Spine J. 2021 Oct;11(8):1197-1201. doi: 10.1177/2192568220941821. Epub 2020 Aug 4.
3
Lumbar spine MRI versus non-lumbar imaging modalities in the diagnosis of sacral insufficiency fracture: a retrospective observational study.腰椎磁共振成像与非腰椎成像方式在诊断骶骨不全骨折中的比较:一项回顾性观察研究。
BMC Musculoskelet Disord. 2018 Jul 25;19(1):257. doi: 10.1186/s12891-018-2189-1.
4
Incidence and clinical features of sacral insufficiency fracture in the emergency department.急诊科骶骨应力性骨折的发病率及临床特征
Am J Emerg Med. 2017 Sep;35(9):1314-1316. doi: 10.1016/j.ajem.2017.03.037. Epub 2017 Mar 18.
5
Analysis of Fracture Patterns and Characteristics in Sacral Insufficiency Fracture: Do Sacral Fractures Occur in Patients Who Had Previous Lumbosacral Fusion Insufficiency Fractures or Stress Fractures?骶骨应力性骨折的骨折模式及特征分析:既往腰骶部融合术患者发生的应力性骨折或不足性骨折会导致骶骨骨折吗?
Asian Spine J. 2021 Dec;15(6):769-777. doi: 10.31616/asj.2020.0466. Epub 2021 May 3.
6
Clinical and MRI features of sacral insufficiency fractures after radiotherapy in patients with cervical cancer.宫颈癌放疗后骶骨应力性骨折的临床及 MRI 特征。
BMC Womens Health. 2022 May 13;22(1):166. doi: 10.1186/s12905-022-01758-2.
7
Sacral Insufficiency Fractures: Recognition and Treatment in Patients with Concurrent Lumbar Vertebral Compression Fractures.骶骨应力性骨折:合并腰椎椎体压缩骨折患者的识别与治疗
Cureus. 2017 Feb 2;9(2):e1008. doi: 10.7759/cureus.1008.
8
Sacral insufficiency fracture after instrumented lumbosacral fusion: Focusing pelvic deformation -A retrospective case series.后路腰骶融合术后骶骨不稳定性骨折:聚焦骨盆变形-回顾性病例系列研究。
J Clin Neurosci. 2021 Jan;83:31-36. doi: 10.1016/j.jocn.2020.11.034. Epub 2020 Dec 15.
9
Etiology of Lumbosacral Radiculoplexopathy: Sacral Insufficiency Fracture on Magnetic Resonance Imaging.腰骶神经根丛病的病因:磁共振成像显示的骶骨应力性骨折
HSS J. 2020 Jul;16(2):126-129. doi: 10.1007/s11420-020-09750-y. Epub 2020 Feb 6.
10
Percutaneous stabilization of U-shaped sacral fractures using iliosacral screws: technique and early results.使用髂骶螺钉经皮稳定U形骶骨骨折:技术与早期结果
J Orthop Trauma. 2001 May;15(4):238-46. doi: 10.1097/00005131-200105000-00002.

引用本文的文献

1
Three-Dimensional Navigated Transsacral Screw Fixation After Failed Conservative Treatment in Patients with Sacral Insufficiency Fractures: A Retrospective Observational Study with a Three-Month Follow-Up.骶骨不全骨折患者保守治疗失败后三维导航经骶骨螺钉固定:一项为期三个月随访的回顾性观察研究
J Clin Med. 2025 May 27;14(11):3749. doi: 10.3390/jcm14113749.
2
Chronic pelvic insufficiency fractures and their treatment.慢性骨盆不全骨折及其治疗
Arch Orthop Trauma Surg. 2024 Dec 21;145(1):76. doi: 10.1007/s00402-024-05717-4.
3
A comparison of smooth and sharp kernel CT reconstructions in the detection of unilateral sacral fractures.

本文引用的文献

1
Early mobilization reduces the medical care cost and the risk of disuse syndrome in patients with acute osteoporotic vertebral fractures.早期活动可降低急性骨质疏松性椎体骨折患者的医疗费用和废用综合征风险。
J Clin Neurosci. 2021 Nov;93:155-159. doi: 10.1016/j.jocn.2021.09.011. Epub 2021 Sep 20.
2
Navigated Transsacral Screw Fixation for the Treatment of Bilateral Sacral Insufficiency Fractures.导航经骶骨螺钉固定治疗双侧骶骨不稳定性骨折。
Clin Spine Surg. 2021 Oct 1;34(8):286-290. doi: 10.1097/BSD.0000000000001226.
3
A Review on Multiscale Bone Damage: From the Clinical to the Research Perspective.
比较平滑和锐化 CT 重建算法在单侧骶骨骨折检测中的应用。
Skeletal Radiol. 2023 Aug;52(8):1519-1524. doi: 10.1007/s00256-023-04313-8. Epub 2023 Mar 4.
多尺度骨损伤综述:从临床到研究视角
Materials (Basel). 2021 Mar 5;14(5):1240. doi: 10.3390/ma14051240.
4
Pelvic Insufficiency Fractures in Cervical Cancer After Radiation Therapy: A Meta-Analysis and Review.放疗后宫颈癌盆骨缺陷性骨折:一项荟萃分析和综述。
In Vivo. 2021 Mar-Apr;35(2):1109-1115. doi: 10.21873/invivo.12356.
5
Sacral Insufficiency Fracture Following Short-Segment Lumbosacral Fusion: Case Series and Review of the Literature.短节段腰骶融合术后骶骨不全骨折:病例系列及文献综述
Global Spine J. 2022 Mar;12(2):267-277. doi: 10.1177/2192568220950332. Epub 2020 Aug 30.
6
Description and Reliability of the AOSpine Sacral Classification System.AOSpine 骶骨分类系统的描述与可靠性。
J Bone Joint Surg Am. 2020 Aug 19;102(16):1454-1463. doi: 10.2106/JBJS.19.01153.
7
Significance of Lumbar MRI in Diagnosis of Sacral Insufficiency Fracture.腰椎磁共振成像在骶骨应力性骨折诊断中的意义
Global Spine J. 2021 Oct;11(8):1197-1201. doi: 10.1177/2192568220941821. Epub 2020 Aug 4.
8
Radiation-Induced Insufficiency Fractures After Pelvic Irradiation for Gynecologic Malignancies: A Systematic Review.盆腔照射治疗妇科恶性肿瘤后发生的放射性骨愈合不良:系统评价。
Int J Radiat Oncol Biol Phys. 2020 Nov 1;108(3):620-634. doi: 10.1016/j.ijrobp.2020.05.013. Epub 2020 May 19.
9
Sacral insufficiency fractures after lumbosacral arthrodesis: salvage lumbopelvic fixation and a proposed management algorithm.腰骶部融合术后的骶骨不全骨折:挽救性腰骶骨盆固定及一种建议的处理方案
J Neurosurg Spine. 2020 Mar 27;33(2):225-236. doi: 10.3171/2019.12.SPINE191148. Print 2020 Aug 1.
10
Sacral Fractures and Sacroplasty.骶骨骨折与骶骨成形术。
Neuroimaging Clin N Am. 2019 Nov;29(4):515-527. doi: 10.1016/j.nic.2019.07.003. Epub 2019 Aug 27.