Suppr超能文献

人和猪脾脏的交感神经支配:对物种间功能差异的影响。

Sympathetic innervation of human and porcine spleens: implications for between species variation in function.

作者信息

Kirkland Logan G, Garbe Chloe G, Hadaya Joseph, Benson Paul V, Wagener Brant M, Tankovic Sanjin, Hoover Donald B

机构信息

Department of Biomedical Sciences, Quillen College of Medicine, East Tennessee State University, Johnson City, TN, 37614, USA.

UCLA Cardiac Arrhythmia Center and Neurocardiology Research Program of Excellence, David Geffen School of Medicine at UCLA, Los Angeles, CA, 90095, USA.

出版信息

Bioelectron Med. 2022 Dec 19;8(1):20. doi: 10.1186/s42234-022-00102-1.

Abstract

BACKGROUND

The vagus nerve affects innate immune responses by activating spleen-projecting sympathetic neurons, which modulate leukocyte function. Recent basic and clinical research investigating vagus nerve stimulation to engage the cholinergic anti-inflammatory pathway (CAP) has shown promising therapeutic results for a variety of inflammatory diseases. Abundant sympathetic innervation occurs in rodent spleens, and use of these species has dominated mechanistic research investigating the CAP. However, previous neuroanatomical studies of human spleen found a more restricted pattern of innervation compared to rodents. Therefore, our primary goal was to establish the full extent of sympathetic innervation of human spleens using donor tissue with the shortest procurement to fixation time. Parallel studies of porcine spleen, a large animal model, were performed as a positive control and for comparison.

METHODS

Human and porcine spleen tissue were fixed immediately after harvest and prepared for immunohistochemistry. Human heart and porcine spleen were stained in conjunction as positive controls. Several immunohistochemical protocols were compared for best results. Tissue was stained for tyrosine hydroxylase (TH), a noradrenergic marker, using VIP purple chromogen. Consecutive tissue slices were stained for neuropeptide Y (NPY), which often co-localizes with TH, or double-labelled for TH and CD3, a T cell marker. High-magnification images and full scans of the tissue were obtained and analyzed for qualitative differences between species.

RESULTS

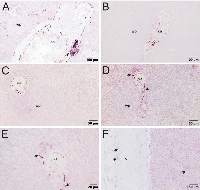
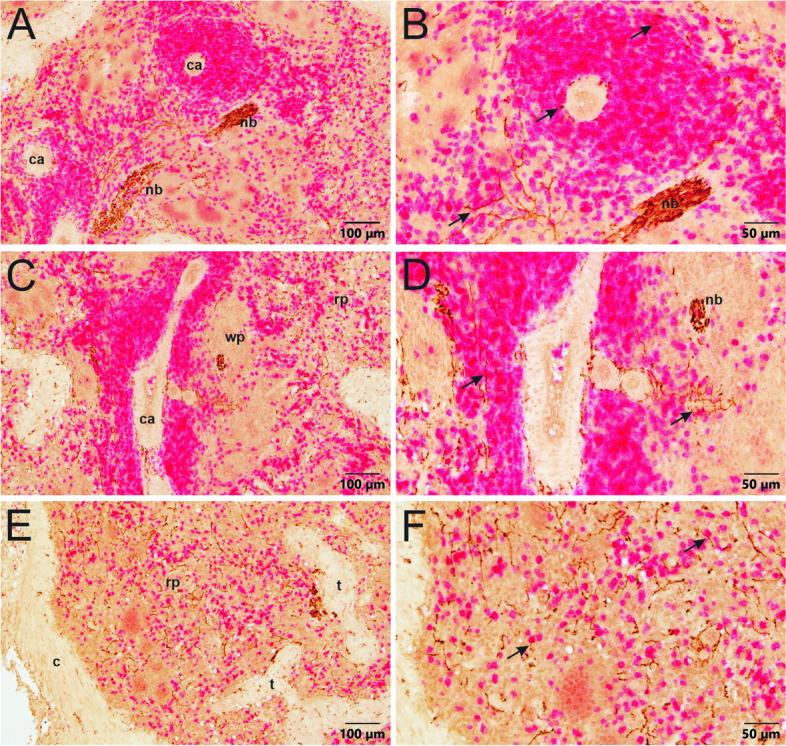
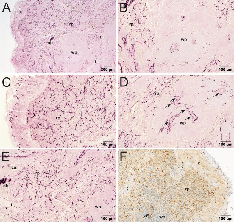
TH had dominant perivascular localization in human spleen, with negligible innervation of parenchyma, but such nerves were abundant throughout ventricular myocardium. In marked contrast, noradrenergic innervation was abundant in all regions of porcine spleen, with red pulp having more nerves than white pulp. NPY stain results were consistent with this pattern. In human spleen, noradrenergic nerves only ran close to T cells at the boundary of the periarterial lymphatic sheath and arteries. In porcine spleen, noradrenergic nerves were closely associated with T cells in both white and red pulp as well as other leukocytes in red pulp.

