• 文献检索
  • 文档翻译
  • 深度研究
  • 学术资讯
  • Suppr Zotero 插件Zotero 插件
  • 邀请有礼
  • 套餐&价格
  • 历史记录
应用&插件
Suppr Zotero 插件Zotero 插件浏览器插件Mac 客户端Windows 客户端微信小程序
定价
高级版会员购买积分包购买API积分包
服务
文献检索文档翻译深度研究API 文档MCP 服务
关于我们
关于 Suppr公司介绍联系我们用户协议隐私条款
关注我们

Suppr 超能文献

核心技术专利:CN118964589B侵权必究
粤ICP备2023148730 号-1Suppr @ 2026

文献检索

告别复杂PubMed语法,用中文像聊天一样搜索,搜遍4000万医学文献。AI智能推荐,让科研检索更轻松。

立即免费搜索

文件翻译

保留排版,准确专业,支持PDF/Word/PPT等文件格式,支持 12+语言互译。

免费翻译文档

深度研究

AI帮你快速写综述,25分钟生成高质量综述,智能提取关键信息,辅助科研写作。

立即免费体验

索磷布韦和达卡他韦对硫代乙酰胺诱导的成年白化大鼠肾损伤的改善作用。

The ameliorating role of sofosbuvir and daclatasvir on thioacetamide-induced kidney injury in adult albino rats.

作者信息

Moustafa Ahmed H, Pasha Heba F, Abas Manar A, Aboregela Adel M

机构信息

Department of Chemistry, Faculty of Science, Zagazig University, Zagazig, Egypt.

Department of Medical Biochemistry and Genetics, Faculty of Medicine, Zagazig University, Zagazig, Egypt.

出版信息

Anat Cell Biol. 2023 Mar 31;56(1):109-121. doi: 10.5115/acb.22.200. Epub 2022 Dec 22.

DOI:10.5115/acb.22.200
PMID:36543744
原文链接:https://pmc.ncbi.nlm.nih.gov/articles/PMC9989782/
Abstract

