• 文献检索
  • 文档翻译
  • 深度研究
  • 学术资讯
  • Suppr Zotero 插件Zotero 插件
  • 邀请有礼
  • 套餐&价格
  • 历史记录
应用&插件
Suppr Zotero 插件Zotero 插件浏览器插件Mac 客户端Windows 客户端微信小程序
定价
高级版会员购买积分包购买API积分包
服务
文献检索文档翻译深度研究API 文档MCP 服务
关于我们
关于 Suppr公司介绍联系我们用户协议隐私条款
关注我们

Suppr 超能文献

核心技术专利:CN118964589B侵权必究
粤ICP备2023148730 号-1Suppr @ 2026

文献检索

告别复杂PubMed语法,用中文像聊天一样搜索,搜遍4000万医学文献。AI智能推荐,让科研检索更轻松。

立即免费搜索

文件翻译

保留排版,准确专业,支持PDF/Word/PPT等文件格式,支持 12+语言互译。

免费翻译文档

深度研究

AI帮你快速写综述,25分钟生成高质量综述,智能提取关键信息,辅助科研写作。

立即免费体验

AMPKβ1 的磷酸化对于增加自噬和维持脂肪酸反应中的线粒体动态平衡至关重要。

The phosphorylation of AMPKβ1 is critical for increasing autophagy and maintaining mitochondrial homeostasis in response to fatty acids.

机构信息

Centre for Metabolism Obesity and Diabetes Research, McMaster University, Hamilton ON L8N 3Z5, Canada.

Division of Endocrinology and Metabolism, Department of Medicine, McMaster University, Hamilton ON L8N 3Z5, Canada.

出版信息

Proc Natl Acad Sci U S A. 2022 Nov 29;119(48):e2119824119. doi: 10.1073/pnas.2119824119. Epub 2022 Nov 21.

DOI:10.1073/pnas.2119824119
PMID:36409897
原文链接:https://pmc.ncbi.nlm.nih.gov/articles/PMC9860314/
Abstract

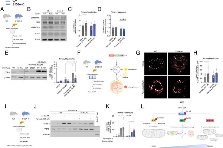
Fatty acids are vital for the survival of eukaryotes, but when present in excess can have deleterious consequences. The AMP-activated protein kinase (AMPK) is an important regulator of multiple branches of metabolism. Studies in purified enzyme preparations and cultured cells have shown that AMPK is allosterically activated by small molecules as well as fatty acyl-CoAs through a mechanism involving Ser108 within the regulatory AMPK β1 isoform. However, the in vivo physiological significance of this residue has not been evaluated. In the current study, we generated mice with a targeted germline knock-in (KI) mutation of AMPKβ1 Ser108 to Ala (S108A-KI), which renders the site phospho-deficient. S108A-KI mice had reduced AMPK activity (50 to 75%) in the liver but not in the skeletal muscle. On a chow diet, S108A-KI mice had impairments in exogenous lipid-induced fatty acid oxidation. Studies in mice fed a high-fat diet found that S108A-KI mice had a tendency for greater glucose intolerance and elevated liver triglycerides. Consistent with increased liver triglycerides, livers of S108A-KI mice had reductions in mitochondrial content and respiration that were accompanied by enlarged mitochondria, suggestive of impairments in mitophagy. Subsequent studies in primary hepatocytes found that S108A-KI mice had reductions in palmitate- stimulated Cpt1a and Ppargc1a mRNA, ULK1 phosphorylation and autophagic/mitophagic flux. These data demonstrate an important physiological role of AMPKβ1 Ser108 phosphorylation in promoting fatty acid oxidation, mitochondrial biogenesis and autophagy under conditions of high lipid availability. As both ketogenic diets and intermittent fasting increase circulating free fatty acid levels, AMPK activity, mitochondrial biogenesis, and mitophagy, these data suggest a potential unifying mechanism which may be important in mediating these effects.

