Suppr超能文献

津纳综合征:来自埃塞俄比亚的首例病例报告。

Zinner syndrome: A first case report from Ethiopia.

作者信息

Beyene Erko, Tadele Engidawork, Negassa Meti

机构信息

School of medicine, College of Health Sciences, Addis Ababa University, Addis Ababa, Ethiopia.

School of Medicine, Myungsung Medical College, Addis Ababa, Ethiopia.

出版信息

Radiol Case Rep. 2022 Oct 28;18(1):86-90. doi: 10.1016/j.radcr.2022.09.074. eCollection 2023 Jan.

Abstract

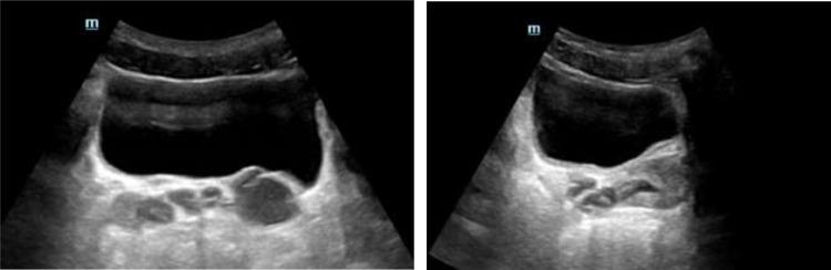
A triad of unilateral renal agenesis, ipsilateral seminal vesicle cyst and ipsilateral ejaculatory duct obstruction has been called Zinner syndrome since its first description in 1914 by Zinner. It is a very rare congenital abnormality of the male genitourinary tract due to abnormal embryologic development of the Wolffian ducts. There have been several case reports from different parts of the world about the clinical and imaging findings of these anomaly. In this case report, we present the first case report of Zinner syndrome in a 28-year-old male Ethiopian patient.

摘要

自1914年齐纳首次描述以来,单侧肾缺如、同侧精囊囊肿和同侧射精管梗阻三联征被称为齐纳综合征。它是一种非常罕见的男性生殖泌尿系统先天性异常,由中肾管胚胎发育异常引起。世界各地已有多篇关于这些异常的临床和影像学表现的病例报告。在本病例报告中,我们呈现了一名28岁埃塞俄比亚男性患者的齐纳综合征首例病例报告。

https://cdn.ncbi.nlm.nih.gov/pmc/blobs/5a84/9619324/67b72e439efd/gr1.jpg

文献AI研究员

20分钟写一篇综述,助力文献阅读效率提升50倍。

立即体验

用中文搜PubMed

大模型驱动的PubMed中文搜索引擎

马上搜索

文档翻译

学术文献翻译模型,支持多种主流文档格式。

立即体验