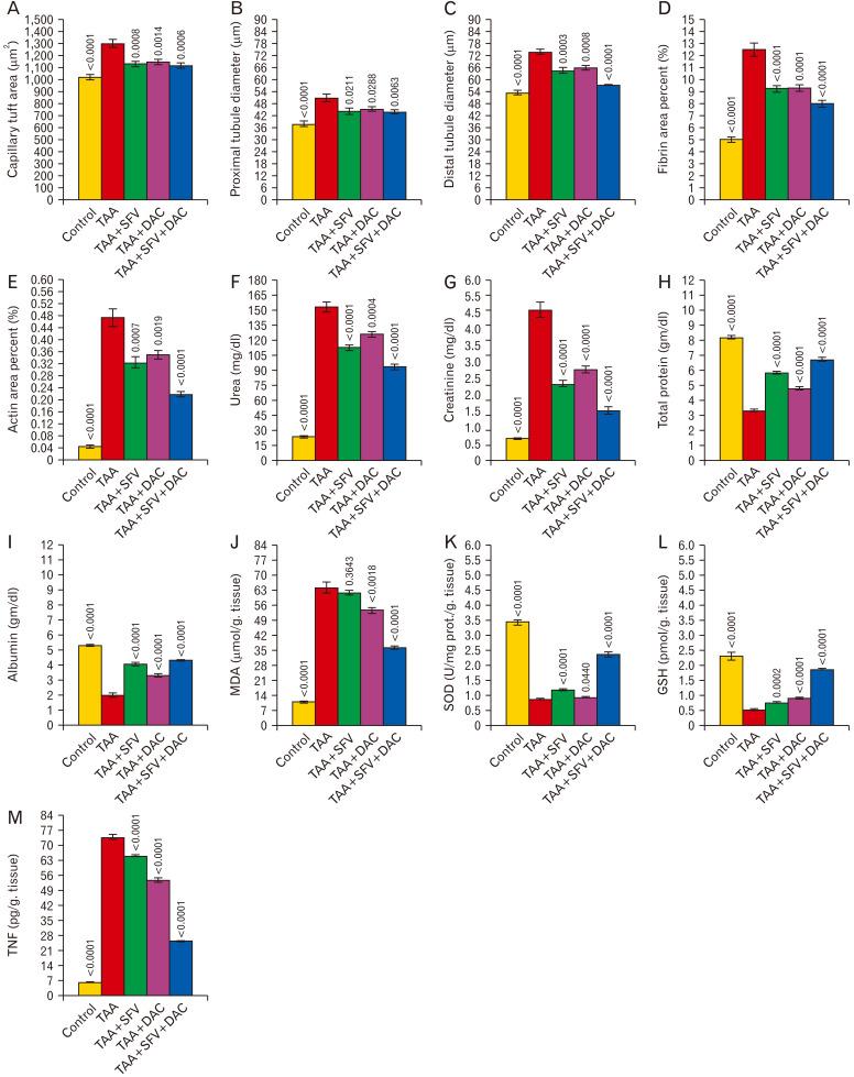
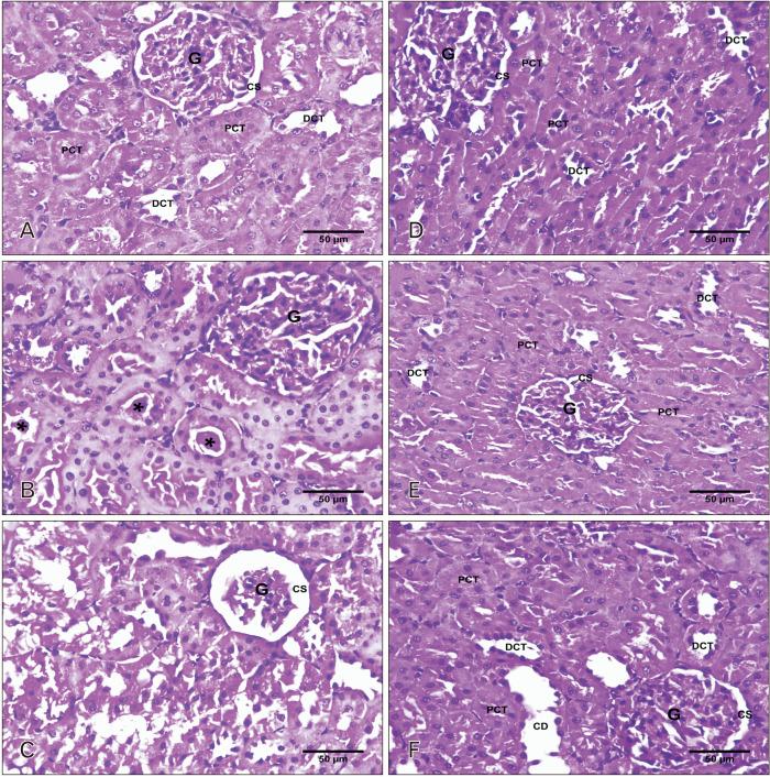
Thioacetamide (TAA) exposure and hepatitis C virus infection are usually associated with renal dysfunction. Sofosbuvir (SFV) and daclatasvir (DAC) drugs combination has great value in the treatment of hepatitis C. The study aimed to identify the nephrotoxic effects of TAA and to evaluate the ameliorative role of SFV and DAC in this condition. Forty-eight adult male albino rats were divided into eight groups and received saline (control), SFV, DAC, SFV+DAC, TAA, TAA+SFV, TAA+DAC and TAA+SFV+DAC for eight weeks. Kidney and blood samples were retrieved and processed for histological (Hematoxylin and Eosin and Masson's trichrome), immunohistochemical (α-smooth muscle actin), and biochemical analysis (urea, creatinine, total protein, albumin, malondialdehyde, reduced glutathione, superoxide dismutase, and tumor necrosis factor-α). Examination revealed marked destruction of renal tubules on exposure to TAA with either hypertrophy or atrophy of glomeruli, increase in collagen deposition, and wide expression of α-smooth muscle actin. Also, significant disturbance in kidney functions, oxidative stress markers, and tumor necrosis factor-α. Supplementation with either SFV or DAC produced mild improvement in the tissue and laboratory markers. Moreover, the combination of both drugs greatly refined the pathology induced by TAA at the cellular and laboratory levels. However, there are still significant differences when compared to the control. In conclusion, SFV and DAC combination partially but greatly ameliorated the renal damage induced by TAA which might be enhanced with further supplementations to give new hope for those with nephropathy associated with hepatitis.