摘要

脂肪酸对于真核生物的生存至关重要,但过量存在时会产生有害的后果。AMP 激活的蛋白激酶(AMPK)是代谢多个分支的重要调节剂。在纯化的酶制剂和培养的细胞中的研究表明,AMPK 通过小分子以及通过涉及调节 AMPK β1 同工型中的 Ser108 的机制被脂肪酸酰基辅酶 A 别构激活。然而,该残基在体内生理中的意义尚未得到评估。在本研究中,我们生成了 AMPKβ1 Ser108 定点基因敲入(KI)突变的 AMPKβ1 Ser108 到 Ala(S108A-KI)的基因敲入(KI)突变的小鼠,该突变使该位点磷酸化缺失。S108A-KI 小鼠的肝脏中 AMPK 活性(50 至 75%)降低,但骨骼肌中 AMPK 活性没有降低。在正常饮食中,S108A-KI 小鼠在外源脂质诱导的脂肪酸氧化中存在缺陷。在高脂肪饮食喂养的小鼠研究中发现,S108A-KI 小鼠有更大的葡萄糖不耐受和升高的肝甘油三酯的趋势。与肝甘油三酯增加一致,S108A-KI 小鼠的肝脏线粒体含量和呼吸减少,伴有线粒体增大,提示自噬/噬脂作用受损。随后在原代肝细胞中的研究发现,S108A-KI 小鼠的棕榈酸刺激的 Cpt1a 和 Ppargc1a mRNA、ULK1 磷酸化和自噬/噬脂流减少。这些数据表明 AMPKβ1 Ser108 磷酸化在促进脂肪酸氧化、线粒体生物发生和自噬方面具有重要的生理作用,在高脂质可用性条件下。由于生酮饮食和间歇性禁食会增加循环游离脂肪酸水平、AMPK 活性、线粒体生物发生和噬脂作用,这些数据表明了一种潜在的统一机制,可能在介导这些作用中很重要。

https://cdn.ncbi.nlm.nih.gov/pmc/blobs/134f/9860314/7ae9c0437928/pnas.2119824119fig04.jpg
https://cdn.ncbi.nlm.nih.gov/pmc/blobs/134f/9860314/d51edddfbaf2/pnas.2119824119fig01.jpg
https://cdn.ncbi.nlm.nih.gov/pmc/blobs/134f/9860314/0899e878a1ea/pnas.2119824119fig02.jpg
https://cdn.ncbi.nlm.nih.gov/pmc/blobs/134f/9860314/3826e74d1bc2/pnas.2119824119fig03.jpg
https://cdn.ncbi.nlm.nih.gov/pmc/blobs/134f/9860314/7ae9c0437928/pnas.2119824119fig04.jpg
https://cdn.ncbi.nlm.nih.gov/pmc/blobs/134f/9860314/d51edddfbaf2/pnas.2119824119fig01.jpg
https://cdn.ncbi.nlm.nih.gov/pmc/blobs/134f/9860314/0899e878a1ea/pnas.2119824119fig02.jpg
https://cdn.ncbi.nlm.nih.gov/pmc/blobs/134f/9860314/3826e74d1bc2/pnas.2119824119fig03.jpg
https://cdn.ncbi.nlm.nih.gov/pmc/blobs/134f/9860314/7ae9c0437928/pnas.2119824119fig04.jpg

