• 文献检索
  • 文档翻译
  • 深度研究
  • 学术资讯
  • Suppr Zotero 插件Zotero 插件
  • 邀请有礼
  • 套餐&价格
  • 历史记录
应用&插件
Suppr Zotero 插件Zotero 插件浏览器插件Mac 客户端Windows 客户端微信小程序
定价
高级版会员购买积分包购买API积分包
服务
文献检索文档翻译深度研究API 文档MCP 服务
关于我们
关于 Suppr公司介绍联系我们用户协议隐私条款
关注我们

Suppr 超能文献

核心技术专利:CN118964589B侵权必究
粤ICP备2023148730 号-1Suppr @ 2026

文献检索

告别复杂PubMed语法,用中文像聊天一样搜索,搜遍4000万医学文献。AI智能推荐,让科研检索更轻松。

立即免费搜索

文件翻译

保留排版,准确专业,支持PDF/Word/PPT等文件格式,支持 12+语言互译。

免费翻译文档

深度研究

AI帮你快速写综述,25分钟生成高质量综述,智能提取关键信息,辅助科研写作。

立即免费体验

颌骨放射性骨坏死——骨与软组织损伤的比较及其对手术结果的影响——一项回顾性队列研究

Osteoradionecrosis of the Jaw-Comparison between Bone and Soft Tissue Injury and Their Influence on Surgical Outcomes-A Retrospective Cohort Study.

作者信息

Ristow Oliver, Birgel Jan Lukas, Rückschloß Thomas, Held Thomas, Lang Kristin, Smielowski Maximilian, Zittel Sven, Moratin Julius, Pilz Maximilian, Engel Michael, Hoffmann Jürgen, Semmelmayer Karl

机构信息

Department of Oral and Cranio-Maxillofacial Surgery, Heidelberg University Hospital, Im Neuenheimer Feld 400, D-69120 Heidelberg, Germany.

Department of Radiation Oncology, Heidelberg University Hospital, Im Neuenheimer Feld 400, D-69120 Heidelberg, Germany.

出版信息

Diagnostics (Basel). 2023 Jan 18;13(3):366. doi: 10.3390/diagnostics13030366.

DOI:10.3390/diagnostics13030366
PMID:36766471
原文链接:https://pmc.ncbi.nlm.nih.gov/articles/PMC9914009/
Abstract

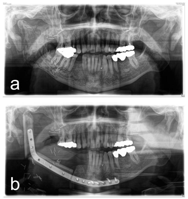
Surgical therapy of osteoradionecrosis of the jaw (ORN) is challenging and requires treatment of the affected hard and soft tissue. To understand how tissue injury after irradiation influences surgical outcomes, the objective of this study was to find out whether (a) bone-related, (b) soft tissue-related, and (c) treatment-related parameters influence the surgical success of patients with ORN. A total of 175 patients (324 lesions) were included in this retrospective, single-center study. All patients were diagnosed with ORN and underwent surgical therapy. The primary outcome was complete soft tissue recovery (mucosa/skin) and the absence of symptoms 3 months after surgery. At the time of follow-up, 58% of patients (189 of 324 lesions) had intact intraoral or extraoral soft tissue. The extent of bone destruction had no effect on treatment success, whereas soft tissue injury due to fibrosis (OR: 0.344; CI 0.142-0.834; = 0.01818) and xerostomia (OR: 0.163; CI 0.064-0.419; = 0.00016) increased the probability of treatment failure. Soft tissue reconstruction with a microvascular graft improved therapeutic success compared to local wound closure (OR: 2.998; CI 1.371-6.555; = 0.006). Thus, for the treatment of ORN, it is extremely important to pay attention not only to the extent of bone destruction but especially to soft tissue defects. Because the extent of soft tissue injury is a predictor for therapeutic success, it should influence the choice of surgical treatment.

摘要

颌骨放射性骨坏死(ORN)的手术治疗具有挑战性,需要对受影响的硬组织和软组织进行治疗。为了解放疗后组织损伤如何影响手术效果,本研究的目的是确定(a)与骨相关的、(b)与软组织相关的以及(c)与治疗相关的参数是否会影响ORN患者的手术成功率。本项回顾性单中心研究共纳入了175例患者(324个病灶)。所有患者均被诊断为ORN并接受了手术治疗。主要结局是术后3个月软组织完全恢复(黏膜/皮肤)且无症状。在随访时,58%的患者(324个病灶中的189个)口腔内或口腔外软组织完整。骨破坏程度对治疗成功没有影响,而纤维化导致的软组织损伤(OR:0.344;CI 0.142 - 0.834;P = 0.01818)和口干(OR:0.163;CI 0.064 - 0.419;P = 0.00016)增加了治疗失败的可能性。与局部伤口缝合相比,采用微血管移植进行软组织重建可提高治疗成功率(OR:2.998;CI 1.371 - 6.555;P = 0.006)。因此,对于ORN的治疗,不仅要关注骨破坏程度,尤其要关注软组织缺损,这极为重要。由于软组织损伤程度是治疗成功的预测指标,它应影响手术治疗的选择。