CONCLUSION

Sympathetic innervation of the spleen varies between species in both distribution and abundance, with humans and pigs being at opposite extremes. This has important implications for sympathetic regulation of neuroimmune interactions in the spleen of different species and focused targeting of the CAP in humans.

摘要

背景

迷走神经通过激活投射至脾脏的交感神经元来影响先天性免疫反应,这些交感神经元可调节白细胞功能。最近关于迷走神经刺激以激活胆碱能抗炎通路(CAP)的基础和临床研究已显示出对多种炎症性疾病有颇具前景的治疗效果。啮齿动物的脾脏有丰富的交感神经支配,对这些物种的研究主导了对CAP的机制研究。然而,先前对人类脾脏的神经解剖学研究发现,与啮齿动物相比,人类脾脏的神经支配模式更为有限。因此,我们的主要目标是使用从获取到固定时间最短的供体组织来确定人类脾脏交感神经支配的完整范围。作为阳性对照并用于比较,我们对大型动物模型猪的脾脏进行了平行研究。

方法

人类和猪的脾脏组织在收获后立即固定,并准备进行免疫组织化学分析。将人类心脏和猪脾脏一起染色作为阳性对照。比较了几种免疫组织化学方案以获得最佳结果。使用VIP紫色显色剂对组织进行酪氨酸羟化酶(TH,一种去甲肾上腺素能标志物)染色。对连续的组织切片进行神经肽Y(NPY)染色,NPY通常与TH共定位,或对TH和T细胞标志物CD3进行双重标记。获取组织的高倍图像和全扫描图像,并分析不同物种之间的定性差异。

结果

TH在人类脾脏中主要定位于血管周围,实质内神经支配可忽略不计,但此类神经在整个心室心肌中丰富。与之形成鲜明对比的是,猪脾脏的所有区域都有丰富的去甲肾上腺素能神经支配,红髓中的神经比白髓中的更多。NPY染色结果与这种模式一致。在人类脾脏中,去甲肾上腺素能神经仅在动脉周围淋巴鞘和动脉边界处靠近T细胞。在猪脾脏中,去甲肾上腺素能神经在白髓和红髓中均与T细胞以及红髓中的其他白细胞密切相关。

结论

不同物种脾脏的交感神经支配在分布和丰富程度上存在差异,人类和猪处于相反的极端情况。这对于不同物种脾脏中神经免疫相互作用的交感神经调节以及人类CAP的靶向定位具有重要意义。

https://cdn.ncbi.nlm.nih.gov/pmc/blobs/9237/9762010/d58b41fb97c3/42234_2022_102_Fig1_HTML.jpg

文献AI研究员

20分钟写一篇综述,助力文献阅读效率提升50倍。

立即体验

用中文搜PubMed

大模型驱动的PubMed中文搜索引擎

马上搜索

文档翻译

学术文献翻译模型,支持多种主流文档格式。

立即体验