Suppr超能文献

使用经颅磁刺激对双语儿童进行术前语言映射:病例说明

Presurgical language mapping in bilingual children using transcranial magnetic stimulation: illustrative case.

作者信息

Gibbs Savannah K, Fulton Stephen, Mudigoudar Basanagoud, Boop Frederick A, Narayana Shalini

机构信息

1Neuroscience Institute, Le Bonheur Children's Hospital, Memphis, Tennessee.

Departments of2Pediatrics.

出版信息

J Neurosurg Case Lessons. 2021 Oct 4;2(14). doi: 10.3171/CASE21391.

Abstract

BACKGROUND

Presurgical mapping of eloquent cortex in young patients undergoing neurosurgery is critical but presents challenges unique to the pediatric population, including motion artifact, noncompliance, and sedation requirements. Furthermore, as bilingualism in children increases, functional mapping of more than one language is becoming increasingly critical. Transcranial magnetic stimulation (TMS), a noninvasive brain stimulation technique, is well suited to evaluate language areas in children since it does not require the patient to remain still during mapping.

OBSERVATIONS

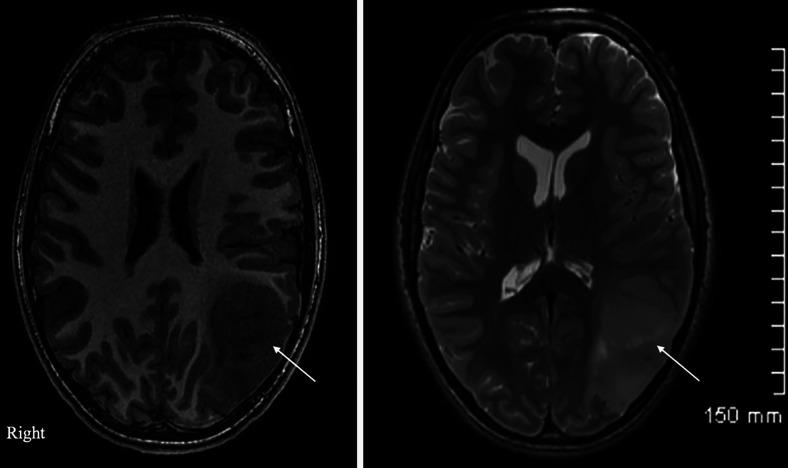
A 13-year-old bilingual male with glioblastoma multiforme involving the left parietal lobe and deep occipital white matter underwent preoperative language mapping using magnetic resonance imaging-guided TMS. Language-specific cortices were successfully identified in both hemispheres. TMS findings aided in discussing with the family the risks of postsurgical deficits of tumor resection; postoperatively, the patient had intact bilingual speech and was referred for chemotherapy and radiation.

LESSONS

The authors' findings add to the evolving case for preoperative dual language mapping in bilingual neurosurgical candidates. The authors illustrate the feasibility and utility of TMS as a noninvasive functional mapping tool in this child. TMS is safe, effective, and can be used for preoperative mapping of language cortex in bilingual children to aid in surgical planning and discussion with families.

摘要

背景

对于接受神经外科手术的年轻患者,术前对明确的皮质进行定位至关重要,但这对儿科人群而言存在独特挑战,包括运动伪影、不配合以及镇静需求。此外,随着儿童双语能力的增强,对多种语言进行功能定位变得愈发关键。经颅磁刺激(TMS)是一种非侵入性脑刺激技术,非常适合评估儿童的语言区域,因为在定位过程中它不要求患者保持静止。

观察结果

一名13岁的双语男性患有多形性胶质母细胞瘤,累及左顶叶和枕叶深部白质,在磁共振成像引导下使用TMS进行了术前语言定位。在两个半球均成功识别出特定语言的皮质。TMS结果有助于与家属讨论肿瘤切除术后出现功能缺陷的风险;术后,患者的双语言语功能完好,并被转诊接受化疗和放疗。

经验教训

作者的研究结果进一步支持了在双语神经外科手术候选患者中进行术前双语言定位这一不断发展的观点。作者阐述了TMS作为一种非侵入性功能定位工具在该患儿中的可行性和实用性。TMS安全、有效,可用于双语儿童语言皮质的术前定位,以辅助手术规划并与家属进行沟通。

https://cdn.ncbi.nlm.nih.gov/pmc/blobs/9ffc/9563954/c2c50de992f3/CASE21391f1.jpg

文献AI研究员

20分钟写一篇综述,助力文献阅读效率提升50倍。

立即体验

用中文搜PubMed

大模型驱动的PubMed中文搜索引擎

马上搜索

文档翻译

学术文献翻译模型,支持多种主流文档格式。

立即体验