• 文献检索
  • 文档翻译
  • 深度研究
  • 学术资讯
  • Suppr Zotero 插件Zotero 插件
  • 邀请有礼
  • 套餐&价格
  • 历史记录
应用&插件
Suppr Zotero 插件Zotero 插件浏览器插件Mac 客户端Windows 客户端微信小程序
定价
高级版会员购买积分包购买API积分包
服务
文献检索文档翻译深度研究API 文档MCP 服务
关于我们
关于 Suppr公司介绍联系我们用户协议隐私条款
关注我们

Suppr 超能文献

核心技术专利:CN118964589B侵权必究
粤ICP备2023148730 号-1Suppr @ 2026

文献检索

告别复杂PubMed语法,用中文像聊天一样搜索,搜遍4000万医学文献。AI智能推荐,让科研检索更轻松。

立即免费搜索

文件翻译

保留排版,准确专业,支持PDF/Word/PPT等文件格式,支持 12+语言互译。

免费翻译文档

深度研究

AI帮你快速写综述,25分钟生成高质量综述,智能提取关键信息,辅助科研写作。

立即免费体验

一例罕见的复发性结节病,表现为严重血小板减少症并因骨髓受累导致脑出血。

A Rare Case of Relapsed Sarcoidosis Presenting As Severe Thrombocytopenia Associated With Intracerebral Hemorrhage Due to Bone Marrow Involvement.

作者信息

Weeraddana Prabasha, Othman Hedaya, Thomas Teena, Walgamage Malsha, Odujoko Oluwole, Gao Wenli

机构信息

Internal Medicine, Danbury Hospital, Danbury, USA.

Pathology and Laboratory Medicine, Danbury Hospital, Danbury, USA.

出版信息

Cureus. 2023 Apr 22;15(4):e37973. doi: 10.7759/cureus.37973. eCollection 2023 Apr.

DOI:10.7759/cureus.37973
PMID:37223203
原文链接:https://pmc.ncbi.nlm.nih.gov/articles/PMC10202005/
Abstract

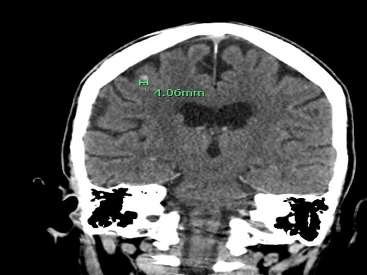
Sarcoidosis is a systemic granulomatous disease characterized by the hyperactivation of CD4 T cells, CD8 T cells, and macrophages. Clinical presentations of sarcoidosis are highly variable. Sarcoidosis is unknown in its etiology, but it suggests it may result from exposure to specific environmental agents in genetically susceptible people. Sarcoidosis commonly involves the lungs and lymphoid system. Bone marrow involvement in sarcoidosis is uncommon. Sarcoidosis rarely results in intracerebral hemorrhage due to severe thrombocytopenia secondary to bone marrow involvement. We present the case of a 72-year-old woman who has been in remission from sarcoidosis for 15 years and developed intracerebral hemorrhage secondary to severe thrombocytopenia due to sarcoidosis recurrence in the bone marrow. The patient presented to the emergency department with a generalized, non-blanching petechiae rash and nose and gum bleeding. Her labs showed a platelet count of less than 10.000/mcL, and computed tomography (CT) showed intracerebral hemorrhage. A bone marrow biopsy revealed a small, non-caseating granuloma indicative of a sarcoidosis relapse in the bone marrow.

摘要

结节病是一种全身性肉芽肿性疾病,其特征为CD4 T细胞、CD8 T细胞和巨噬细胞的过度活化。结节病的临床表现高度多变。结节病的病因尚不清楚,但提示可能是在基因易感人群中接触特定环境因素所致。结节病通常累及肺部和淋巴系统。结节病累及骨髓并不常见。由于骨髓受累继发严重血小板减少,结节病很少导致脑出血。我们报告一例72岁女性病例,该患者结节病已缓解15年,因骨髓结节病复发继发严重血小板减少而发生脑出血。患者因全身性非压之褪色的瘀点皮疹以及鼻出血和牙龈出血就诊于急诊科。她的实验室检查显示血小板计数低于10,000/微升,计算机断层扫描(CT)显示脑出血。骨髓活检显示一个小的非干酪样肉芽肿,提示骨髓结节病复发。