相似文献

1
The phosphorylation of AMPKβ1 is critical for increasing autophagy and maintaining mitochondrial homeostasis in response to fatty acids.AMPKβ1 的磷酸化对于增加自噬和维持脂肪酸反应中的线粒体动态平衡至关重要。
Proc Natl Acad Sci U S A. 2022 Nov 29;119(48):e2119824119. doi: 10.1073/pnas.2119824119. Epub 2022 Nov 21.
2
The autophagy initiator ULK1 sensitizes AMPK to allosteric drugs.自噬启动因子ULK1使AMPK对变构药物敏感。
Nat Commun. 2017 Sep 18;8(1):571. doi: 10.1038/s41467-017-00628-y.
3
Barley sprout extracts reduce hepatic lipid accumulation in ethanol-fed mice by activating hepatic AMP-activated protein kinase.大麦芽提取物通过激活肝 AMP 激活的蛋白激酶减少乙醇喂养小鼠的肝脂质积累。
Food Res Int. 2017 Nov;101:209-217. doi: 10.1016/j.foodres.2017.08.068. Epub 2017 Sep 12.
4
Muscle-generated BDNF (brain derived neurotrophic factor) maintains mitochondrial quality control in female mice.肌肉产生的脑源性神经营养因子(brain derived neurotrophic factor)维持雌性小鼠的线粒体质量控制。
Autophagy. 2022 Jun;18(6):1367-1384. doi: 10.1080/15548627.2021.1985257. Epub 2021 Oct 25.
5
Thyroid hormone (T) stimulates brown adipose tissue activation via mitochondrial biogenesis and MTOR-mediated mitophagy.甲状腺激素(T)通过线粒体生物发生和 MTOR 介导的线粒体自噬刺激棕色脂肪组织的激活。
Autophagy. 2019 Jan;15(1):131-150. doi: 10.1080/15548627.2018.1511263. Epub 2018 Sep 13.
6
A-769662 inhibits adipocyte glucose uptake in an AMPK-independent manner.A-769662 以 AMPK 非依赖的方式抑制脂肪细胞的葡萄糖摄取。
Biochem J. 2021 Feb 12;478(3):633-646. doi: 10.1042/BCJ20200659.
7
Genetic loss of AMPK-glycogen binding destabilises AMPK and disrupts metabolism.遗传缺失 AMPK-糖原结合会使 AMPK 失稳,并破坏代谢。
Mol Metab. 2020 Nov;41:101048. doi: 10.1016/j.molmet.2020.101048. Epub 2020 Jun 29.
8
Ampk phosphorylation of Ulk1 is required for targeting of mitochondria to lysosomes in exercise-induced mitophagy.在运动诱导的线粒体自噬过程中,Ulk1的Ampk磷酸化是线粒体靶向溶酶体所必需的。
Nat Commun. 2017 Sep 15;8(1):548. doi: 10.1038/s41467-017-00520-9.
9
Cardiotrophin-1 eliminates hepatic steatosis in obese mice by mechanisms involving AMPK activation.心肌营养素-1 通过激活 AMPK 的机制消除肥胖小鼠的肝脂肪变性。
J Hepatol. 2014 May;60(5):1017-25. doi: 10.1016/j.jhep.2013.12.012. Epub 2013 Dec 19.
10
Interactions between the consumption of a high-fat diet and fasting in the regulation of fatty acid oxidation enzyme gene expression: an evaluation of potential mechanisms.高脂肪饮食与禁食在调节脂肪酸氧化酶基因表达中的相互作用:对潜在机制的评估。
Am J Physiol Regul Integr Comp Physiol. 2011 Feb;300(2):R212-21. doi: 10.1152/ajpregu.00367.2010. Epub 2010 Nov 17.

引用本文的文献

1
Mitophagy as a pivotal axis in non‑alcoholic fatty liver disease: From pathogenic mechanisms to therapeutic strategies (Review).线粒体自噬作为非酒精性脂肪性肝病的关键轴:从发病机制到治疗策略(综述)
Mol Med Rep. 2025 Nov;32(5). doi: 10.3892/mmr.2025.13664. Epub 2025 Aug 29.
2
Ketogenic diet ameliorates MASLD via balancing mitochondrial dynamics and improving mitochondrial dysfunction.生酮饮食通过平衡线粒体动力学和改善线粒体功能障碍来改善代谢相关脂肪性肝病。
Nutr Diabetes. 2025 Aug 25;15(1):37. doi: 10.1038/s41387-025-00391-w.
3
An integrated proteomics approach identifies phosphorylation sites on viral and host proteins that regulate West Nile virus infection.

