Sparks Nicole R L, Walker Lauren M, Sera Steven R, Madrid Joseph V, Hanna Michael, Dominguez Edward C, Zur Nieden Nicole I
Department of Molecular, Cell & Systems Biology and Stem Cell Center, College of Natural and Agricultural Sciences, University of California Riverside, Riverside, CA 92521, USA.
Environmental Toxicology Graduate Program, University of California Riverside, Riverside, CA 92521, USA.
Antioxidants (Basel). 2022 Dec 15;11(12):2474. doi: 10.3390/antiox11122474.
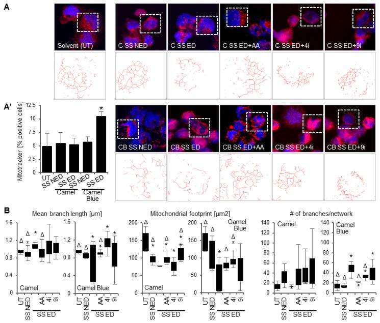
Epidemiological studies suggest cigarette smoking as a probable environmental factor for a variety of congenital anomalies, including low bone mass, increased fracture risk and poor skeletal health. Human and animal in vitro models have confirmed hypomineralization of differentiating cell lines with sidestream smoke being more harmful to developing cells than mainstream smoke. Furthermore, first reports are emerging to suggest a differential impact of conventional versus harm-reduction tobacco products on bone tissue as it develops in the embryo or in vitro. To gather first insight into the molecular mechanism of such differences, we assessed the effect of sidestream smoke solutions from Camel (conventional) and Camel Blue (harm-reduction) cigarettes using a human embryonic stem cell osteogenic differentiation model. Sidestream smoke from the conventional Camel cigarettes concentration-dependently inhibited in vitro calcification triggered by high levels of mitochondrially generated oxidative stress, loss of mitochondrial membrane potential, and reduced ATP production. Camel sidestream smoke also induced DNA damage and caspase 9-dependent apoptosis. Camel Blue-exposed cells, in contrast, invoked only intermediate levels of reactive oxygen species insufficient to activate caspase 3/7. Despite the absence of apoptotic gene activation, damage to the mitochondrial phenotype was still noted concomitant with activation of an anti-inflammatory gene signature and inhibited mineralization. Collectively, the presented findings in differentiating pluripotent stem cells imply that embryos may exhibit low bone mineral density if exposed to environmental smoke during development.
流行病学研究表明,吸烟可能是多种先天性异常的环境因素,包括低骨量、骨折风险增加和骨骼健康不佳。人和动物的体外模型已证实,侧流烟雾对分化细胞系的矿化不足,且侧流烟雾对发育中的细胞比主流烟雾更有害。此外,初步报告显示,传统烟草产品与减害烟草产品对胚胎或体外发育中的骨组织有不同影响。为了初步了解这些差异的分子机制,我们使用人类胚胎干细胞成骨分化模型评估了骆驼牌(传统型)和骆驼蓝牌(减害型)香烟的侧流烟雾溶液的影响。传统骆驼牌香烟的侧流烟雾浓度依赖性地抑制了由高水平线粒体产生的氧化应激、线粒体膜电位丧失和ATP生成减少所引发的体外钙化。骆驼牌侧流烟雾还诱导了DNA损伤和半胱天冬酶9依赖性凋亡。相比之下,暴露于骆驼蓝牌香烟的细胞仅产生中等水平的活性氧,不足以激活半胱天冬酶3/7。尽管没有凋亡基因激活,但仍观察到线粒体表型受损,同时伴有抗炎基因特征的激活和矿化抑制。总的来说,在多能干细胞分化过程中的这些发现表明,胚胎在发育过程中如果暴露于环境烟雾中,可能会表现出低骨矿物质密度。