Suppr超能文献

2021 年国际慢性血栓栓塞性肺动脉高压大会亮点。

Highlights from the International Chronic Thromboembolic Pulmonary Hypertension Congress 2021.

机构信息

AP-HP, Service de Pneumologie, Hôpital Bicêtre, Université Paris-Sud, Laboratoire d'Excellence en Recherche sur le Médicament et Innovation Thérapeutique and Institut National de la Santé et de la Recherche Médicale Unité 999, Le Kremlin-Bicêtre, France.

Research and Innovation Unit, INSERM UMR-S 999, Marie Lannelongue Hospital, Université Paris-Sud, Université Paris-Saclay, Le Plessis-Robinson, France.

出版信息

Eur Respir Rev. 2023 Feb 7;32(167). doi: 10.1183/16000617.0132-2022. Print 2023 Mar 31.

Abstract

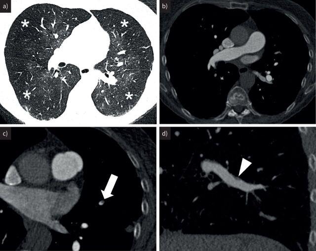
Chronic thromboembolic pulmonary hypertension (CTEPH) is a rare complication of acute pulmonary embolism. It is caused by persistent obstruction of pulmonary arteries by chronic organised fibrotic clots, despite adequate anticoagulation. The pulmonary hypertension is also caused by concomitant microvasculopathy which may progress without timely treatment. Timely and accurate diagnosis requires the combination of imaging and haemodynamic assessment. Optimal therapy should be individualised to each case and determined by an experienced multidisciplinary CTEPH team with the ability to offer all current treatment modalities. This report summarises current knowledge and presents key messages from the International CTEPH Conference, Bad Nauheim, Germany, 2021. Sessions were dedicated to 1) disease definition; 2) pathophysiology, including the impact of the hypertrophied bronchial circulation, right ventricle (dys)function, genetics and inflammation; 3) diagnosis, early after acute pulmonary embolism, using computed tomography and perfusion techniques, and supporting the selection of appropriate therapies; 4) surgical treatment, pulmonary endarterectomy for proximal and distal disease, and peri-operative management; 5) percutaneous approach or balloon pulmonary angioplasty, techniques and complications; and 6) medical treatment, including anticoagulation and pulmonary hypertension drugs, and in combination with interventional treatments. Chronic thromboembolic pulmonary disease without pulmonary hypertension is also discussed in terms of its diagnostic and therapeutic aspects.

摘要

慢性血栓栓塞性肺动脉高压(CTEPH)是急性肺栓塞的罕见并发症。尽管进行了充分的抗凝治疗,但肺动脉仍持续被慢性纤维化血栓阻塞,导致肺动脉高压。同时还存在伴随的微血管病变,如果不及时治疗,可能会进展。及时和准确的诊断需要影像学和血流动力学评估相结合。最佳治疗应根据每个病例进行个体化,并由经验丰富的多学科 CTEPH 团队确定,该团队能够提供所有当前的治疗方式。本报告总结了目前的知识,并介绍了 2021 年德国巴特瑙海姆国际 CTEPH 会议的关键信息。会议专门讨论了以下六个方面:1)疾病定义;2)病理生理学,包括肥厚的支气管循环、右心室(功能)障碍、遗传学和炎症的影响;3)急性肺栓塞后早期的诊断,包括使用计算机断层扫描和灌注技术,并支持选择合适的治疗方法;4)手术治疗,近端和远端疾病的肺动脉内膜切除术,以及围手术期管理;5)经皮治疗方法或球囊肺动脉成形术,技术和并发症;6)药物治疗,包括抗凝和肺动脉高压药物,以及与介入治疗联合应用。慢性血栓栓塞性肺疾病不伴肺动脉高压也从诊断和治疗方面进行了讨论。

https://cdn.ncbi.nlm.nih.gov/pmc/blobs/3cef/9910339/bc9e04e7a5a5/ERR-0132-2022.01.jpg

文献检索

告别复杂PubMed语法,用中文像聊天一样搜索,搜遍4000万医学文献。AI智能推荐,让科研检索更轻松。

立即免费搜索

文件翻译

保留排版,准确专业,支持PDF/Word/PPT等文件格式,支持 12+语言互译。

免费翻译文档

深度研究

AI帮你快速写综述,25分钟生成高质量综述,智能提取关键信息,辅助科研写作。

立即免费体验