Suppr超能文献

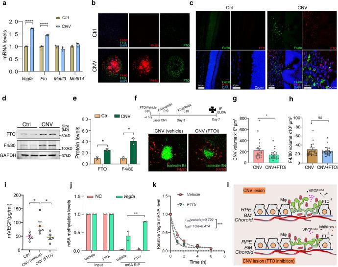
Targeting the m6A mRNA demethylase FTO suppresses vascular endothelial growth factor release and choroidal neovascularization.

作者信息

Wang Shao-Bin, Nagasaka Yosuke, Argyle Dionne, Nagasaka Ayami, Yerramothu Praveen, Gelfand Bradley D, Ambati Jayakrishna

机构信息

Center for Advanced Vision Science, University of Virginia School of Medicine, Charlottesville, VA, USA.

Department of Ophthalmology, University of Virginia School of Medicine, Charlottesville, VA, USA.

出版信息

Signal Transduct Target Ther. 2023 Feb 20;8(1):72. doi: 10.1038/s41392-022-01277-4.

Abstract
摘要
https://cdn.ncbi.nlm.nih.gov/pmc/blobs/8a9f/9939410/e26db25e4104/41392_2022_1277_Fig1_HTML.jpg

文献检索

告别复杂PubMed语法,用中文像聊天一样搜索,搜遍4000万医学文献。AI智能推荐,让科研检索更轻松。

立即免费搜索

文件翻译

保留排版,准确专业,支持PDF/Word/PPT等文件格式,支持 12+语言互译。

免费翻译文档

深度研究

AI帮你快速写综述,25分钟生成高质量综述,智能提取关键信息,辅助科研写作。

立即免费体验