Institute of Pet Science and Technology, Jiangsu Agri-Animal Husbandry Vocational College, Taizhou 225300, China.
Institute for Agri-Food Standards and Testing Technology, Shanghai Academy of Agricultural Sciences, Shanghai 201403, China.
Toxins (Basel). 2022 Sep 30;14(10):682. doi: 10.3390/toxins14100682.
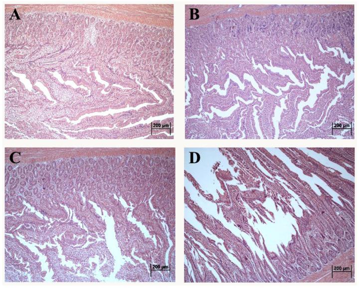
Deoxynivalenol is one the of most common mycotoxins in cereals and grains and causes a serious health threat to poultry and farm animals. Our previous study found that DON decreased the production performance of laying hens. It has been reported that DON could exert significant toxic effects on the intestinal barrier and microbiota. However, whether the decline of laying performance is related to intestinal barrier damage, and the underlying mechanisms of DON induced intestine function injury remain largely unclear in laying hens. In this study, 80 Hy-line brown laying hens at 26 weeks were randomly divided into 0, 1, 5 and 10 mg/kg.bw (body weight) DON daily for 6 weeks. The morphology of the duodenum, the expression of inflammation factors and tight junction proteins, and the diversity and abundance of microbiota were analyzed in different levels of DON treated to laying hens. The results demonstrated that the mucosal detachment and reduction of the villi number were presented in different DON treated groups with a dose-effect manner. Additionally, the genes expression of pro-inflammatory factors IL-1β, IL-8, TNF-α and anti-inflammatory factors IL-10 were increased or decreased at 5 and 10 mg/kg.bw DON groups, respectively. The levels of ZO-1 and claudin-1 expression were significantly decreased in 5 and 10 mg/kg.bw DON groups. Moreover, the alpha diversity including Chao, ACE and Shannon indices were all reduced in DON treated groups. At the phylum level, and and , , and were decreased and increased in 10 mg/kg.bw DON group, respectively. At the genus levels, the relative abundance of and in 5 and 10 mg/kg.bw DON groups, and and in the 10 mg/kg.bw DON were significantly decreased and increased, respectively. Moreover, there were significant correlation between the expression of tight junction proteins and the relative abundance of and These results indicated that DON exposure to the laying hens can induce the inflammation and disrupt intestinal tight junctions, suggesting that DON can directly damage barrier function, which may be closely related to the dysbiosis of intestinal microbiota.
脱氧雪腐镰刀菌烯醇是谷物和粮食中最常见的霉菌毒素之一,对家禽和家畜的健康构成严重威胁。我们之前的研究发现,DON 降低了产蛋鸡的生产性能。据报道,DON 对肠道屏障和微生物群有显著的毒性作用。然而,产蛋性能的下降是否与肠道屏障损伤有关,以及 DON 诱导肠道功能损伤的潜在机制在产蛋鸡中仍很大程度上不清楚。在这项研究中,80 只 26 周龄的海兰褐蛋鸡被随机分为 0、1、5 和 10mg/kg.bw(体重)DON 组,每天处理 6 周。分析了不同剂量 DON 处理对蛋鸡的十二指肠形态、炎症因子和紧密连接蛋白的表达以及微生物多样性和丰度的影响。结果表明,不同剂量 DON 处理组的蛋鸡出现了黏膜脱落和绒毛数量减少的现象,呈剂量效应关系。此外,5 和 10mg/kg.bw DON 组促炎因子 IL-1β、IL-8、TNF-α和抗炎因子 IL-10 的基因表达增加或减少。ZO-1 和 Claudin-1 的表达水平在 5 和 10mg/kg.bw DON 组显著降低。此外,DON 处理组的 alpha 多样性包括 Chao、ACE 和 Shannon 指数均降低。在门水平上,10mg/kg.bw DON 组的 、 、 、 和 减少,而 、 和 增加。在属水平上,5 和 10mg/kg.bw DON 组的 、 和 相对丰度降低,10mg/kg.bw DON 组的 、 和 相对丰度增加。此外,紧密连接蛋白的表达与 、 和 的相对丰度之间存在显著相关性。这些结果表明,DON 暴露于产蛋鸡可诱导炎症和破坏肠道紧密连接,表明 DON 可直接损害屏障功能,这可能与肠道微生物群的失调密切相关。