Suppr超能文献

肝核糖体蛋白 S6(Rps6)不足导致胆管发育失败和肝细胞活力丧失;这是一种类核糖体病表型,部分依赖于 p53。

Hepatic ribosomal protein S6 (Rps6) insufficiency results in failed bile duct development and loss of hepatocyte viability; a ribosomopathy-like phenotype that is partially p53-dependent.

机构信息

Department of Molecular Genetics, University of Texas Southwestern Medical Center, Dallas, Texas, United States of America.

Department of Biochemistry, University of Texas Southwestern Medical Center, Dallas, Texas, United States of America.

出版信息

PLoS Genet. 2023 Jan 19;19(1):e1010595. doi: 10.1371/journal.pgen.1010595. eCollection 2023 Jan.

Abstract

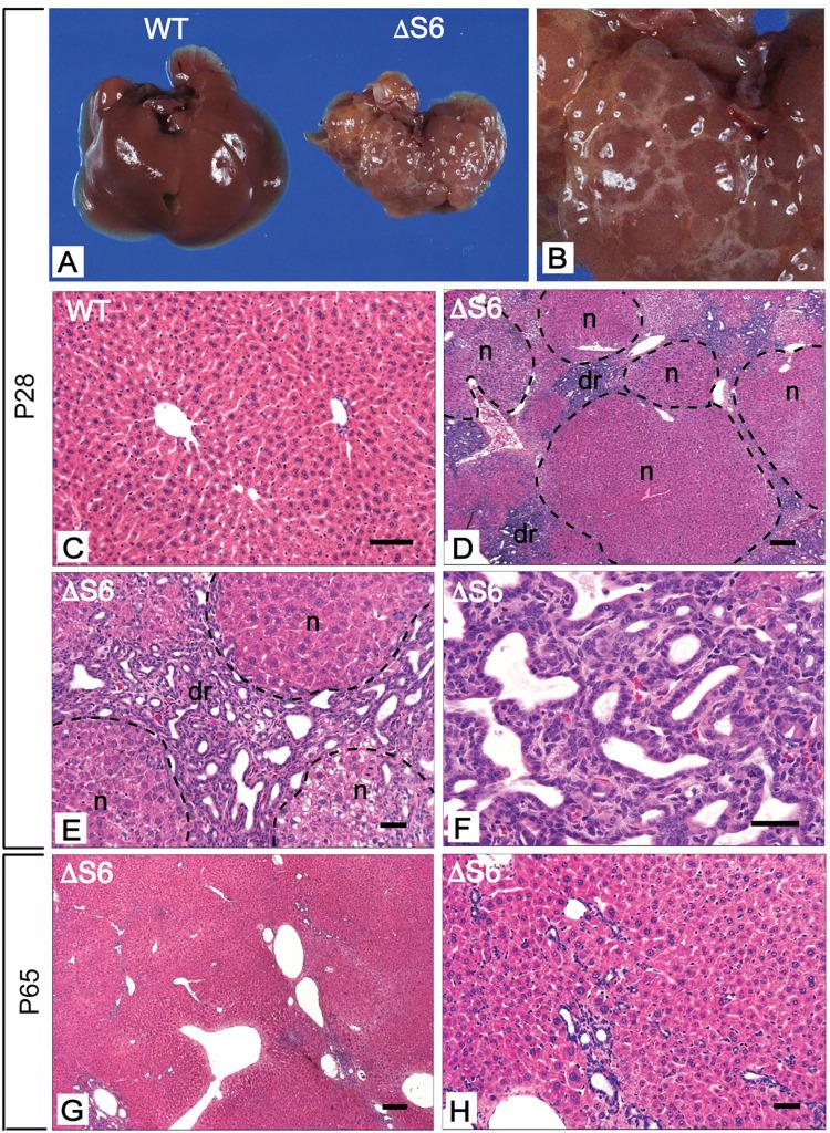
Defective ribosome biogenesis (RiBi) underlies a group of clinically diverse human diseases collectively known as the ribosomopathies, core manifestations of which include cytopenias and developmental abnormalities that are believed to stem primarily from an inability to synthesize adequate numbers of ribosomes and concomitant activation of p53. The importance of a correctly functioning RiBi machinery for maintaining tissue homeostasis is illustrated by the observation that, despite having a paucity of certain cell types in early life, ribosomopathy patients have an increased risk for developing cancer later in life. This suggests that hypoproliferative states trigger adaptive responses that can, over time, become maladaptive and inadvertently drive unchecked hyperproliferation and predispose to cancer. Here we describe an experimentally induced ribosomopathy in the mouse and show that a normal level of hepatic ribosomal protein S6 (Rps6) is required for proper bile duct development and preservation of hepatocyte viability and that its insufficiency later promotes overgrowth and predisposes to liver cancer which is accelerated in the absence of the tumor-suppressor PTEN. We also show that the overexpression of c-Myc in the liver ameliorates, while expression of a mutant hyperstable form of p53 partially recapitulates specific aspects of the hepatopathies induced by Rps6 deletion. Surprisingly, co-deletion of p53 in the Rps6-deficient background fails to restore biliary development or significantly improve hepatic function. This study not only reveals a previously unappreciated dependence of the developing liver on adequate levels of Rps6 and exquisitely controlled p53 signaling, but suggests that the increased cancer risk in ribosomopathy patients may, in part, stem from an inability to preserve normal tissue homeostasis in the face of chronic injury and regeneration.

摘要

核糖体生物发生缺陷(RiBi)是一组具有临床多样性的人类疾病的基础,这些疾病统称为核糖体病,其核心表现包括细胞减少症和发育异常,这些异常被认为主要源于无法合成足够数量的核糖体以及随之而来的 p53 激活。RiBi 机制正确发挥作用对于维持组织内稳态的重要性,通过观察到的现象得到了说明,尽管在早期生命中某些细胞类型很少,但核糖体病患者在以后的生活中患癌症的风险增加。这表明,增生不足的状态会引发适应性反应,随着时间的推移,这些反应可能会变得不适应,并无意中驱动不受控制的过度增殖,从而导致癌症易感性。在这里,我们描述了在小鼠中诱导的核糖体病,并表明肝脏核糖体蛋白 S6(Rps6)的正常水平对于胆管的正常发育和维持肝细胞活力是必需的,其不足会导致过度生长,并倾向于发生肝癌,而在缺乏肿瘤抑制因子 PTEN 的情况下会加速肝癌的发生。我们还表明,在肝脏中过度表达 c-Myc 可以改善,而表达突变的超稳定形式的 p53 则部分再现了由 Rps6 缺失引起的肝病变的特定方面。令人惊讶的是,在 Rps6 缺陷背景中同时删除 p53 并不能恢复胆管发育或显著改善肝功能。这项研究不仅揭示了发育中的肝脏对适当水平的 Rps6 和精确控制的 p53 信号的依赖性,以前尚未被认识到,而且还表明,核糖体病患者癌症风险增加的部分原因可能是由于在面对慢性损伤和再生时无法维持正常的组织内稳态。

https://cdn.ncbi.nlm.nih.gov/pmc/blobs/dbdc/9888725/3022b09c458d/pgen.1010595.g001.jpg

文献检索

告别复杂PubMed语法,用中文像聊天一样搜索,搜遍4000万医学文献。AI智能推荐,让科研检索更轻松。

立即免费搜索

文件翻译

保留排版,准确专业,支持PDF/Word/PPT等文件格式,支持 12+语言互译。

免费翻译文档

深度研究

AI帮你快速写综述,25分钟生成高质量综述,智能提取关键信息,辅助科研写作。

立即免费体验