Suppr超能文献

槲皮素与氟苯尼考联合使用对感染急性肝胰腺坏死综合征的保护作用

Protective Effects of Combined Utilization of Quercetin and Florfenicol on Acute Hepatopancreatic Necrosis Syndrome Infected .

作者信息

Zhai Qianqian, Chang Zhiqiang, Li Jitao, Li Jian

机构信息

Key Laboratory for Sustainable Utilization of Marine Fisheries Resources, Ministry of Agriculture and Rural Affairs, Yellow Sea Fisheries Research Institute, Chinese Academy of Fishery Sciences, Qingdao 266071, China.

Function Laboratory for Marine Fisheries Science and Food Production Processes, Qingdao National Laboratory for Marine Science and Technology, Qingdao 266237, China.

出版信息

Antibiotics (Basel). 2022 Dec 9;11(12):1784. doi: 10.3390/antibiotics11121784.

Abstract

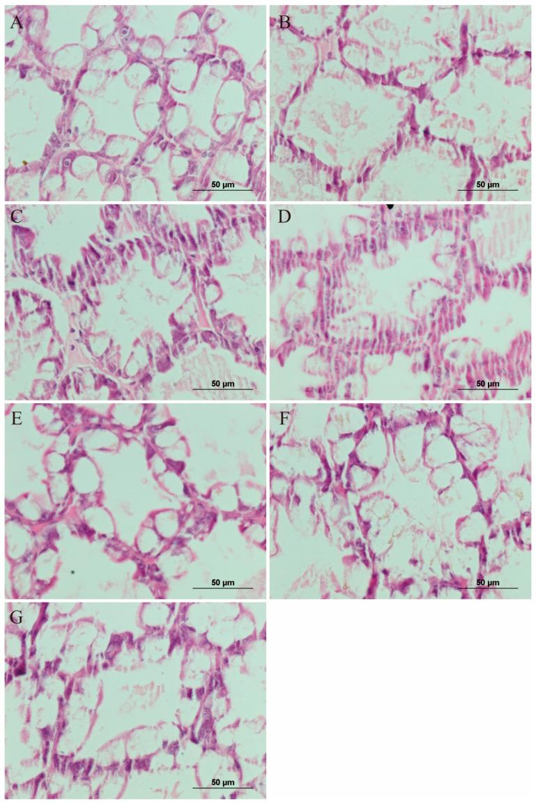
This study aimed to determine the immunity, survival rate, and disease resistance of Litopenaeus vannamei treated using quercetin and florfenicol alone or in combination, after infection with acute hepatopancreatic necrosis syndrome caused by Vibrio parahaemolyticus (VPAHPND). After infection with VPAHPND, different types of feed were given to the shrimp for 5 days, including a control diet (drug-free), florfenicol only diet (15 mg/kg), quercetin only diet (400 mg/kg), a low-dose florfenicol/quercetin combined diet (200 mg/kg quercetin + 7.0 mg/kg florfenicol), a moderate-dose florfenicol/quercetin combined diet (400 mg/kg quercetin + 15 mg/kg florfenicol), and a high-dose florfenicol/quercetin combined diet (800 mg/kg quercetin + 30 mg/kg florfenicol). The cumulative mortality of shrimp was significantly reduced in the drug combination groups compared with either drug used alone (p < 0.05). The density of Vibrio was significantly lower and the immune parameters were significantly increased in the drug combination groups compared with either drug used alone (p < 0.05). Moreover, in the drug combination groups, the hepatopancreas tubules showed better integrity and structure compared with those when either drug was used alone. Therefore, compared with single drug treatment, the florfenicol and quercetin combination enhanced disease resistance, survival, and immune activity of VPAHPND-infected shrimp. When the combination treatment is used, the dosage of florfenicol can be reduced and a better therapeutic effect is obtained.

摘要

本研究旨在确定凡纳滨对虾在感染副溶血性弧菌(VPAHPND)引起的急性肝胰腺坏死综合征后,单独或联合使用槲皮素和氟苯尼考处理后的免疫力、存活率和抗病能力。在感染VPAHPND后,给对虾投喂不同类型的饲料,持续5天,包括对照饲料(无药物)、仅含氟苯尼考的饲料(15毫克/千克)、仅含槲皮素的饲料(400毫克/千克)、低剂量氟苯尼考/槲皮素联合饲料(200毫克/千克槲皮素 + 7.0毫克/千克氟苯尼考)、中剂量氟苯尼考/槲皮素联合饲料(400毫克/千克槲皮素 + 15毫克/千克氟苯尼考)和高剂量氟苯尼考/槲皮素联合饲料(800毫克/千克槲皮素 + 30毫克/千克氟苯尼考)。与单独使用任何一种药物相比,联合用药组对虾的累计死亡率显著降低(p < 0.05)。与单独使用任何一种药物相比,联合用药组弧菌密度显著降低,免疫参数显著升高(p < 0.05)。此外,与单独使用任何一种药物时相比,联合用药组肝胰腺小管的完整性和结构更好。因此,与单一药物治疗相比,氟苯尼考和槲皮素联合使用增强了感染VPAHPND对虾的抗病能力、存活率和免疫活性。当使用联合治疗时,可以降低氟苯尼考的剂量并获得更好的治疗效果。

https://cdn.ncbi.nlm.nih.gov/pmc/blobs/3f8e/9774288/2b89c2d5947c/antibiotics-11-01784-g001.jpg

文献AI研究员

20分钟写一篇综述,助力文献阅读效率提升50倍。

立即体验

用中文搜PubMed

大模型驱动的PubMed中文搜索引擎

马上搜索

文档翻译

学术文献翻译模型,支持多种主流文档格式。

立即体验