Suppr超能文献

前庭神经鞘瘤致半面痉挛1例报告并文献复习

A Case Report of Hemifacial Spasm Caused by Vestibular Schwannoma and Literature Review.

作者信息

Cai Xiaomin, Tang Yinda, Zhao Hua, Chen Zheng, Wang Haopeng, Zhu Wanchun, Li Shiting

机构信息

Department of Neurosurgery, Xinhua Hospital Affiliated to Shanghai Jiaotong University School of Medicine, The Cranial Nerve Disease Center of Shanghai Jiaotong University, Shanghai 200092, China.

出版信息

Brain Sci. 2022 Oct 5;12(10):1347. doi: 10.3390/brainsci12101347.

Abstract

BACKGROUND

Most cases of hemifacial spasm result from mechanical compression at the root exit zone of the facial nerve by vascular loops, and only a few cases are caused by vestibular schwannoma.

CASE PRESENTATION

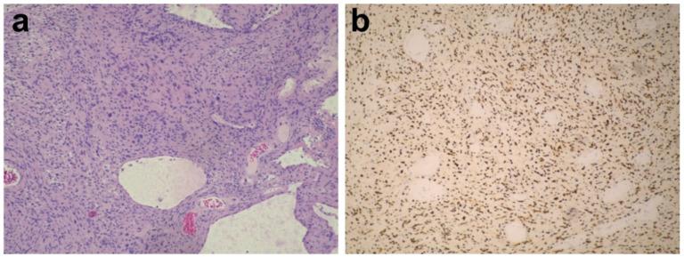
We report a case of symptomatic hemifacial spasm induced by a small vestibular schwannoma that was totally resected. A 64-year-old man was admitted to our department with a 14-month history of symptomatic right-sided hemifacial spasm. During the process of microvascular decompression, no definite vessel was found to compress the facial nerve. By further exploration of regions other than root exit zone, a small vestibular schwannoma compressing the internal auditory canal portion of facial nerve from the ventral side was discovered. Resection of the tumor was then conducted. The symptoms of hemifacial spasm disappeared immediately after surgery.

CONCLUSIONS

We should be aware that magnetic resonance imaging is not always precise and perhaps misses some miniature lesions due to present image technique limitations. A small vestibular schwannoma might be the reason for HFS, although preoperative magnetic resonance tomography angiography showed possible vascular compression at the facial nerve root. More importantly, a full-length exploration of the facial nerve is in urgent need to find potential compression while performing microvascular decompression for HFS patients.

摘要

背景

大多数面肌痉挛病例是由血管襻对面神经根部出口区的机械性压迫引起的,只有少数病例由前庭神经鞘瘤导致。

病例报告

我们报告一例由小型前庭神经鞘瘤引起的症状性面肌痉挛病例,该肿瘤已被完全切除。一名64岁男性因有14个月症状性右侧面肌痉挛病史入住我科。在微血管减压过程中,未发现明确的血管压迫面神经。通过对神经根出口区以外区域的进一步探查,发现一个小型前庭神经鞘瘤从腹侧压迫面神经的内耳道部分。随后进行了肿瘤切除。术后面肌痉挛症状立即消失。

结论

我们应该意识到,由于目前图像技术的局限性,磁共振成像并不总是精确的,可能会遗漏一些微小病变。尽管术前磁共振断层血管造影显示面神经根部可能存在血管压迫,但小型前庭神经鞘瘤可能是面肌痉挛的原因。更重要的是,在为面肌痉挛患者进行微血管减压时,迫切需要对面神经进行全长探查以发现潜在的压迫。

https://cdn.ncbi.nlm.nih.gov/pmc/blobs/3e77/9599054/65579510a8a7/brainsci-12-01347-g001.jpg

文献AI研究员

20分钟写一篇综述,助力文献阅读效率提升50倍。

立即体验

用中文搜PubMed

大模型驱动的PubMed中文搜索引擎

马上搜索

文档翻译

学术文献翻译模型,支持多种主流文档格式。

立即体验