• 文献检索
  • 文档翻译
  • 深度研究
  • 学术资讯
  • Suppr Zotero 插件Zotero 插件
  • 邀请有礼
  • 套餐&价格
  • 历史记录
应用&插件
Suppr Zotero 插件Zotero 插件浏览器插件Mac 客户端Windows 客户端微信小程序
定价
高级版会员购买积分包购买API积分包
服务
文献检索文档翻译深度研究API 文档MCP 服务
关于我们
关于 Suppr公司介绍联系我们用户协议隐私条款
关注我们

Suppr 超能文献

核心技术专利:CN118964589B侵权必究
粤ICP备2023148730 号-1Suppr @ 2026

文献检索

告别复杂PubMed语法,用中文像聊天一样搜索,搜遍4000万医学文献。AI智能推荐,让科研检索更轻松。

立即免费搜索

文件翻译

保留排版,准确专业,支持PDF/Word/PPT等文件格式,支持 12+语言互译。

免费翻译文档

深度研究

AI帮你快速写综述,25分钟生成高质量综述,智能提取关键信息,辅助科研写作。

立即免费体验

L1CAM 通过 miR-143-3p 诱导的己糖激酶 2 表达促进胶质瘤中的血管生成拟态形成。

L1CAM promotes vasculogenic mimicry formation by miR-143-3p-induced expression of hexokinase 2 in glioma.

机构信息

Guangdong Provincial Key Laboratory of Infectious Disease and Molecular Immunopathology, Shantou University Medical College, China.

Department of Hepatobiliary Surgery, The First Affiliated Hospital of Guangxi Medical University, Nanning, China.

出版信息

Mol Oncol. 2023 Apr;17(4):664-685. doi: 10.1002/1878-0261.13384. Epub 2023 Feb 8.

DOI:10.1002/1878-0261.13384
PMID:36708044
原文链接:https://pmc.ncbi.nlm.nih.gov/articles/PMC10061292/
Abstract

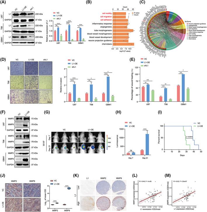
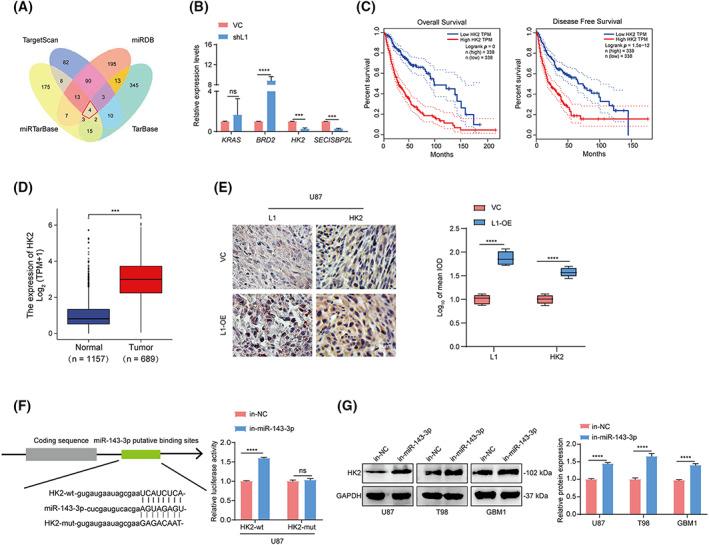
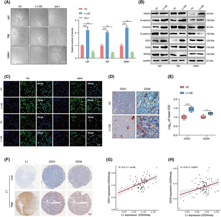
In recent decades, antiangiogenic therapy, which blocks the supply of oxygen and nutrition to tumor cells, has become a promising clinical strategy for the treatment of patients with tumors. However, recent studies revealed that vasculogenic mimicry (VM), which is the process by which vascular morphological structures are formed by highly invasive tumor cells, has been considered a potential factor for the failure of antiangiogenic therapy in patients with tumors. Thus, inhibition of VM formation might be a potential target for improving the outcome of antiangiogenic strategies. However, the mechanism underlying VM formation is still incompletely elucidated. Herein, we report that L1CAM might be a critical regulator of VM formation in glioma, and might be associated with the resistance of glioma to antiangiogenic therapy. We found that the tumor-invasion and tube-formation capabilities of L1CAM-overexpressing cells were significantly enhanced in vitro and in vivo. In addition, the results indicated that miR-143-3p, which might directly target the 3'UTR of the hexokinase 2 (HK2) gene to regulate its protein expression, was subsequently involved in L1CAM-mediated VM formation by glioma cells. Further study revealed that the regulation of MMP2, MMP9, and VEGFA expression was involved in this process. Moreover, we identified that activation of the downstream PI3K/AKT signaling pathway of the L1CAM/HK2 cascade is critical for VM formation by glioma cells. Furthermore, we found that the combined treatment of anti-L1CAM neutralizing monoclonal antibody and bevacizumab increases efficacy beyond that of bevacizumab alone, and suppresses glioma growth in vivo, indicating that the inhibition of L1CAM-mediated VM formation might efficiently improve the effect of antiangiogenic treatment for glioma patients. Together, our findings demonstrated a critical role of L1CAM in regulating VM formation in glioma, and that L1CAM might be a potential target for ameliorating tumor resistance to antiangiogenic therapy in glioma patients.