摘要

硫代乙酰胺(TAA)暴露和丙型肝炎病毒感染通常与肾功能障碍有关。索磷布韦(SFV)和达卡他韦(DAC)联合用药在丙型肝炎治疗中具有重要价值。本研究旨在确定TAA的肾毒性作用,并评估SFV和DAC在此情况下的改善作用。将48只成年雄性白化大鼠分为八组,分别给予生理盐水(对照组)、SFV、DAC、SFV+DAC、TAA、TAA+SFV、TAA+DAC和TAA+SFV+DAC,持续八周。采集肾脏和血液样本,进行组织学(苏木精和伊红染色以及Masson三色染色)、免疫组织化学(α-平滑肌肌动蛋白)和生化分析(尿素、肌酐、总蛋白、白蛋白、丙二醛、还原型谷胱甘肽、超氧化物歧化酶和肿瘤坏死因子-α)。检查发现,暴露于TAA后肾小管有明显破坏,伴有肾小球肥大或萎缩,胶原沉积增加,α-平滑肌肌动蛋白广泛表达。此外,肾功能、氧化应激标志物和肿瘤坏死因子-α也有明显紊乱。单独补充SFV或DAC可使组织和实验室指标有轻度改善。此外,两种药物联合使用在细胞和实验室水平上大大改善了TAA所致的病理变化。然而,与对照组相比仍有显著差异。总之,SFV和DAC联合用药部分但大大改善了TAA所致的肾损伤,进一步补充可能会增强这种作用,为丙型肝炎相关肾病患者带来新希望。

https://cdn.ncbi.nlm.nih.gov/pmc/blobs/0d54/9989782/88f88978729b/acb-56-1-109-f4.jpg
https://cdn.ncbi.nlm.nih.gov/pmc/blobs/0d54/9989782/59b92167a094/acb-56-1-109-f1.jpg
https://cdn.ncbi.nlm.nih.gov/pmc/blobs/0d54/9989782/f66da884cb22/acb-56-1-109-f2.jpg
https://cdn.ncbi.nlm.nih.gov/pmc/blobs/0d54/9989782/c32e3754e812/acb-56-1-109-f3.jpg
https://cdn.ncbi.nlm.nih.gov/pmc/blobs/0d54/9989782/88f88978729b/acb-56-1-109-f4.jpg
https://cdn.ncbi.nlm.nih.gov/pmc/blobs/0d54/9989782/59b92167a094/acb-56-1-109-f1.jpg
https://cdn.ncbi.nlm.nih.gov/pmc/blobs/0d54/9989782/f66da884cb22/acb-56-1-109-f2.jpg
https://cdn.ncbi.nlm.nih.gov/pmc/blobs/0d54/9989782/c32e3754e812/acb-56-1-109-f3.jpg
https://cdn.ncbi.nlm.nih.gov/pmc/blobs/0d54/9989782/88f88978729b/acb-56-1-109-f4.jpg