https://cdn.ncbi.nlm.nih.gov/pmc/blobs/5237/9914009/635555970fd8/diagnostics-13-00366-g004.jpg
https://cdn.ncbi.nlm.nih.gov/pmc/blobs/5237/9914009/e65b106c3197/diagnostics-13-00366-g001.jpg
https://cdn.ncbi.nlm.nih.gov/pmc/blobs/5237/9914009/fe758d9f88d3/diagnostics-13-00366-g002.jpg
https://cdn.ncbi.nlm.nih.gov/pmc/blobs/5237/9914009/9b2446d78b72/diagnostics-13-00366-g003.jpg
https://cdn.ncbi.nlm.nih.gov/pmc/blobs/5237/9914009/635555970fd8/diagnostics-13-00366-g004.jpg
https://cdn.ncbi.nlm.nih.gov/pmc/blobs/5237/9914009/e65b106c3197/diagnostics-13-00366-g001.jpg
https://cdn.ncbi.nlm.nih.gov/pmc/blobs/5237/9914009/fe758d9f88d3/diagnostics-13-00366-g002.jpg
https://cdn.ncbi.nlm.nih.gov/pmc/blobs/5237/9914009/9b2446d78b72/diagnostics-13-00366-g003.jpg
https://cdn.ncbi.nlm.nih.gov/pmc/blobs/5237/9914009/635555970fd8/diagnostics-13-00366-g004.jpg

相似文献

1
Osteoradionecrosis of the Jaw-Comparison between Bone and Soft Tissue Injury and Their Influence on Surgical Outcomes-A Retrospective Cohort Study.颌骨放射性骨坏死——骨与软组织损伤的比较及其对手术结果的影响——一项回顾性队列研究
Diagnostics (Basel). 2023 Jan 18;13(3):366. doi: 10.3390/diagnostics13030366.
2
Radiation-Induced Soft Tissue Injuries in Patients With Advanced Mandibular Osteoradionecrosis: A Preliminary Evaluation and Management of Various Soft Tissue Problems Around Radiation-Induced Osteonecrosis Lesions.晚期下颌骨放射性骨坏死患者的放射性软组织损伤:放射性骨坏死病变周围各种软组织问题的初步评估与处理
Front Oncol. 2021 Apr 28;11:641061. doi: 10.3389/fonc.2021.641061. eCollection 2021.
3
Analysis of microvascular free flaps for reconstruction of advanced mandibular osteoradionecrosis: a retrospective cohort study.用于晚期下颌骨放射性骨坏死重建的游离微血管皮瓣分析:一项回顾性队列研究。
J Oral Maxillofac Surg. 2008 Dec;66(12):2545-56. doi: 10.1016/j.joms.2007.08.041.
4
Surgical management of severe osteoradionecrosis of the mandibular bone by using double free flap reconstruction.采用双游离皮瓣重建术治疗下颌骨严重放射性骨坏死。
J Craniomaxillofac Surg. 2018 Jan;46(1):148-154. doi: 10.1016/j.jcms.2017.09.025. Epub 2017 Nov 2.
5
Influence of prior hyperbaric oxygen therapy in complications following microvascular reconstruction for advanced osteoradionecrosis.先前高压氧治疗对晚期放射性骨坏死微血管重建术后并发症的影响。
Arch Otolaryngol Head Neck Surg. 2003 Jan;129(1):72-6. doi: 10.1001/archotol.129.1.72.
6
Surgical Management of Skull Base Osteoradionecrosis in the Cancer Population - Treatment Outcomes and Predictors of Recurrence: A Case Series.癌症患者颅底放射性骨坏死的外科治疗——治疗结果与复发预测因素:病例系列研究
Oper Neurosurg (Hagerstown). 2020 Sep 15;19(4):364-374. doi: 10.1093/ons/opaa082.
7
Free flap reconstruction for osteoradionecrosis of the jaws--outcomes and predictive factors for success.游离皮瓣重建治疗颌骨放射性骨坏死:疗效及成功预测因素。
Head Neck. 2011 Mar;33(3):424-8. doi: 10.1002/hed.21463.
8
Surgical management of osteoradionecrosis of the jaws.颌骨放射性骨坏死的外科治疗
J Craniofac Surg. 2015 Mar;26(2):e175-9. doi: 10.1097/SCS.0000000000001445.
9
Changing indications for maxillomandibular reconstruction with osseous free flaps: a 17-year experience with 620 consecutive cases at UCLA and the impact of osteoradionecrosis.随着颌骨重建中骨游离皮瓣适应证的改变:在加州大学洛杉矶分校 17 年的 620 例连续病例经验以及放射性骨坏死的影响。
Laryngoscope. 2014 Jun;124(6):1329-35. doi: 10.1002/lary.24383. Epub 2013 Oct 1.
10
Research Frontiers in Oral Toxicities of Cancer Therapies: Osteoradionecrosis of the Jaws.癌症治疗口腔毒性的研究前沿:颌骨放射性骨坏死
J Natl Cancer Inst Monogr. 2019 Aug 1;2019(53). doi: 10.1093/jncimonographs/lgz006.

