Suppr超能文献

鞘内注射经miR-124表达调控的肌萎缩侧索硬化症运动神经元分泌组可预防SOD1-G93A小鼠的疾病结局。

Intrathecal Injection of the Secretome from ALS Motor Neurons Regulated for miR-124 Expression Prevents Disease Outcomes in SOD1-G93A Mice.

作者信息

Barbosa Marta, Santos Marta, de Sousa Nídia, Duarte-Silva Sara, Vaz Ana Rita, Salgado António J, Brites Dora

机构信息

Faculty of Pharmacy, Research Institute for Medicines (iMed.ULisboa), Universidade de Lisboa, 1649-003 Lisbon, Portugal.

School of Medicine, Life and Health Sciences Research Institute (ICVS), University of Minho, 4710-057 Braga, Portugal.

出版信息

Biomedicines. 2022 Aug 29;10(9):2120. doi: 10.3390/biomedicines10092120.

Abstract

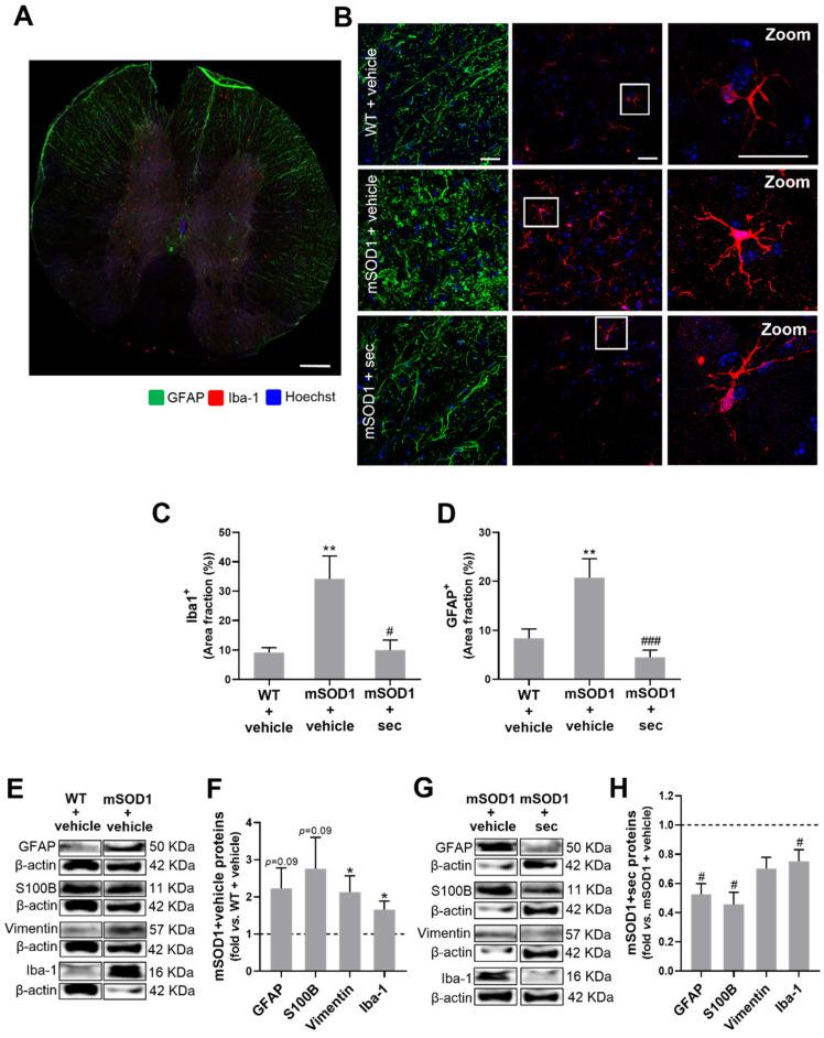
Amyotrophic lateral sclerosis (ALS) is a neurodegenerative disease with short life expectancy and no effective therapy. We previously identified upregulated miR-124 in NSC-34-motor neurons (MNs) expressing human SOD1-G93A (mSOD1) and established its implication in mSOD1 MN degeneration and glial cell activation. When anti-miR-124-treated mSOD1 MN (preconditioned) secretome was incubated in spinal cord organotypic cultures from symptomatic mSOD1 mice, the dysregulated homeostatic balance was circumvented. To decipher the therapeutic potential of such preconditioned secretome, we intrathecally injected it in mSOD1 mice at the early stage of the disease (12-week-old). Preconditioned secretome prevented motor impairment and was effective in counteracting muscle atrophy, glial reactivity/dysfunction, and the neurodegeneration of the symptomatic mSOD1 mice. Deficits in corticospinal function and gait abnormalities were precluded, and the loss of gastrocnemius muscle fiber area was avoided. At the molecular level, the preconditioned secretome enhanced NeuN mRNA/protein expression levels and the PSD-95/TREM2/IL-10/arginase 1/MBP/PLP genes, thus avoiding the neuronal/glial cell dysregulation that characterizes ALS mice. It also prevented upregulated GFAP/Cx43/S100B/vimentin and inflammatory-associated miRNAs, specifically miR-146a/miR-155/miR-21, which are displayed by symptomatic animals. Collectively, our study highlights the intrathecal administration of the secretome from anti-miR-124-treated mSOD1 MNs as a therapeutic strategy for halting/delaying disease progression in an ALS mouse model.

摘要

肌萎缩侧索硬化症(ALS)是一种预期寿命短且无有效治疗方法的神经退行性疾病。我们之前在表达人SOD1 - G93A(mSOD1)的NSC - 34运动神经元(MNs)中鉴定出miR - 124上调,并确定了其在mSOD1 MN变性和胶质细胞活化中的作用。当将抗miR - 124处理的mSOD1 MN(预处理)分泌组与有症状的mSOD1小鼠的脊髓器官型培养物一起孵育时,失调的稳态平衡得到了规避。为了解析这种预处理分泌组的治疗潜力,我们在疾病早期(12周龄)对mSOD1小鼠进行鞘内注射。预处理分泌组可预防运动功能障碍,并有效对抗有症状的mSOD1小鼠的肌肉萎缩、胶质细胞反应性/功能障碍和神经退行性变。可预防皮质脊髓功能缺陷和步态异常,并避免腓肠肌纤维面积的损失。在分子水平上,预处理分泌组提高了NeuN mRNA/蛋白表达水平以及PSD - 95/TREM2/IL - 10/精氨酸酶1/MBP/PLP基因的表达,从而避免了ALS小鼠特有的神经元/胶质细胞失调。它还可预防有症状动物所表现出的GFAP/Cx43/S100B/波形蛋白上调以及与炎症相关的miRNA,特别是miR - 146a/miR - 155/miR - 21。总的来说,我们的研究强调了鞘内注射抗miR - 124处理的mSOD1 MN的分泌组作为一种治疗策略,可在ALS小鼠模型中阻止/延缓疾病进展。

https://cdn.ncbi.nlm.nih.gov/pmc/blobs/3502/9496075/97ed08cfba8a/biomedicines-10-02120-g001.jpg

文献AI研究员

20分钟写一篇综述,助力文献阅读效率提升50倍。

立即体验

用中文搜PubMed

大模型驱动的PubMed中文搜索引擎

马上搜索

文档翻译

学术文献翻译模型,支持多种主流文档格式。

立即体验