https://cdn.ncbi.nlm.nih.gov/pmc/blobs/4a52/10202005/32e5d8d2585a/cureus-0015-00000037973-i06.jpg
https://cdn.ncbi.nlm.nih.gov/pmc/blobs/4a52/10202005/df7f3cd4bfd4/cureus-0015-00000037973-i01.jpg
https://cdn.ncbi.nlm.nih.gov/pmc/blobs/4a52/10202005/4dd70c496526/cureus-0015-00000037973-i02.jpg
https://cdn.ncbi.nlm.nih.gov/pmc/blobs/4a52/10202005/82f2bb6f4730/cureus-0015-00000037973-i03.jpg
https://cdn.ncbi.nlm.nih.gov/pmc/blobs/4a52/10202005/f4a61b99696e/cureus-0015-00000037973-i04.jpg
https://cdn.ncbi.nlm.nih.gov/pmc/blobs/4a52/10202005/54201648aef3/cureus-0015-00000037973-i05.jpg
https://cdn.ncbi.nlm.nih.gov/pmc/blobs/4a52/10202005/32e5d8d2585a/cureus-0015-00000037973-i06.jpg
https://cdn.ncbi.nlm.nih.gov/pmc/blobs/4a52/10202005/df7f3cd4bfd4/cureus-0015-00000037973-i01.jpg
https://cdn.ncbi.nlm.nih.gov/pmc/blobs/4a52/10202005/4dd70c496526/cureus-0015-00000037973-i02.jpg
https://cdn.ncbi.nlm.nih.gov/pmc/blobs/4a52/10202005/82f2bb6f4730/cureus-0015-00000037973-i03.jpg
https://cdn.ncbi.nlm.nih.gov/pmc/blobs/4a52/10202005/f4a61b99696e/cureus-0015-00000037973-i04.jpg
https://cdn.ncbi.nlm.nih.gov/pmc/blobs/4a52/10202005/54201648aef3/cureus-0015-00000037973-i05.jpg
https://cdn.ncbi.nlm.nih.gov/pmc/blobs/4a52/10202005/32e5d8d2585a/cureus-0015-00000037973-i06.jpg

相似文献

1
A Rare Case of Relapsed Sarcoidosis Presenting As Severe Thrombocytopenia Associated With Intracerebral Hemorrhage Due to Bone Marrow Involvement.一例罕见的复发性结节病,表现为严重血小板减少症并因骨髓受累导致脑出血。
Cureus. 2023 Apr 22;15(4):e37973. doi: 10.7759/cureus.37973. eCollection 2023 Apr.
2
A rare case of atypical bone marrow sarcoidosis without pulmonary involvement in a Japanese woman.一名日本女性患罕见的非典型骨髓结节病,无肺部受累。
BMJ Case Rep. 2021 Jun 29;14(6):e240577. doi: 10.1136/bcr-2020-240577.
3
A Rare Case of Bone Marrow Sarcoidosis.骨髓结节病一例罕见病例
Cureus. 2024 Jul 6;16(7):e63991. doi: 10.7759/cureus.63991. eCollection 2024 Jul.
4
Sarcoidosis presenting as massive splenomegaly and severe epistaxis, case report.以巨脾和严重鼻出血为表现的结节病,病例报告。
Ann Med Surg (Lond). 2020 Apr 8;54:6-9. doi: 10.1016/j.amsu.2020.03.007. eCollection 2020 Jun.
5
A Hypercalcemic Enigma: A Rare Case of Bone Marrow Sarcoidosis.高钙血症之谜:一例罕见的骨髓结节病
Cureus. 2023 Jun 16;15(6):e40534. doi: 10.7759/cureus.40534. eCollection 2023 Jun.
6
Severe Thrombocytopenia in a 30-Year-Old African American Male With Newly Diagnosed Sarcoidosis: A Case Report.一名新诊断为结节病的30岁非裔美国男性出现严重血小板减少症:病例报告
Cureus. 2023 Jan 24;15(1):e34135. doi: 10.7759/cureus.34135. eCollection 2023 Jan.
7
Systemic sarcoidosis with bone marrow involvement responding to therapy with adalimumab: a case report.系统性结节病伴骨髓受累,对阿达木单抗治疗有反应:一例报告
J Med Case Rep. 2009 Jul 29;3:8573. doi: 10.4076/1752-1947-3-8573.
8
Severe refractory sarcoidosis in a 64-year-old man with persistent leucopenia.一名64岁男性患有持续性白细胞减少症的严重难治性结节病。
West Indian Med J. 2003 Mar;52(1):56-8.
9
Sarcoidosis with Rare Extrapulmonary Involvement.结节病伴罕见的肺外受累
Eur J Case Rep Intern Med. 2021 Jul 12;8(7):002540. doi: 10.12890/2021_002540. eCollection 2021.
10
Bone marrow involvement: Atypical presentation of early-onset childhood sarcoidosis.骨髓受累:儿童早发型结节病的非典型表现。
Eur J Rheumatol. 2020 Sep 8;7(4):190-4. doi: 10.5152/eurjrheum.2020.20076.

