Suppr超能文献

不同年龄大鼠临界尺寸干骺端股骨缺损中结构性同种异体移植物的植入和重塑的组织学评价。

Histological evaluation of the incorporation and remodeling of structural allografts in critical size metaphyseal femur defects in rats of different ages.

机构信息

Laboratory of Connective Tissue Morphology, Sytenko Institute of Spine and Joint Pathology, National Academy of Medical Sciences of Ukraine, Kharkiv, Ukraine;

出版信息

Rom J Morphol Embryol. 2022 Apr-Jun;63(2):349-356. doi: 10.47162/RJME.63.2.06.

Abstract

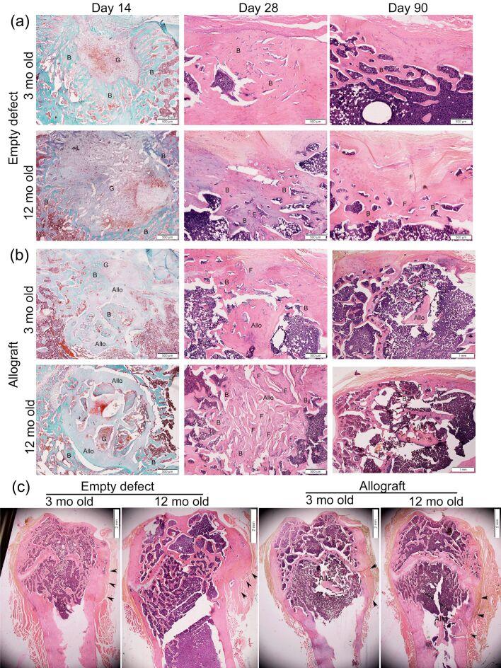
Insufficient bone regeneration is a common issue for patients with extensive bone damage, therefore the use of allografts is required. With increasing life expectancy, there is a higher risk of bone repair issues after fractures or orthopedic surgical intervention. We studied incorporation and remodeling of structural allografts in critical size metaphyseal femur defects in 52 rats aged 3-month-old and 12-month-old who underwent surgeries creating a bone defect, which was either filled with a structural allograft (3-month-old - 3moAllo; 12-month-old - 12moAllo) or left empty (3-month-old - 3moE; 12-month-old - 12moE). Histological analyses were performed 14, 28 and 90 days after the surgery. The percentage of bone and fibrous tissues, and allograft relative to the defect area was evaluated. The transmission electron microscopy was carried out 14 days after allograft implantation. When the defect was empty, slower bone regeneration was observed in 12moE rats versus 3moE, leading to sufficient irregularities in the anatomic structure of the femur 90 days after the surgery. When a structural allograft was used, the area of the fibrous tissue was larger in the defects of 12moAllo compared with 3moAllo rats 90 days after surgery. No age-related differences were found in the allograft remodeling and structures of the osteocytes, osteoblasts, and osteoclasts over the observation period. Evident issues with bone regeneration were found in critical size defects both of 12moE and 12moAllo rats. However, the allograft use allowed the bone maintaining anatomic structure 90 days after the surgery.

摘要

骨再生不足是广泛骨损伤患者的常见问题,因此需要使用同种异体移植物。随着预期寿命的延长,骨折或骨科手术干预后发生骨修复问题的风险更高。我们研究了在 3 月龄和 12 月龄大鼠的股骨干骺端临界尺寸骨缺损中结构性同种异体移植物的植入和重塑,这些大鼠接受了手术造成骨缺损,这些骨缺损要么用结构性同种异体移植物填充(3 月龄-3moAllo;12 月龄-12moAllo),要么不填充(3 月龄-3moE;12 月龄-12moE)。手术后 14、28 和 90 天进行组织学分析。评估骨和纤维组织的百分比,以及同种异体移植物相对于缺损面积的比例。在同种异体移植物植入后 14 天进行透射电镜检查。当缺损为空时,12moE 大鼠的骨再生速度较慢,与 3moE 相比,90 天后股骨的解剖结构出现足够的不规则性。当使用结构性同种异体移植物时,与 3moAllo 大鼠相比,12moAllo 大鼠术后 90 天的缺陷中纤维组织的面积更大。在观察期间,同种异体移植物的重塑和骨细胞、成骨细胞和破骨细胞的结构在老龄大鼠和年轻大鼠之间没有差异。在 12moE 和 12moAllo 大鼠的临界尺寸缺陷中都发现了明显的骨再生问题。然而,同种异体移植物的使用允许骨骼在手术后 90 天保持解剖结构。

https://cdn.ncbi.nlm.nih.gov/pmc/blobs/2e6d/9804061/a13464a345d8/RJME-63-2-349-fig1.jpg

文献AI研究员

20分钟写一篇综述,助力文献阅读效率提升50倍。

立即体验

用中文搜PubMed

大模型驱动的PubMed中文搜索引擎

马上搜索

文档翻译

学术文献翻译模型,支持多种主流文档格式。

立即体验