Suppr超能文献

一名新诊断为结节病的30岁非裔美国男性出现严重血小板减少症:病例报告

Severe Thrombocytopenia in a 30-Year-Old African American Male With Newly Diagnosed Sarcoidosis: A Case Report.

作者信息

Pasli Melisa, Lovell Katie K, Vulasala Sai Swarupa R, Hairr Marsha L, Bandaru Revanth Reddy, Khalilullah Mohammad Z, Johnson Leonard

机构信息

Medical School, Brody School of Medicine at East Carolina University, Greenville, USA.

Internal Medicine, East Carolina University Health, Greenville, USA.

出版信息

Cureus. 2023 Jan 24;15(1):e34135. doi: 10.7759/cureus.34135. eCollection 2023 Jan.

Abstract

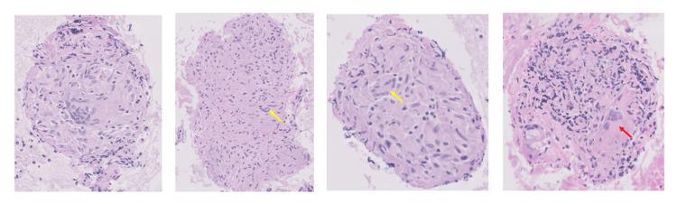
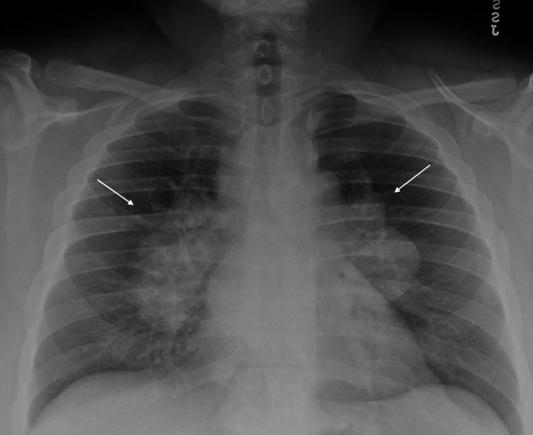
Sarcoidosis is a multisystem inflammatory disorder characterized by the formation of non-caseating granulomas. Hematological manifestations such as thrombocytopenia are unusual presentations of the disease. Various theories have been proposed for the development of thrombocytopenia in patients with sarcoidosis such as decreased production in bone marrow caused by granuloma formation, hypersplenism, and immune thrombocytopenia (ITP). We present a case of a 30-year-old African American male with ITP secondary to sarcoidosis who presented with a sudden onset of buccal mucosa and mucocutaneous bleeding and was found to have severe thrombocytopenia with values reaching as low as 1000/uL without prior history of easy bruising or bleeding. Overall, our patient had dyspnea, mucocutaneous bleeding, and was found to have mediastinal and hilar adenopathy, isolated thrombocytopenia, no splenomegaly, and non-necrotizing granulomas in the lymph nodes. The patient received platelet transfusions without initial response and received intravenous immunoglobulin (IVIG), romiplostim, and steroids with subsequent improvement in the platelet count after sufficient administration of a treatment regimen of approximately one week. Confounding factors that resulted in diagnostic uncertainty of our patient presentation included travel history with prophylactic antimalarial medications, doxycycline usage, only slightly elevated Angiotensin-Converting Enzyme (ACE) levels, and imaging features concerning metastatic disease vs. lymphoma. The clinical diversity of sarcoidosis often leads to diagnostic uncertainty and treatment delays due to its resemblance to other more common disorders. This is a novel case report of the earliest temporal presentation of severe thrombocytopenia and sarcoidosis in an African American male reported in the literature.

摘要

结节病是一种多系统炎症性疾病,其特征是形成非干酪样肉芽肿。血小板减少等血液学表现是该疾病不常见的表现形式。关于结节病患者血小板减少的发生提出了各种理论,例如肉芽肿形成导致骨髓生成减少、脾功能亢进和免疫性血小板减少症(ITP)。我们报告一例30岁非裔美国男性病例,该患者因结节病继发ITP,表现为颊黏膜和皮肤黏膜突然出血,发现有严重血小板减少,数值低至1000/μL,既往无易瘀伤或出血史。总体而言,我们的患者有呼吸困难、皮肤黏膜出血,发现有纵隔和肺门淋巴结肿大、孤立性血小板减少、无脾肿大以及淋巴结中有非坏死性肉芽肿。患者接受血小板输注后最初无反应,随后接受静脉注射免疫球蛋白(IVIG)、罗米司亭和类固醇治疗,在给予约一周的治疗方案后血小板计数随后有所改善。导致我们患者临床表现诊断不确定性的混杂因素包括有预防性抗疟药物的旅行史、使用强力霉素、血管紧张素转换酶(ACE)水平仅略有升高以及关于转移性疾病与淋巴瘤的影像学特征。结节病的临床多样性常常因其与其他更常见疾病相似而导致诊断不确定性和治疗延迟。这是文献中报道的首例非裔美国男性最早出现严重血小板减少和结节病的病例报告。

https://cdn.ncbi.nlm.nih.gov/pmc/blobs/5f3e/9948513/0ad427e1344f/cureus-0015-00000034135-i01.jpg

