Suppr超能文献

成人戈谢病罕见病例表现为近端胫骨孤立性肿胀,酷似肌肉骨骼肿瘤:一例报告

Rare Case of Gaucher's Disease Presenting as a Solitary Swelling of the Proximal Tibia Mimicking a Musculoskeletal Tumor in an Adult: A Case Report.

作者信息

Rahman Syed Hifzur, Srinivasan Smruti, Rai Abhishek Kumar, Kumar K G Geekesh, Sadar Amey Santosh, Srivastava Sushant Sudhir

机构信息

Department of Orthopaedics, Pandit Madan Mohan Malviya Shatabdi Centenary Hospital, Mumbai, Maharashtra, India.

Department of General Surgery, Seth GS Medical College and KEM Hospital, Mumbai, Maharashtra, India.

出版信息

J Orthop Case Rep. 2022 Mar;12(3):64-67. doi: 10.13107/jocr.2022.v12.i03.2720.

Abstract

INTRODUCTION

Gaucher's disease is a congenital lysosomal storage disorder caused by an autosomal recessive mutation in B-glucocerebrosidase. It is a multi-system disease, wherein patients present with hematological abnormalities, joint pain, osteonecrosis, and developmental delay. We present a case of 38-year-old male with a painless solitary soft-tissue swelling over the left proximal tibia, eventually diagnosed it to be a case of Gaucher's disease. This case is unique in the literature, because this subcutaneous Gaucher mass was not associated with a significant past history and was being evaluated as a standard approach to a bone tumor.

CASE PRESENTATION

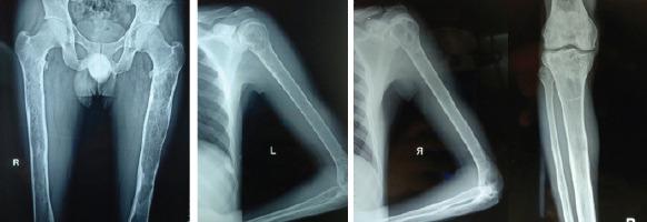
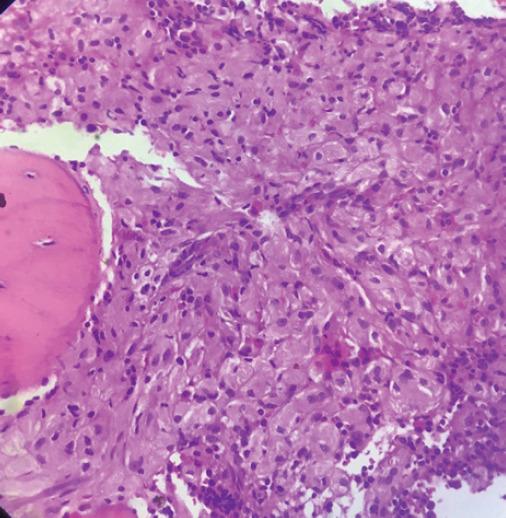
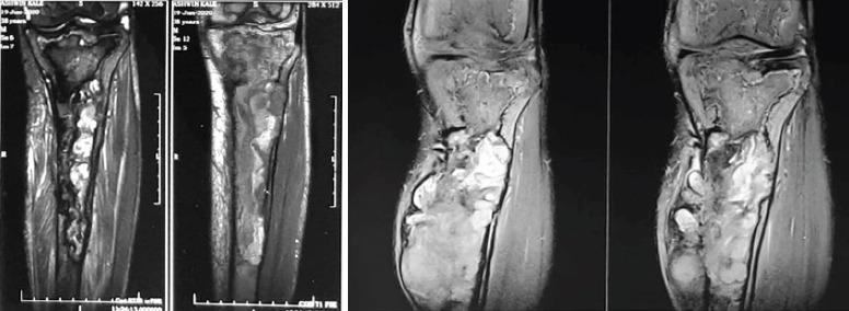
A 38-year-old man presented to our outpatient department with a solitary, painless soft-tissue swelling of the left proximal tibia noticed 6 months back, which has gradually progressed to a present size of 9x5 cm over a period of 6 months. General physical examination revealed moderate splenomegaly. Radiographs showed an osteolytic lesion in the left proximal tibia without cortical erosion. Radiographs for skeletal survey revealed similar osteolytic lesions elsewhere. Hematological investigations revealed thrombocytopenia. A serum protein electrophoresis was found to be normal and the urine was negative for myeloma proteins. Blood workup for endocrine abnormalities was within normal limits. MRI of the lesion suggests bone infarct. Biopsy from the lesion showed a giant binucleate storage cell filled with glucocerebrosides suggestive of Gaucher's disease. The diagnosis was confirmed by elevated plasma levels of glucocerebrosidases.

CONCLUSION

Gaucher's disease is a rare metabolic disease of the bone which may mimic a primary bone tumor or metastasis. A step-wise meticulous approach with biopsy and elevated plasma levels of glucocerebrosidase helps establish the diagnosis. Once must have a high index of suspicion for Gaucher's disease in an adult with multiple osteolytic lesions without any significant past medical and surgical history.

摘要

引言

戈谢病是一种先天性溶酶体贮积症,由β-葡萄糖脑苷脂酶的常染色体隐性突变引起。它是一种多系统疾病,患者会出现血液学异常、关节疼痛、骨坏死和发育迟缓。我们报告一例38岁男性,其左胫骨近端出现无痛性孤立性软组织肿胀,最终被诊断为戈谢病。该病例在文献中较为独特,因为这个皮下戈谢肿物与重要的既往病史无关,且最初是按照骨肿瘤的标准方法进行评估的。

病例介绍

一名38岁男性因6个月前发现左胫骨近端有一个孤立的、无痛性软组织肿胀前来我院门诊就诊,在6个月内逐渐发展至目前9×5厘米大小。全身体格检查发现中度脾肿大。X线片显示左胫骨近端有一个溶骨性病变,无皮质侵蚀。骨骼检查的X线片显示其他部位也有类似的溶骨性病变。血液学检查发现血小板减少。血清蛋白电泳正常,尿液中骨髓瘤蛋白检测为阴性。内分泌异常的血液检查结果在正常范围内。病变的磁共振成像提示骨梗死。病变活检显示一个充满葡萄糖脑苷脂的巨大双核贮积细胞,提示戈谢病。血浆葡萄糖脑苷脂酶水平升高证实了诊断。

结论

戈谢病是一种罕见的骨骼代谢疾病,可能类似原发性骨肿瘤或转移瘤。通过活检和血浆葡萄糖脑苷脂酶水平升高进行逐步细致的检查有助于确诊。对于有多个溶骨性病变且无重要既往内科和外科病史的成年人,必须高度怀疑戈谢病。

https://cdn.ncbi.nlm.nih.gov/pmc/blobs/0102/9499049/b6fb8e34eb13/JOCR-12-64-g001.jpg

文献AI研究员

20分钟写一篇综述,助力文献阅读效率提升50倍。

立即体验

用中文搜PubMed

大模型驱动的PubMed中文搜索引擎

马上搜索

文档翻译

学术文献翻译模型,支持多种主流文档格式。

立即体验