相似文献

1
The ameliorating role of sofosbuvir and daclatasvir on thioacetamide-induced kidney injury in adult albino rats.索磷布韦和达卡他韦对硫代乙酰胺诱导的成年白化大鼠肾损伤的改善作用。
Anat Cell Biol. 2023 Mar 31;56(1):109-121. doi: 10.5115/acb.22.200. Epub 2022 Dec 22.
2
Hepatic effect of sofosbuvir and daclatasvir in thioacetamide-induced liver injury in rats.索磷布韦和达卡他韦对硫代乙酰胺诱导的大鼠肝损伤的肝脏影响
Clin Exp Hepatol. 2018 Sep;4(3):175-181. doi: 10.5114/ceh.2018.78121. Epub 2018 Sep 10.
3
Betaine Modulating MIF-Mediated Oxidative Stress, Inflammation and Fibrogenesis in Thioacetamide-Induced Nephrotoxicity.甜菜碱调节硫代乙酰胺诱导的肾毒性中的 MIF 介导的氧化应激、炎症和纤维化。
Curr Med Chem. 2022 Aug 15;29(31):5254-5267. doi: 10.2174/0929867329666220408102856.
4
Potential effects of the combination of nicotinamide, vitamin B2 and vitamin C on oxidative-mediated hepatotoxicity induced by thioacetamide.烟酰胺、维生素 B2 和维生素 C 联合对硫代乙酰胺诱导的氧化介导肝毒性的潜在影响。
Lipids Health Dis. 2018 Feb 14;17(1):29. doi: 10.1186/s12944-018-0674-z.
5
Protective effect of Moringa oleifera leaves ethanolic extract against thioacetamide-induced hepatotoxicity in rats via modulation of cellular antioxidant, apoptotic and inflammatory markers.辣木叶乙醇提取物通过调节细胞抗氧化、凋亡和炎症标志物对硫代乙酰胺诱导的大鼠肝毒性的保护作用。
Environ Sci Pollut Res Int. 2019 Nov;26(31):32488-32504. doi: 10.1007/s11356-019-06368-4. Epub 2019 Oct 15.
6
Ameliorative Effect of Camel's Milk and Oil against Thioacetamide-induced Hepatorenal Damage in Rats.骆驼奶和骆驼油对硫代乙酰胺诱导的大鼠肝肾损伤的改善作用
Pharmacogn Mag. 2018 Jan-Mar;14(53):27-35. doi: 10.4103/pm.pm_132_17. Epub 2018 Feb 20.
7
Ingestion of mannose ameliorates thioacetamide-induced intrahepatic oxidative stress, inflammation and fibrosis in rats.摄入甘露糖可改善硫代乙酰胺诱导的大鼠肝内氧化应激、炎症和纤维化。
Life Sci. 2021 Dec 1;286:120040. doi: 10.1016/j.lfs.2021.120040. Epub 2021 Oct 9.
8
Resveratrol Reverses Thioacetamide-Induced Renal Assault with respect to Oxidative Stress, Renal Function, DNA Damage, and Cytokine Release in Wistar Rats.白藜芦醇逆转硫代乙酰胺诱导的 Wistar 大鼠肾损伤,减轻氧化应激、改善肾功能、减轻 DNA 损伤和细胞因子释放。
Oxid Med Cell Longev. 2019 Sep 10;2019:1702959. doi: 10.1155/2019/1702959. eCollection 2019.
9
Estrogen Deficiency Potentiates Thioacetamide-Induced Hepatic Fibrosis in Sprague-Dawley Rats.雌激素缺乏增强硫代乙酰胺诱导的 Sprague-Dawley 大鼠肝纤维化。
Int J Mol Sci. 2019 Jul 29;20(15):3709. doi: 10.3390/ijms20153709.
10
Preventive effects of Ophiocordyceps sinensis mycelium on the liver fibrosis induced by thioacetamide.中华虫草菌菌丝体对硫代乙酰胺诱导的肝纤维化的预防作用。
Environ Toxicol. 2017 Jun;32(6):1792-1800. doi: 10.1002/tox.22402. Epub 2017 Feb 9.

引用本文的文献

1
Silymarin and MSC-exosomes ameliorate thioacetamide-evoked renal fibrosis by inhibiting TGF-β/SMAD pathway in rats.水飞蓟宾和 MSC-exosomes 通过抑制 TGF-β/SMAD 通路减轻硫代乙酰胺诱导的大鼠肾纤维化。
Mol Biol Rep. 2024 Apr 18;51(1):529. doi: 10.1007/s11033-024-09343-6.
2
Effect of Sofosbuvir on rats' ovaries and the possible protective role of vitamin E: biochemical and immunohistochemical study.索磷布韦对大鼠卵巢的影响及维生素E可能的保护作用:生化与免疫组化研究
Anat Cell Biol. 2023 Dec 31;56(4):526-537. doi: 10.5115/acb.23.079. Epub 2023 Sep 1.
3
rhizoma ameliorates thioacetamide-induced liver injury in dogs.