相似文献

1
Severe Thrombocytopenia in a 30-Year-Old African American Male With Newly Diagnosed Sarcoidosis: A Case Report.
Cureus. 2023 Jan 24;15(1):e34135. doi: 10.7759/cureus.34135. eCollection 2023 Jan.
2
Uncommon Presentation of Sarcoidosis with Severe Thrombocytopenia and Hemorrhagic Diathesis.
Hematol Rep. 2024 Mar 4;16(1):125-131. doi: 10.3390/hematolrep16010013.
3
Sarcoidosis presenting as massive splenomegaly and severe epistaxis, case report.
Ann Med Surg (Lond). 2020 Apr 8;54:6-9. doi: 10.1016/j.amsu.2020.03.007. eCollection 2020 Jun.
4
Use of romiplostim in a hemodialysis patient with primary immune thrombocytopenia.
Ann Pharmacother. 2012 Nov;46(11):e31. doi: 10.1345/aph.1R134. Epub 2012 Oct 31.
6
Association of sarcoidosis and immune thrombocytopenia: presentation and outcome in a series of 20 patients.
Medicine (Baltimore). 2011 Jul;90(4):269-278. doi: 10.1097/MD.0b013e31822618b3.
7
Thrombocytopenia in sarcoidosis.
Sarcoidosis Vasc Diffuse Lung Dis. 2006 Oct;23(3):229-35.
10
Romiplostim-related myelofibrosis in refractory primary immune thrombocytopenia: A Case report.
Medicine (Baltimore). 2019 Jun;98(25):e15882. doi: 10.1097/MD.0000000000015882.

引用本文的文献

1
Uncommon Presentation of Sarcoidosis with Severe Thrombocytopenia and Hemorrhagic Diathesis.
Hematol Rep. 2024 Mar 4;16(1):125-131. doi: 10.3390/hematolrep16010013.

本文引用的文献

1
Sarcoidosis and autoimmunity: In the depth of a complex relationship.
Front Med (Lausanne). 2022 Sep 6;9:991394. doi: 10.3389/fmed.2022.991394. eCollection 2022.
2
Sarcoidosis-Associated Immune Thrombocytopenic Purpura and Focal Segmental Glomerulosclerosis.
J Investig Med High Impact Case Rep. 2022 Jan-Dec;10:23247096221097522. doi: 10.1177/23247096221097522.
3
Immune Thrombocytopenia: A Rare Presentation of Pulmonary Sarcoidosis.
Eur J Case Rep Intern Med. 2021 Dec 20;8(12):003060. doi: 10.12890/2021_003060. eCollection 2021.
4
Sarcoidosis: A Clinical Overview from Symptoms to Diagnosis.
Cells. 2021 Mar 31;10(4):766. doi: 10.3390/cells10040766.
5
Outcome of pulmonary sarcoidosis: a population-based study 1976-2013.
Sarcoidosis Vasc Diffuse Lung Dis. 2018;35(2):123-128. doi: 10.36141/svdld.v35i2.6356. Epub 2018 Apr 28.
6
Sarcoidosis as an Autoimmune Disease.
Front Immunol. 2020 Jan 8;10:2933. doi: 10.3389/fimmu.2019.02933. eCollection 2019.
7
Clinical Manifestations, Diagnosis, and Treatment of Sarcoidosis.
Mayo Clin Proc Innov Qual Outcomes. 2019 Aug 2;3(3):358-375. doi: 10.1016/j.mayocpiqo.2019.04.006. eCollection 2019 Sep.
8
Thrombopoietin receptor agonists in primary immune thrombocytopenia.
Semin Hematol. 2013 Jan;50 Suppl 1(0 1):S18-21. doi: 10.1053/j.seminhematol.2013.03.005.
9
Extrapulmonary manifestations of sarcoidosis.
Rheum Dis Clin North Am. 2013 May;39(2):277-97. doi: 10.1016/j.rdc.2013.02.007. Epub 2013 Mar 13.
10
Pulmonary manifestations of sarcoidosis.
Presse Med. 2012 Jun;41(6 Pt 2):e289-302. doi: 10.1016/j.lpm.2012.03.019. Epub 2012 May 10.

文献AI研究员

20分钟写一篇综述,助力文献阅读效率提升50倍。

立即体验

用中文搜PubMed

大模型驱动的PubMed中文搜索引擎

马上搜索

文档翻译

学术文献翻译模型,支持多种主流文档格式。

立即体验