摘要

在最近几十年中,抗血管生成治疗(通过阻断肿瘤细胞的氧气和营养供应来治疗肿瘤)已成为治疗肿瘤患者的一种有前途的临床策略。然而,最近的研究表明,血管生成拟态(VM),即高度侵袭性肿瘤细胞形成血管形态结构的过程,已被认为是肿瘤患者抗血管生成治疗失败的潜在因素。因此,抑制 VM 形成可能是改善抗血管生成策略效果的潜在目标。然而,VM 形成的机制仍不完全清楚。在这里,我们报告 L1CAM 可能是胶质瘤中 VM 形成的关键调节因子,并且可能与胶质瘤对抗血管生成治疗的耐药性有关。我们发现,L1CAM 过表达细胞的肿瘤侵袭和管形成能力在体外和体内均显著增强。此外,结果表明,miR-143-3p 可能通过直接靶向己糖激酶 2(HK2)基因的 3'UTR 来调节其蛋白表达,从而参与 L1CAM 介导的胶质瘤细胞 VM 形成。进一步的研究表明,该过程涉及 MMP2、MMP9 和 VEGFA 表达的调节。此外,我们确定了 L1CAM/HK2 级联的下游 PI3K/AKT 信号通路的激活对于胶质瘤细胞的 VM 形成至关重要。此外,我们发现抗 L1CAM 中和单克隆抗体与贝伐单抗联合治疗的效果优于贝伐单抗单独治疗,并且抑制了体内胶质瘤的生长,表明抑制 L1CAM 介导的 VM 形成可能有效地改善抗血管生成治疗对胶质瘤患者的效果。总之,我们的研究结果表明 L1CAM 在调节胶质瘤中 VM 形成中起关键作用,并且 L1CAM 可能是改善胶质瘤患者对抗血管生成治疗耐药性的潜在靶点。

