Department of Pharmacognosy, Faculty of Pharmacy, Suez Canal University, Ismailia 41522, Egypt.
Department of Pharmacognosy, Faculty of Pharmacy, Galala University, New Galala 43713, Egypt.
Int J Mol Sci. 2022 Sep 16;23(18):10799. doi: 10.3390/ijms231810799.
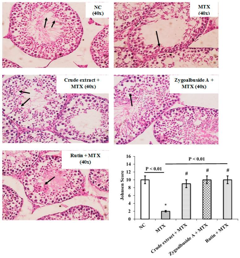
Chemical investigation of the crude extract of the aerial part of L. () led to the isolation of a new saponin, Zygo-albuside (), together with seven known compounds, one of them (caffeic acid, compound ) is reported in the genus for the first time. NMR (1D and 2D) and mass spectrometric analysis, including high-resolution mass spectrometry (HRMS), were utilized to set up the chemical structures of these compounds. The present biological study aimed to investigate the protective antioxidant, anti-inflammatory, and antiapoptotic activities of the crude extract from the aerial part of and two of its isolated compounds, rutin and the new saponin zygo-albuside , against methotrexate (MTX)-induced testicular injury, considering the role of miRNA-29a. In all groups except for the normal control group, which received a mixture of distilled water and DMSO (2:1) as vehicle orally every day for ten days, testicular damage was induced on the fifth day by intraperitoneal administration of MTX at a single dose of 20 mg/kg. Histopathological examination showed that pre-treatment with the crude extract of , zygo-albuside , or rutin reversed the testicular damage induced by MTX. In addition, biochemical analysis in the protected groups showed a decrease in malondialdehyde (MDA), interleukin-6 (IL-6) and IL-1β, Bcl-2-associated-protein (Bax), and an increase in B-cell lymphoma 2 (Bcl-2) protein, catalase (CAT), superoxide dismutase (SOD) in the testis, along with an increase in serum testosterone levels compared with the unprotected (positive control) group. The mRNA expression levels of nuclear factor-kappa B (NF-κB), tumor necrosis factor-α (TNF-α), p53, and miRNA-29a were downregulated in the testicular tissues of the protected groups compared with the unprotected group. In conclusion, the study provides sufficient evidence that extract, and its isolated compounds, zygo-albuside and rutin, could alleviate testicular damage caused by the chemotherapeutic agent MTX.
从 地上部分的粗提取物中进行化学研究,导致分离出一种新的皂苷,Zygo-albuside (),以及七种已知的化合物,其中一种(咖啡酸,化合物 )在该属中首次报道。利用 NMR(1D 和 2D)和质谱分析,包括高分辨率质谱(HRMS),建立了这些化合物的化学结构。本研究旨在研究地上部分的粗提取物以及两种分离化合物芦丁和新皂苷 Zygo-albuside 对氨甲喋呤(MTX)诱导的睾丸损伤的保护抗氧化、抗炎和抗凋亡作用,考虑到 miRNA-29a 的作用。除正常对照组外,所有组均在第五天经腹腔给予 MTX 单次 20mg/kg 诱导睾丸损伤,正常对照组每天口服混合的蒸馏水和 DMSO(2:1)作为载体。组织病理学检查显示,粗提物、Zygo-albuside 或芦丁预处理可逆转 MTX 引起的睾丸损伤。此外,保护组的生化分析显示,丙二醛(MDA)、白细胞介素-6(IL-6)和白细胞介素-1β、B 细胞淋巴瘤 2 相关蛋白(Bax)减少,B 细胞淋巴瘤 2(Bcl-2)蛋白、过氧化氢酶(CAT)、超氧化物歧化酶(SOD)在睾丸中增加,与未保护(阳性对照)组相比,血清睾酮水平升高。与未保护组相比,保护组睾丸组织中核因子-κB(NF-κB)、肿瘤坏死因子-α(TNF-α)、p53 和 miRNA-29a 的 mRNA 表达水平下调。综上所述,该研究为 提取物及其分离化合物 Zygo-albuside 和芦丁能缓解化疗药物 MTX 引起的睾丸损伤提供了充分的证据。