引用本文的文献

1
Prevalence of free flap failure in mandibular osteoradionecrosis reconstruction: a systematic review and meta-analysis.下颌骨放射性骨坏死重建中游离皮瓣失败的发生率:系统评价和荟萃分析。
Sci Rep. 2024 May 15;14(1):11087. doi: 10.1038/s41598-024-61862-1.

本文引用的文献

1
Bone Concentration of Ampicillin/Sulbactam: A Pilot Study in Patients with Osteonecrosis of the Jaw.氨苄西林/舒巴坦在颌骨坏死患者中的骨浓度:一项初步研究。
Int J Environ Res Public Health. 2022 Nov 13;19(22):14917. doi: 10.3390/ijerph192214917.
2
Predictive factors of osteoradionecrosis necessitating segmental mandibulectomy: A descriptive study.需要节段性下颌骨切除术的放射性骨坏死的预测因素:一项描述性研究。
Oral Surg Oral Med Oral Pathol Oral Radiol. 2022 Jul;134(1):e8-e13. doi: 10.1016/j.oooo.2021.08.024. Epub 2021 Sep 3.
3
Head and neck cancer.
头颈部癌症。
Lancet. 2021 Dec 18;398(10318):2289-2299. doi: 10.1016/S0140-6736(21)01550-6. Epub 2021 Sep 22.
4
Infection as an Important Factor in Medication-Related Osteonecrosis of the Jaw (MRONJ).感染是导致药物相关性颌骨坏死(MRONJ)的一个重要因素。
Medicina (Kaunas). 2021 May 9;57(5):463. doi: 10.3390/medicina57050463.
5
Radiation-Induced Soft Tissue Injuries in Patients With Advanced Mandibular Osteoradionecrosis: A Preliminary Evaluation and Management of Various Soft Tissue Problems Around Radiation-Induced Osteonecrosis Lesions.晚期下颌骨放射性骨坏死患者的放射性软组织损伤:放射性骨坏死病变周围各种软组织问题的初步评估与处理
Front Oncol. 2021 Apr 28;11:641061. doi: 10.3389/fonc.2021.641061. eCollection 2021.
6
Concentration of Penicillin G in Jawbone Affected by Antiresorptive Agent-Related Osteonecrosis Following a Single Preoperative Dose.单次术前剂量后抗吸收剂相关骨坏死对颌骨中青霉素G浓度的影响
Antibiotics (Basel). 2020 Dec 27;10(1):17. doi: 10.3390/antibiotics10010017.
7
Radiation Therapy and Mandibular Osteoradionecrosis: State of the Art.放射治疗与下颌骨放射性骨坏死:现状。
Curr Oncol Rep. 2020 Jul 9;22(9):89. doi: 10.1007/s11912-020-00954-3.
8
The value of reconstructive surgery in the management of refractory jaw osteoradionecrosis: a single-center 10-year experience.重建手术在难治性颌骨放射性骨坏死治疗中的价值:单中心 10 年经验。
Int J Oral Maxillofac Surg. 2019 Nov;48(11):1398-1404. doi: 10.1016/j.ijom.2019.06.007. Epub 2019 Jun 18.
9
Double-layer closure techniques after bone surgery of medication-related osteonecrosis of the jaw - A single center cohort study.双层闭合技术在药物相关性颌骨骨髓炎骨手术后的应用-一项单中心队列研究。
J Craniomaxillofac Surg. 2018 May;46(5):815-824. doi: 10.1016/j.jcms.2018.03.005. Epub 2018 Mar 14.
10
Surgical management of severe osteoradionecrosis of the mandibular bone by using double free flap reconstruction.采用双游离皮瓣重建术治疗下颌骨严重放射性骨坏死。
J Craniomaxillofac Surg. 2018 Jan;46(1):148-154. doi: 10.1016/j.jcms.2017.09.025. Epub 2017 Nov 2.