https://cdn.ncbi.nlm.nih.gov/pmc/blobs/dd4a/10061292/30806d9684dd/MOL2-17-664-g003.jpg
https://cdn.ncbi.nlm.nih.gov/pmc/blobs/dd4a/10061292/9d9b164c9d8e/MOL2-17-664-g009.jpg
https://cdn.ncbi.nlm.nih.gov/pmc/blobs/dd4a/10061292/8f3515df43c4/MOL2-17-664-g007.jpg
https://cdn.ncbi.nlm.nih.gov/pmc/blobs/dd4a/10061292/2e848748c20f/MOL2-17-664-g006.jpg
https://cdn.ncbi.nlm.nih.gov/pmc/blobs/dd4a/10061292/f65ac3948347/MOL2-17-664-g005.jpg
https://cdn.ncbi.nlm.nih.gov/pmc/blobs/dd4a/10061292/1623fa82f4d7/MOL2-17-664-g002.jpg
https://cdn.ncbi.nlm.nih.gov/pmc/blobs/dd4a/10061292/d2a1b79e7ea3/MOL2-17-664-g008.jpg
https://cdn.ncbi.nlm.nih.gov/pmc/blobs/dd4a/10061292/3258646e8f95/MOL2-17-664-g001.jpg
https://cdn.ncbi.nlm.nih.gov/pmc/blobs/dd4a/10061292/30806d9684dd/MOL2-17-664-g003.jpg
https://cdn.ncbi.nlm.nih.gov/pmc/blobs/dd4a/10061292/9d9b164c9d8e/MOL2-17-664-g009.jpg
https://cdn.ncbi.nlm.nih.gov/pmc/blobs/dd4a/10061292/8f3515df43c4/MOL2-17-664-g007.jpg
https://cdn.ncbi.nlm.nih.gov/pmc/blobs/dd4a/10061292/2e848748c20f/MOL2-17-664-g006.jpg
https://cdn.ncbi.nlm.nih.gov/pmc/blobs/dd4a/10061292/f65ac3948347/MOL2-17-664-g005.jpg
https://cdn.ncbi.nlm.nih.gov/pmc/blobs/dd4a/10061292/1623fa82f4d7/MOL2-17-664-g002.jpg
https://cdn.ncbi.nlm.nih.gov/pmc/blobs/dd4a/10061292/d2a1b79e7ea3/MOL2-17-664-g008.jpg
https://cdn.ncbi.nlm.nih.gov/pmc/blobs/dd4a/10061292/3258646e8f95/MOL2-17-664-g001.jpg
https://cdn.ncbi.nlm.nih.gov/pmc/blobs/dd4a/10061292/30806d9684dd/MOL2-17-664-g003.jpg

相似文献

1
L1CAM promotes vasculogenic mimicry formation by miR-143-3p-induced expression of hexokinase 2 in glioma.L1CAM 通过 miR-143-3p 诱导的己糖激酶 2 表达促进胶质瘤中的血管生成拟态形成。
Mol Oncol. 2023 Apr;17(4):664-685. doi: 10.1002/1878-0261.13384. Epub 2023 Feb 8.
2
Autophagy-induced KDR/VEGFR-2 activation promotes the formation of vasculogenic mimicry by glioma stem cells.自噬诱导的 KDR/VEGFR-2 激活促进了脑肿瘤干细胞形成血管拟态。
Autophagy. 2017 Sep 2;13(9):1528-1542. doi: 10.1080/15548627.2017.1336277. Epub 2017 Aug 16.
3
