Suppr超能文献

病例报告:腋窝发现乳腺癌和甲状腺癌的淋巴结转移。

Case report: Lymph node metastases of breast cancer and thyroid cancer encountered in axilla.

作者信息

Li Rihan, Zhang Qingfu, Feng Dongdong, Jin Feng, Han Siyuan, Yu Xinmiao

机构信息

Department of Breast Surgery, The First Hospital of China Medical University, Shenyang, China.

Department of Breast and Reconstructive Surgery, The First Hospital of China Medical University, Shenyang, China.

出版信息

Front Oncol. 2022 Sep 30;12:983996. doi: 10.3389/fonc.2022.983996. eCollection 2022.

Abstract

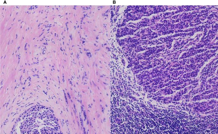
Occurrences of breast cancer and thyroid cancer metachronously or synchronously are common for women, but axillary lymph node metastasis from both cancers is rarely seen. We report a patient who had two metastatic lymph nodes from papillary thyroid carcinoma after axillary lymph node dissection with mastectomy. Papillary thyroid carcinoma diagnosis was ensured after thyroidectomy. A literature review revealed that even the co-occurrence of breast cancer and thyroid cancer is not rare, but the etiology behind this phenomenon is not elucidated well. Genetic disorders, thyroid dysfunction, and hormone receptors may be relevant. Considering the rareness of axillary lymph node metastasis of thyroid cancer, adjuvant therapy and surgery treatment for this kind of case should be considered elaborately.

摘要

乳腺癌和甲状腺癌同时或异时发生在女性中很常见,但两种癌症同时出现腋窝淋巴结转移的情况却很少见。我们报告了一名患者,在乳房切除术后进行腋窝淋巴结清扫时发现有两个来自甲状腺乳头状癌的转移性淋巴结。甲状腺切除术后确诊为甲状腺乳头状癌。文献综述显示,即使乳腺癌和甲状腺癌同时发生并不罕见,但这种现象背后的病因尚未得到很好的阐明。遗传疾病、甲状腺功能障碍和激素受体可能与之相关。鉴于甲状腺癌腋窝淋巴结转移的罕见性,对于此类病例应精心考虑辅助治疗和手术治疗。

https://cdn.ncbi.nlm.nih.gov/pmc/blobs/954f/9561385/80d0b5ef976f/fonc-12-983996-g001.jpg

文献AI研究员

20分钟写一篇综述,助力文献阅读效率提升50倍。

立即体验

用中文搜PubMed

大模型驱动的PubMed中文搜索引擎

马上搜索

文档翻译

学术文献翻译模型,支持多种主流文档格式。

立即体验