本文引用的文献

1
Sofosbuvir with daclatasvir and the outcomes of patients with COVID-19: a systematic review and meta-analysis with GRADE assessment.索非布韦联合达拉他韦与 COVID-19 患者结局:一项系统评价和荟萃分析,并进行 GRADE 评估。
Postgrad Med J. 2022 Jul 1;98(1161):509-514. doi: 10.1136/postgradmedj-2021-140287.
2
Evaluation of the Effect of Wheat Germ Oil and Olmutinib on the Thioacetamide-Induced Liver and Kidney Toxicity in Mice.小麦胚芽油和奥莫替尼对硫代乙酰胺诱导的小鼠肝肾毒性影响的评估
Life (Basel). 2022 Jun 15;12(6):900. doi: 10.3390/life12060900.
3
Nephrotoxicity evaluation and proteomic analysis in kidneys of rats exposed to thioacetamide.
根茎可改善硫代乙酰胺诱导的犬肝损伤。
J Adv Vet Anim Res. 2023 Jun 30;10(2):144-150. doi: 10.5455/javar.2023.j663. eCollection 2023 Jun.
硫代乙酰胺暴露的大鼠肾脏的肾毒性评价和蛋白质组学分析。
Sci Rep. 2022 Apr 27;12(1):6837. doi: 10.1038/s41598-022-11011-3.
4
The Ameliorate Effects of Nerolidol on Thioacetamide-induced Oxidative Damage in Heart and Kidney Tissue.橙花叔醇对硫代乙酰胺诱导的心脏和肾脏组织氧化损伤的改善作用。
Turk J Pharm Sci. 2022 Feb 28;19(1):1-8. doi: 10.4274/tjps.galenos.2021.30806.
5
An Study into the Effects of Schisandrin B in the Liver, Spleen, Kidney, and Brain of Acute Thioacetamide-intoxicated Mice.五味子乙素对急性硫代乙酰胺中毒小鼠肝脏、脾脏、肾脏及脑影响的研究
Iran J Pharm Res. 2021 Fall;20(4):300-314. doi: 10.22037/ijpr.2021.115154.15225.
6
Protective effect of vitamin C against ivermectin induced nephrotoxicity in different age groups of male wistar rats: bio-histopathological study.维生素C对伊维菌素诱导的不同年龄组雄性Wistar大鼠肾毒性的保护作用:生物组织病理学研究
Anat Cell Biol. 2021 Dec 31;54(4):501-517. doi: 10.5115/acb.21.124.
7
Strategy, Progress, and Challenges of Drug Repurposing for Efficient Antiviral Discovery.用于高效抗病毒药物发现的药物重新利用策略、进展与挑战
Front Pharmacol. 2021 May 4;12:660710. doi: 10.3389/fphar.2021.660710. eCollection 2021.
8
Direct acting anti-hepatitis C combinations as potential COVID-19 protease inhibitors.直接作用的抗丙型肝炎联合用药作为潜在的COVID-19蛋白酶抑制剂
Virusdisease. 2021 Jun;32(2):279-285. doi: 10.1007/s13337-021-00691-6. Epub 2021 Apr 29.
9
Angiotensin-I Converting Enzyme Inhibition and Antioxidant Activity of Papain-Hydrolyzed Camel Whey Protein and Its Hepato-Renal Protective Effects in Thioacetamide-Induced Toxicity.木瓜蛋白酶水解骆驼乳清蛋白的血管紧张素转换酶抑制和抗氧化活性及其对硫代乙酰胺诱导毒性的肝肾保护作用
Foods. 2021 Feb 20;10(2):468. doi: 10.3390/foods10020468.
10
Sofosbuvir/daclatasvir regimens for the treatment of COVID-19: an individual patient data meta-analysis.索非布韦/达拉他韦方案治疗 COVID-19:一项个体患者数据荟萃分析。
J Antimicrob Chemother. 2021 Jan 19;76(2):286-291. doi: 10.1093/jac/dkaa418.