Chida Kohei, Ishido Keinosuke, Sakamoto Yoshiyuki, Kimura Norihisa, Morohashi Hajime, Miura Takuya, Wakiya Taiichi, Yokoyama Hiroshi, Nagase Hayato, Ichinohe Daichi, Suto Akiko, Kuwata Daisuke, Ichisawa Aika, Nakamura Akie, Kasai Daiki, Hakamada Kenichi
Department of Gastroenterological Surgery, Hirosaki University Graduate School of Medicine, Hirosaki, Japan.
Surg Case Rep. 2022 Sep 27;8(1):183. doi: 10.1186/s40792-022-01542-2.
Emphysematous pancreatitis is acute pancreatitis associated with emphysema based on imaging studies and has been considered a subtype of necrotizing pancreatitis. Although some recent studies have reported the successful use of conservative treatment, it is still considered a serious condition. Computed tomography (CT) scan is useful in identifying emphysema associated with acute pancreatitis; however, whether the presence of emphysema correlates with the severity of pancreatitis remains controversial. In this study, we managed two cases of severe acute pancreatitis complicated with retroperitoneal emphysema successfully by treatment with lavage and drainage.
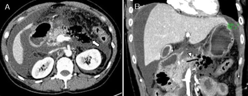
Case 1: A 76-year-old man was referred to our hospital after being diagnosed with acute pancreatitis. At post-admission, his abdominal symptoms worsened, and a repeat CT scan revealed increased retroperitoneal gas. Due to the high risk for gastrointestinal tract perforation, emergent laparotomy was performed. Fat necrosis was observed on the anterior surface of the pancreas, and a diagnosis of acute necrotizing pancreatitis with retroperitoneal emphysema was made. Thus, retroperitoneal drainage was performed. Case 2: A 50-year-old woman developed anaphylactic shock during the induction of general anesthesia for lumbar spine surgery, and peritoneal irritation symptoms and hypotension occurred on the same day. Contrast-enhanced CT scan showed necrotic changes in the pancreatic body and emphysema surrounding the pancreas. Therefore, she was diagnosed with acute necrotizing pancreatitis with retroperitoneal emphysema, and retroperitoneal cavity lavage and drainage were performed. In the second case, the intraperitoneal abscess occurred postoperatively, requiring time for drainage treatment. Both patients showed no significant postoperative course problems and were discharged on postoperative days 18 and 108, respectively.
Acute pancreatitis with emphysema from the acute phase highly indicates severe necrotizing pancreatitis. Surgical drainage should be chosen without hesitation in necrotizing pancreatitis with emphysema from early onset.
基于影像学研究,气肿性胰腺炎是与肺气肿相关的急性胰腺炎,被认为是坏死性胰腺炎的一种亚型。尽管最近一些研究报道了保守治疗的成功应用,但它仍被视为一种严重疾病。计算机断层扫描(CT)有助于识别与急性胰腺炎相关的肺气肿;然而,肺气肿的存在是否与胰腺炎的严重程度相关仍存在争议。在本研究中,我们通过灌洗和引流治疗成功处理了两例合并腹膜后气肿的重症急性胰腺炎病例。
病例1:一名76岁男性在被诊断为急性胰腺炎后转诊至我院。入院后,他的腹部症状加重,重复CT扫描显示腹膜后气体增加。由于存在胃肠道穿孔的高风险,遂进行了急诊剖腹手术。在胰腺前表面观察到脂肪坏死,诊断为急性坏死性胰腺炎合并腹膜后气肿。因此,进行了腹膜后引流。病例2:一名50岁女性在腰椎手术全身麻醉诱导期间发生过敏性休克,同日出现腹膜刺激症状和低血压。增强CT扫描显示胰体坏死改变以及胰腺周围肺气肿。因此,她被诊断为急性坏死性胰腺炎合并腹膜后气肿,并进行了腹膜后腔灌洗和引流。在第二个病例中,术后发生了腹腔脓肿,需要一段时间进行引流治疗。两名患者术后均未出现明显病程问题,分别于术后第18天和第108天出院。
急性期合并肺气肿的急性胰腺炎高度提示严重坏死性胰腺炎。对于早期起病合并肺气肿的坏死性胰腺炎,应毫不犹豫地选择手术引流。