MicroRNA-29a-3p delivery via exosomes derived from engineered human mesenchymal stem cells exerts tumour suppressive effects by inhibiting migration and vasculogenic mimicry in glioma.外泌体递送微小 RNA-29a-3p 可通过抑制脑胶质瘤的迁移和血管生成拟态发挥肿瘤抑制作用。
Aging (Albany NY). 2021 Feb 1;13(4):5055-5068. doi: 10.18632/aging.202424.
4
HNRNPD interacts with ZHX2 regulating the vasculogenic mimicry formation of glioma cells via linc00707/miR-651-3p/SP2 axis.HNRNPD 通过 linc00707/miR-651-3p/SP2 轴与 ZHX2 相互作用,调节胶质瘤细胞的血管生成拟态形成。
Cell Death Dis. 2021 Feb 4;12(2):153. doi: 10.1038/s41419-021-03432-1.
5
MicroRNA-584-3p reduces the vasculogenic mimicry of human glioma cells by regulating hypoxia-induced ROCK1 dependent stress fiber formation.微小 RNA-584-3p 通过调控低氧诱导的 ROCK1 依赖性应力纤维形成减少人胶质瘤细胞的血管生成拟态。
Neoplasma. 2017;64(1):13-21. doi: 10.4149/neo_2017_102.
6
SUMOylation of IGF2BP2 promotes vasculogenic mimicry of glioma via regulating OIP5-AS1/miR-495-3p axis.SUMOylation 修饰 IGF2BP2 通过调控 OIP5-AS1/miR-495-3p 轴促进胶质瘤血管生成拟态。
Int J Biol Sci. 2021 Jul 13;17(11):2912-2930. doi: 10.7150/ijbs.58035. eCollection 2021.
7
Silencing the autophagy-specific gene Beclin-1 contributes to attenuated hypoxia-induced vasculogenic mimicry formation in glioma.沉默自噬特异性基因 Beclin-1 可减轻缺氧诱导的胶质瘤血管生成拟态形成。
Cancer Biomark. 2018 Feb 14;21(3):565-574. doi: 10.3233/CBM-170444.
8
Ginsenoside Rg3 suppresses vasculogenic mimicry by impairing DVL3-maintained stemness via PAAD cell-derived exosomal miR-204 in pancreatic adenocarcinoma.人参皂苷Rg3通过胰腺腺癌中PAAD细胞衍生的外泌体miR-204损害DVL3维持的干性来抑制血管生成拟态。
Phytomedicine. 2024 Apr;126:155402. doi: 10.1016/j.phymed.2024.155402. Epub 2024 Feb 1.
9
Histone deacetylase 3 expression correlates with vasculogenic mimicry through the phosphoinositide3-kinase / ERK-MMP-laminin5γ2 signaling pathway.组蛋白去乙酰化酶3的表达通过磷酸肌醇3激酶/ERK-MMP-层粘连蛋白5γ2信号通路与血管生成拟态相关。
Cancer Sci. 2015 Jul;106(7):857-66. doi: 10.1111/cas.12684. Epub 2015 Jun 18.
10
Tenascin-cmediated vasculogenic mimicry formation via regulation of MMP2/MMP9 in glioma.层粘连蛋白 C 通过调节 MMP2/MMP9 在胶质瘤中的血管生成拟态形成。
Cell Death Dis. 2019 Nov 21;10(12):879. doi: 10.1038/s41419-019-2102-3.