本文引用的文献

1
Rare ATG7 genetic variants predispose patients to severe fatty liver disease.罕见的 ATG7 基因突变使患者易患严重的脂肪肝疾病。
J Hepatol. 2022 Sep;77(3):596-606. doi: 10.1016/j.jhep.2022.03.031. Epub 2022 Apr 9.
2
Natural (dihydro)phenanthrene plant compounds are direct activators of AMPK through its allosteric drug and metabolite-binding site.天然(二氢)菲类植物化合物通过其变构药物和代谢物结合位点直接激活 AMPK。
J Biol Chem. 2022 May;298(5):101852. doi: 10.1016/j.jbc.2022.101852. Epub 2022 Mar 21.
3
Mitophagy: Molecular Mechanisms, New Concepts on Parkin Activation and the Emerging Role of AMPK/ULK1 Axis.
一种综合蛋白质组学方法可鉴定出调节西尼罗河病毒感染的病毒蛋白和宿主蛋白上的磷酸化位点。
Cell Rep. 2025 May 27;44(5):115728. doi: 10.1016/j.celrep.2025.115728. Epub 2025 May 15.
4
The molecular determinants regulating redox signaling in diabetic endothelial cells.调节糖尿病内皮细胞氧化还原信号的分子决定因素。
Front Pharmacol. 2025 Apr 1;16:1563047. doi: 10.3389/fphar.2025.1563047. eCollection 2025.
5
Research progress on AMPK in the pathogenesis and treatment of MASLD.AMPK在代谢相关脂肪性肝病发病机制及治疗中的研究进展
Front Immunol. 2025 Mar 11;16:1558041. doi: 10.3389/fimmu.2025.1558041. eCollection 2025.
6
[Research progress on glycolipid metabolism of Sertoli cell in the development of spermatogenic cell].[生精细胞发育过程中支持细胞糖脂代谢的研究进展]
Zhejiang Da Xue Xue Bao Yi Xue Ban. 2025 Mar 25;54(2):257-265. doi: 10.3724/zdxbyxb-2024-0346.
7
Sensing of Long-Chain Fatty Acyl-CoA Esters by AMPK.AMPK对长链脂肪酰辅酶A酯的感知
Methods Mol Biol. 2025;2882:121-137. doi: 10.1007/978-1-0716-4284-9_6.
8
Natural Modulators of Key Signaling Pathways in Skin Inflammageing.皮肤炎症性衰老中关键信号通路的天然调节剂
Clin Cosmet Investig Dermatol. 2024 Dec 18;17:2967-2988. doi: 10.2147/CCID.S502252. eCollection 2024.
9
Intermittent fasting, fatty acid metabolism reprogramming, and neuroimmuno microenvironment: mechanisms and application prospects.间歇性禁食、脂肪酸代谢重编程与神经免疫微环境:机制及应用前景
Front Nutr. 2024 Oct 24;11:1485632. doi: 10.3389/fnut.2024.1485632. eCollection 2024.
10
The metabolic sensor AMPK: Twelve enzymes in one.代谢传感器AMPK:集十二种酶于一体。
Mol Metab. 2024 Dec;90:102042. doi: 10.1016/j.molmet.2024.102042. Epub 2024 Oct 2.
自噬:分子机制、Parkin 激活的新概念以及 AMPK/ULK1 轴的新兴作用。
Cells. 2021 Dec 23;11(1):30. doi: 10.3390/cells11010030.
4
The multifaceted regulation of mitophagy by endogenous metabolites.内源性代谢物对自噬的多方面调控。
Autophagy. 2022 Jun;18(6):1216-1239. doi: 10.1080/15548627.2021.1975914. Epub 2021 Sep 29.
5
Efficacy and safety of PXL770, a direct AMP kinase activator, for the treatment of non-alcoholic fatty liver disease (STAMP-NAFLD): a randomised, double-blind, placebo-controlled, phase 2a study.直接激活 AMP 激酶的 PXL770 治疗非酒精性脂肪性肝病(STAMP-NAFLD)的疗效和安全性:一项随机、双盲、安慰剂对照、2a 期研究。
Lancet Gastroenterol Hepatol. 2021 Nov;6(11):889-902. doi: 10.1016/S2468-1253(21)00300-9. Epub 2021 Sep 22.
6
Direct AMPK Activation Corrects NASH in Rodents Through Metabolic Effects and Direct Action on Inflammation and Fibrogenesis.直接激活 AMPK 通过代谢作用以及对炎症和肝纤维化的直接作用纠正啮齿动物的 NASH。
Hepatol Commun. 2022 Jan;6(1):101-119. doi: 10.1002/hep4.1799. Epub 2021 Sep 7.
7
Mitochondria-localized AMPK responds to local energetics and contributes to exercise and energetic stress-induced mitophagy.定位于线粒体的 AMPK 对局部能量代谢做出响应,并有助于运动和能量应激诱导的线粒体自噬。
Proc Natl Acad Sci U S A. 2021 Sep 14;118(37). doi: 10.1073/pnas.2025932118.
8
Mitochondrial Fission Governed by Drp1 Regulates Exogenous Fatty Acid Usage and Storage in Hela Cells.由动力相关蛋白1(Drp1)调控的线粒体分裂调节HeLa细胞中外源脂肪酸的利用和储存。
Metabolites. 2021 May 18;11(5):322. doi: 10.3390/metabo11050322.
9
AMPK/ULK1-mediated phosphorylation of Parkin ACT domain mediates an early step in mitophagy.AMPK/ULK1介导的帕金森蛋白ACT结构域磷酸化介导了线粒体自噬的早期步骤。
Sci Adv. 2021 Apr 7;7(15). doi: 10.1126/sciadv.abg4544. Print 2021 Apr.
10
Early changes in hepatic energy metabolism and lipid content in recent-onset type 1 and 2 diabetes mellitus.新发1型和2型糖尿病患者肝脏能量代谢和脂质含量的早期变化
J Hepatol. 2021 May;74(5):1028-1037. doi: 10.1016/j.jhep.2020.11.030. Epub 2020 Nov 28.