Cancer Prevention Laboratory, Colorado State University, Fort Collins, CO 80523, USA.
Department of Food Science and Human Nutrition, Colorado State University, Fort Collins, CO 80523, USA.
Nutrients. 2023 Jan 19;15(3):526. doi: 10.3390/nu15030526.
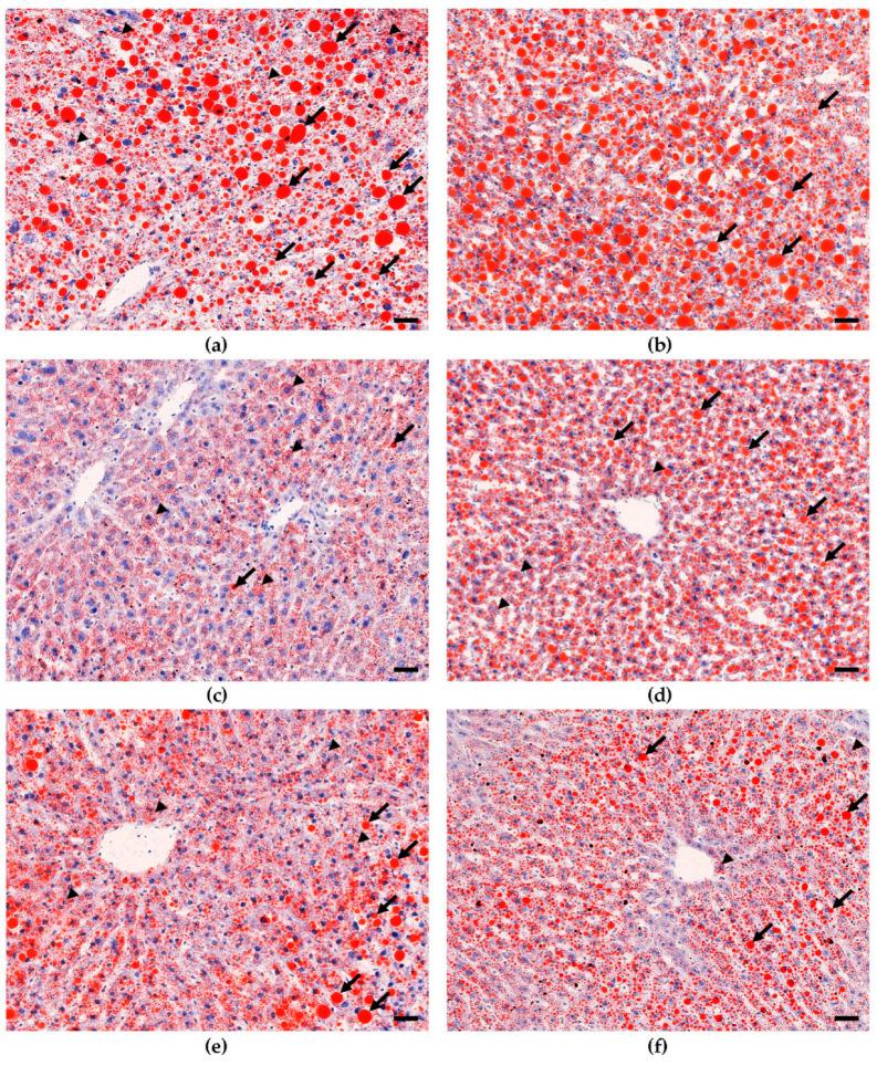
Hepatic steatosis signifies onset of metabolic dysfunction-associated fatty liver disease (MAFLD) caused by disrupted metabolic homeostasis compromising liver function. Regular consumption of common beans reduces the risk of metabolic impairment, but its effective dose, the impact of biological sex, and underlying mechanisms of action are unknown. We fed female and male C57BL6/J mice with obesogenic yet isocaloric diets containing 0%, 17.5%, 35%, and 70% of total dietary protein derived from cooked whole common beans. Liver tissue was collected for histopathology, lipid quantification, and RNA-seq analyses. Beans qualitatively and quantitatively diminished hepatic fat deposition at the 35% dose in female and 70% dose in male mice. Bean-induced differentially expressed genes (DEGs) most significantly mapped to hepatic steatosis and revealed dose-responsive inhibition of lipogenesis markers (, , , , , etc.) and triacylglycerol biosynthesis, activation of triacylglycerol degradation, and downregulation of sterol regulatory element-binding transcription factor 1 (SREBF1) signaling. Upregulated fatty acid β-oxidation was more prominent in females, while suppression of -mediated fatty acid uptake-in males. Sex-dependent bean effects also involved DEGs patterns downstream of peroxisome proliferator-activated receptor α (PPARα) and MLX-interacting protein-like (MLXIPL). Therefore, biological sex determines amount of common bean in the diet required to prevent hepatic lipid accumulation.
肝脂肪变性标志着代谢功能障碍相关脂肪性肝病(MAFLD)的发生,这是由代谢平衡失调导致肝功能受损引起的。经常食用普通豆可以降低代谢损伤的风险,但有效剂量、生物性别影响和作用机制尚不清楚。我们用含有 0%、17.5%、35%和 70%总膳食蛋白质的致肥胖但等热量饮食喂养雌性和雄性 C57BL6/J 小鼠,这些蛋白质来源于煮熟的全普通豆。收集肝组织进行组织病理学、脂质定量和 RNA-seq 分析。在雌性小鼠的 35%剂量和雄性小鼠的 70%剂量下,豆可定性和定量减少肝脂肪沉积。豆诱导的差异表达基因(DEGs)主要映射到肝脂肪变性,并显示出脂质生成标记物(、、、、等)和三酰甘油生物合成的剂量反应抑制,三酰甘油降解的激活,以及固醇调节元件结合转录因子 1(SREBF1)信号的下调。脂肪酸 β-氧化在雌性中更为明显,而在雄性中则抑制 -介导的脂肪酸摄取。性别依赖性豆效应还涉及过氧化物酶体增殖物激活受体 α(PPARα)和 MLX 相互作用蛋白样(MLXIPL)下游的 DEGs 模式。因此,生物性别决定了预防肝脂质积累所需的普通豆在饮食中的含量。