引用本文的文献

1
The Roles of RNA-Binding Proteins in Vasculogenic Mimicry Regulation in Glioblastoma.RNA结合蛋白在胶质母细胞瘤血管生成拟态调节中的作用
Int J Mol Sci. 2025 Aug 18;26(16):7976. doi: 10.3390/ijms26167976.
2
The Interaction Between Vasculogenic Mimicry and the Immune System: Mechanistic Insights and Dual Exploration in Cancer Therapy.血管生成拟态与免疫系统之间的相互作用:癌症治疗中的机制洞察与双重探索
Cell Prolif. 2025 Jun;58(6):e13814. doi: 10.1111/cpr.13814. Epub 2025 Jan 26.
3
Targeting endothelial glycolytic reprogramming by tsRNA-1599 for ocular anti-angiogenesis therapy.

本文引用的文献

1
An aldehyde dehydrogenase 1A3 inhibitor attenuates the metastasis of human colorectal cancer.一种醛脱氢酶 1A3 抑制剂可减弱人结直肠癌细胞的转移。
Cancer Lett. 2022 Jun 28;536:215662. doi: 10.1016/j.canlet.2022.215662. Epub 2022 Mar 22.
2
The Chk2-PKM2 axis promotes metabolic control of vasculogenic mimicry formation in p53-mutated triple-negative breast cancer.Chk2-PKM2 轴促进了 p53 突变型三阴性乳腺癌中血管生成拟态形成的代谢控制。
Oncogene. 2021 Aug;40(34):5262-5274. doi: 10.1038/s41388-021-01933-z. Epub 2021 Jul 9.
3
High L1CAM expression predicts poor prognosis of patients with endometrial cancer: A systematic review and meta-analysis.
靶向内皮细胞糖酵解重编程的 tsRNA-1599 用于眼部抗血管生成治疗。
Theranostics. 2024 Jun 1;14(9):3509-3525. doi: 10.7150/thno.96946. eCollection 2024.
4
HNRNPA2B1 stabilizes NFATC3 levels to potentiate its combined actions with FOSL1 to mediate vasculogenic mimicry in GBM cells.HNRNPA2B1 稳定 NFATC3 水平,增强其与 FOSL1 的协同作用,从而介导 GBM 细胞中的血管生成拟态。
Cell Biol Toxicol. 2024 Jun 11;40(1):44. doi: 10.1007/s10565-024-09890-5.
5
Revolutionizing breast cancer Ki-67 diagnosis: ultrasound radiomics and fully connected neural networks (FCNN) combination method.颠覆乳腺癌 Ki-67 诊断:超声放射组学与全连接神经网络(FCNN)结合方法。
Breast Cancer Res Treat. 2024 Sep;207(2):453-468. doi: 10.1007/s10549-024-07375-x. Epub 2024 Jun 9.
6
RCAd-LTH-shPD-L1, a double-gene recombinant oncolytic adenovirus with enhanced antitumor immunity, increases lymphocyte infiltration and reshapes the tumor microenvironment.RCAd-LTH-shPD-L1,一种具有增强抗肿瘤免疫的双基因重组溶瘤腺病毒,增加了淋巴细胞浸润并重塑了肿瘤微环境。
J Immunother Cancer. 2024 Jan 11;12(1):e007171. doi: 10.1136/jitc-2023-007171.
7
SUMOylation of RALY promotes vasculogenic mimicry in glioma cells via the FOXD1/DKK1 pathway.SUMOylation 修饰 RALY 通过 FOXD1/DKK1 通路促进脑胶质瘤细胞中的血管拟态形成。
Cell Biol Toxicol. 2023 Dec;39(6):3323-3340. doi: 10.1007/s10565-023-09836-3. Epub 2023 Oct 31.
高 L1CAM 表达预示子宫内膜癌患者预后不良:系统评价和荟萃分析。
Medicine (Baltimore). 2021 Apr 2;100(13):e25330. doi: 10.1097/MD.0000000000025330.
4
Micro-RNA: The darkhorse of cancer.微小 RNA:癌症的黑马。
Cell Signal. 2021 Jul;83:109995. doi: 10.1016/j.cellsig.2021.109995. Epub 2021 Mar 27.
5
Salvianolic acid A blocks vasculogenic mimicry formation in human non-small cell lung cancer via PI3K/Akt/mTOR signalling.丹酚酸 A 通过 PI3K/Akt/mTOR 信号通路抑制人非小细胞肺癌血管生成拟态的形成。
Clin Exp Pharmacol Physiol. 2021 Apr;48(4):508-514. doi: 10.1111/1440-1681.13464. Epub 2021 Feb 2.
6
Mechanisms of vasculogenic mimicry in hypoxic tumor microenvironments.缺氧肿瘤微环境中的血管生成拟态机制。
Mol Cancer. 2021 Jan 4;20(1):7. doi: 10.1186/s12943-020-01288-1.
7
Down-regulating NEAT1 inhibited the viability and vasculogenic mimicry formation of sinonasal squamous cell carcinoma cells via miR-195-5p/VEGFA axis.下调 NEAT1 通过 miR-195-5p/VEGFA 轴抑制鼻内鳞状细胞癌细胞的活力和血管生成拟态形成。
Biosci Rep. 2020 Nov 27;40(11). doi: 10.1042/BSR20201373.
8
CBTRUS Statistical Report: Primary Brain and Other Central Nervous System Tumors Diagnosed in the United States in 2013-2017.美国 2013-2017 年诊断的原发性脑和其他中枢神经系统肿瘤 CBTRUS 统计报告。
Neuro Oncol. 2020 Oct 30;22(12 Suppl 2):iv1-iv96. doi: 10.1093/neuonc/noaa200.
9
miR-143-3p inhibits proliferation and invasion of hepatocellular carcinoma cells by regulating its target gene FGF1.miR-143-3p 通过调控其靶基因 FGF1 抑制肝癌细胞的增殖和侵袭。
Clin Transl Oncol. 2021 Mar;23(3):468-480. doi: 10.1007/s12094-020-02440-5. Epub 2020 Jul 2.
10
Advances and Prospects of Vasculogenic Mimicry in Glioma: A Potential New Therapeutic Target?胶质瘤中血管生成拟态的研究进展与展望:一个潜在的新治疗靶点?
Onco Targets Ther. 2020 May 21;13:4473-4483. doi: 10.2147/OTT.S247855. eCollection 2020.