Suppr超能文献

一例嗅觉减退和疫苗接种后短暂性听觉前庭障碍的罕见病例:病例报告及文献综述

A singular case of hyposmia and transient audiovestibular post-vaccine disorders: case report and literature review.

作者信息

Fantin Francesco, Frosolini Andrea, Tundo Isabella, Inches Ingrid, Fabbris Cristoforo, Spinato Giacomo, de Filippis Cosimo

机构信息

Department of Neuroscience DNS, University of Padova, Audiology Unit, Treviso Hospital, Treviso, Italy.

Department of Medical and Surgical Sciences and Advanced Technologies "G.F. Ingrassia," ENT Section, A.O.U. Policlinico "G.Rodolico-San Marco," University of Catania, Catania, Italy.

出版信息

Transl Neurosci. 2022 Oct 7;13(1):349-353. doi: 10.1515/tnsci-2022-0250. eCollection 2022 Jan 1.

Abstract

INTRODUCTION

Rare and mild adverse effects on cranial nerves have been reported after vaccination. Here, we report a singular case of smell and taste disorder associated with tinnitus that occurred after Oxford-AstraZeneca vaccination together with a review of the available literature.

CASE PRESENTATION

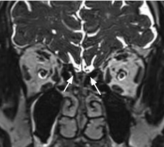
A 76-year-old patient experienced smell disorder, ear fullness and tinnitus 2 days after the first dose of Oxford-AstraZeneca vaccine. The patient then underwent a complete audiological and Ear, Nose and Throat evaluation, nasal endoscopy, Sniffin'Sticks battery, audiometric test battery, and cerebral magnetic resonance imaging (MRI). The exams revealed hyposmia and bilateral reduction of the volume of the olfactory bulbs (OB). At the follow-up, tinnitus was completely resolved while olfactory dysfunction only partially reduced.

REVIEW OF THE LITERATURE

A PubMed search was conducted on olfactory and gustatory dysfunctions after COVID-19 vaccination resulting in four case reports with a total of 10 patients. The main symptoms were hyposmia, parosmia, and dysgeusia developed after 1-9 days from vaccination with complete resolution occurring within 1 month. Notably, none of the considered articles reported reduction of OB volumes at cerebral MRI.

DISCUSSION

So far, no definitive cause-effect relationship has been established between anti-COVID19 vaccination and otolaryngologic adverse reactions. The persistence of hyposmia in our patient could possibly be explained by the reduction in OB volume, even though also the advanced age of the patient needs to be taken into account. This is a first indication of a cause-effect relation between hyposmia and Covid19 vaccination, even though a more robust study is needed to confirm the autoimmunological mechanisms responsible for these rare adverse reactions. However, it is worth highlighting that benefits of the anti-COVID-19 vaccination clearly outweigh the risk of rare adverse events.

摘要

引言

接种疫苗后曾有罕见且轻微的颅神经不良反应报告。在此,我们报告一例与耳鸣相关的嗅觉和味觉障碍的特殊病例,该病例发生在接种牛津 - 阿斯利康疫苗之后,并对现有文献进行综述。

病例介绍

一名76岁患者在接种第一剂牛津 - 阿斯利康疫苗后2天出现嗅觉障碍、耳闷和耳鸣。该患者随后接受了全面的听力学及耳鼻喉科评估、鼻内镜检查、嗅觉棒测试、听力测试电池以及脑部磁共振成像(MRI)。检查显示嗅觉减退以及双侧嗅球(OB)体积减小。随访时,耳鸣完全缓解,而嗅觉功能障碍仅部分减轻。

文献综述

对COVID - 19疫苗接种后的嗅觉和味觉功能障碍进行了PubMed检索,结果有4篇病例报告,共10例患者。主要症状为接种疫苗后1 - 9天出现的嗅觉减退、嗅觉异常和味觉障碍,1个月内完全缓解。值得注意的是,所查阅的文章均未报告脑部MRI显示嗅球体积减小。

讨论

到目前为止,抗COVID - 19疫苗接种与耳鼻喉科不良反应之间尚未确立明确的因果关系。我们患者嗅觉减退的持续存在可能可以通过嗅球体积减小来解释,尽管患者的高龄也需要考虑在内。这是嗅觉减退与COVID - 19疫苗接种之间存在因果关系的首个迹象,尽管需要更有力的研究来证实导致这些罕见不良反应的自身免疫机制。然而,值得强调的是,抗COVID - 19疫苗接种的益处明显超过罕见不良事件的风险。

https://cdn.ncbi.nlm.nih.gov/pmc/blobs/2a3a/9547348/d0774e854595/j_tnsci-2022-0250-fig001.jpg

文献检索

告别复杂PubMed语法,用中文像聊天一样搜索,搜遍4000万医学文献。AI智能推荐,让科研检索更轻松。

立即免费搜索

文件翻译

保留排版,准确专业,支持PDF/Word/PPT等文件格式,支持 12+语言互译。

免费翻译文档

深度研究

AI帮你快速写综述,25分钟生成高质量综述,智能提取关键信息,辅助科研写作。

立即免费体验