引用本文的文献

1
Autoimmune thrombotic thrombocytopenic purpura associated with disseminated sarcoidosis: A case report.与播散性结节病相关的自身免疫性血栓性血小板减少性紫癜:一例报告。
EJHaem. 2024 Feb 11;5(1):225-230. doi: 10.1002/jha2.848. eCollection 2024 Feb.

本文引用的文献

1
A Comprehensive Review of Thrombocytopenia With a Spotlight on Intensive Care Patients.血小板减少症综合综述:聚焦重症监护患者
Cureus. 2022 Aug 5;14(8):e27718. doi: 10.7759/cureus.27718. eCollection 2022 Aug.
2
Immune Thrombocytopenic Purpura and Intracerebral Hemorrhage, Incidence, and Mortality.免疫性血小板减少性紫癜与脑出血、发病率及死亡率
Cureus. 2022 Apr 24;14(4):e24447. doi: 10.7759/cureus.24447. eCollection 2022 Apr.
3
Thrombocytopenia: the good, the bad and the ugly.血小板减少症:好的、坏的和丑的。
Clin Med (Lond). 2022 May;22(3):214-217. doi: 10.7861/clinmed.2022-0146.
4
Immune Thrombocytopenia: A Rare Presentation of Pulmonary Sarcoidosis.免疫性血小板减少症:肺结节病的一种罕见表现。
Eur J Case Rep Intern Med. 2021 Dec 20;8(12):003060. doi: 10.12890/2021_003060. eCollection 2021.
5
Sarcoidosis: A Clinical Overview from Symptoms to Diagnosis.结节病:从症状到诊断的临床概述。
Cells. 2021 Mar 31;10(4):766. doi: 10.3390/cells10040766.
6
Treatment of Sarcoidosis: A Multidisciplinary Approach.结节病的治疗:多学科方法。
Front Immunol. 2020 Nov 19;11:545413. doi: 10.3389/fimmu.2020.545413. eCollection 2020.
7
Thrombocytopenia and the effect of platelet transfusions on the occurrence of intracranial hemorrhage in patients with acute leukemia - a nested case-control study.血小板减少症和血小板输注对急性白血病患者颅内出血发生的影响 - 一项巢式病例对照研究。
Ann Hematol. 2021 Jan;100(1):261-271. doi: 10.1007/s00277-020-04298-7. Epub 2020 Oct 17.
8
Diagnosis and Detection of Sarcoidosis. An Official American Thoracic Society Clinical Practice Guideline.结节病的诊断与检测:美国胸科学会临床实践指南
Am J Respir Crit Care Med. 2020 Apr 15;201(8):e26-e51. doi: 10.1164/rccm.202002-0251ST.
9
Sarcoidosis: Causes, Diagnosis, Clinical Features, and Treatments.结节病:病因、诊断、临床特征及治疗
J Clin Med. 2020 Apr 10;9(4):1081. doi: 10.3390/jcm9041081.
10
Clinical Manifestations, Diagnosis, and Treatment of Sarcoidosis.结节病的临床表现、诊断与治疗
Mayo Clin Proc Innov Qual Outcomes. 2019 Aug 2;3(3):358-375. doi: 10.1016/j.mayocpiqo.2019.04.006. eCollection 2019 Sep.