Suppr超能文献

代谢组学在尿石症中的应用:琥珀酸的发现与应用。

Application of metabolomics in urolithiasis: the discovery and usage of succinate.

机构信息

Laboratory of Stem Cell and Tissue Engineering, Orthopedic Research Institute, Department of Orthopedics, State Key Laboratory of Biotherapy, West China Hospital, Sichuan University, Chengdu, Sichuan, 610041, China.

Department of Urology, Institute of Urology, West China Hospital, Sichuan University, Chengdu, Sichuan, 610041, China.

出版信息

Signal Transduct Target Ther. 2023 Jan 21;8(1):41. doi: 10.1038/s41392-023-01311-z.

Abstract

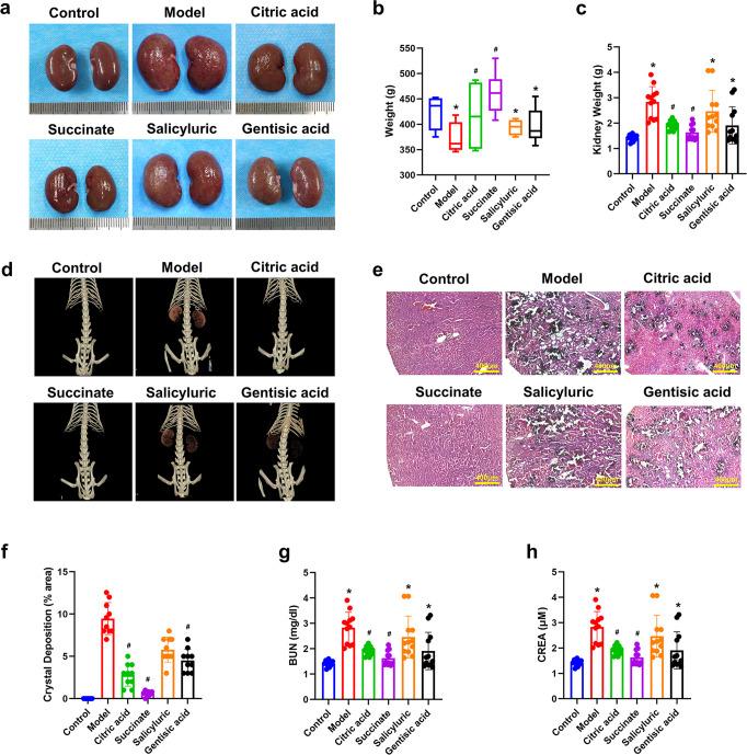
Urinary stone is conceptualized as a chronic metabolic disorder punctuated by symptomatic stone events. It has been shown that the occurrence of calcium oxalate monohydrate (COM) during stone formation is regulated by crystal growth modifiers. Although crystallization inhibitors have been recognized as a therapeutic modality for decades, limited progress has been made in the discovery of effective modifiers to intervene with stone disease. In this study, we have used metabolomics technologies, a powerful approach to identify biomarkers by screening the urine components of the dynamic progression in a bladder stone model. By in-depth mining and analysis of metabolomics data, we have screened five differential metabolites. Through density functional theory studies and bulk crystallization, we found that three of them (salicyluric, gentisic acid and succinate) could effectively inhibit nucleation in vitro. We thereby assessed the impact of the inhibitors with an EG-induced rat model for kidney stones. Notably, succinate, a key player in the tricarboxylic acid cycle, could decrease kidney calcium deposition and injury in the model. Transcriptomic analysis further showed that the protective effect of succinate was mainly through anti-inflammation, inhibition of cell adhesion and osteogenic differentiation. These findings indicated that succinate may provide a new therapeutic option for urinary stones.

摘要

尿路结石被认为是一种慢性代谢紊乱,以有症状的结石事件为特征。已经表明,在结石形成过程中草酸钙一水合物(COM)的出现受晶体生长调节剂调节。尽管结晶抑制剂已被认为是治疗结石病的一种方法已有数十年,但在发现有效调节剂以干预结石疾病方面进展有限。在这项研究中,我们使用代谢组学技术,通过筛选膀胱结石模型中动态进展的尿液成分,这是一种识别生物标志物的强大方法。通过对代谢组学数据的深入挖掘和分析,我们筛选出了五种差异代谢物。通过密度泛函理论研究和体相结晶,我们发现其中三种(水杨酸尿酸、龙胆酸和琥珀酸)可以在体外有效抑制成核。因此,我们用 EG 诱导的大鼠肾结石模型评估了抑制剂的影响。值得注意的是,琥珀酸作为三羧酸循环的关键物质,可以减少模型中的肾脏钙沉积和损伤。转录组分析进一步表明,琥珀酸的保护作用主要是通过抗炎、抑制细胞黏附和成骨分化。这些发现表明琥珀酸可能为尿路结石提供一种新的治疗选择。

https://cdn.ncbi.nlm.nih.gov/pmc/blobs/805c/9867757/50cec89c3b35/41392_2023_1311_Fig1_HTML.jpg

文献AI研究员

20分钟写一篇综述,助力文献阅读效率提升50倍。

立即体验

用中文搜PubMed

大模型驱动的PubMed中文搜索引擎

马上搜索

文档翻译

学术文献翻译模型,支持多种主流文档格式。

立即体验