• 文献检索
  • 文档翻译
  • 深度研究
  • 学术资讯
  • Suppr Zotero 插件Zotero 插件
  • 邀请有礼
  • 套餐&价格
  • 历史记录
应用&插件
Suppr Zotero 插件Zotero 插件浏览器插件Mac 客户端Windows 客户端微信小程序
定价
高级版会员购买积分包购买API积分包
服务
文献检索文档翻译深度研究API 文档MCP 服务
关于我们
关于 Suppr公司介绍联系我们用户协议隐私条款
关注我们

Suppr 超能文献

核心技术专利:CN118964589B侵权必究
粤ICP备2023148730 号-1Suppr @ 2026

文献检索

告别复杂PubMed语法,用中文像聊天一样搜索,搜遍4000万医学文献。AI智能推荐,让科研检索更轻松。

立即免费搜索

文件翻译

保留排版,准确专业,支持PDF/Word/PPT等文件格式,支持 12+语言互译。

免费翻译文档

深度研究

AI帮你快速写综述,25分钟生成高质量综述,智能提取关键信息,辅助科研写作。

立即免费体验

DEP 结构域蛋白 1(DEPDC1)和驱动蛋白家族成员 4A(KIF4A)通过 Hippo 信号通路协同抑制骨肉瘤细胞的恶性生物学行为。

DEPDC1 and KIF4A synergistically inhibit the malignant biological behavior of osteosarcoma cells through Hippo signaling pathway.

机构信息

Department of Orthopedics, The First Affiliated Hospital of Chongqing Medical University, No. 1 YouYi Road, Yuan Jia Gang, Yu Zhong District, Chongqing, 400016, People's Republic of China.

出版信息

J Orthop Surg Res. 2023 Feb 27;18(1):145. doi: 10.1186/s13018-023-03572-4.

DOI:10.1186/s13018-023-03572-4
PMID:36849972
原文链接:https://pmc.ncbi.nlm.nih.gov/articles/PMC9972622/
Abstract

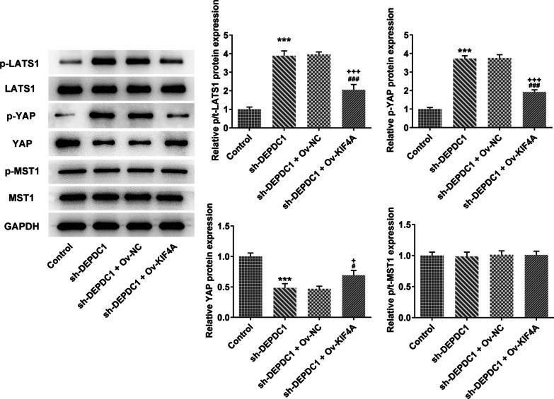
The treatment of osteosarcoma (OS) is still mainly surgery combined with systematic chemotherapy, and gene therapy is expected to improve the survival rate of patients. This study aimed to explore the effect of DEP domain 1 protein (DEPDC1) and kinesin super-family protein 4A (KIF4A) in OS and understand its mechanism. Th expression of DEPDC1 and KIF4A in OS cells was detected by RT-PCR and western blot. The viability, proliferation, invasion and migration of OS cells and tube formation of human umbilical vein endothelial cells (HUVECs) after indicated treatment were in turn detected by CCK-8 assay, EdU staining, wound healing assay, transwell assay and tube formation assay. The interaction between DEPDC1 and KIF4A was predicted by STRING and confirmed by co-immunoprecipitation. The expression of epithelial-mesenchymal transition (EMT)-related proteins, tube formation-related proteins and Hippo signaling pathway proteins was detected by western blot. As a result, the expression of DEPDC1 and KIF4A was all increased in U2OS cells. Down-regulation of DEPDC1 suppressed the viability, proliferation, invasion and migration of U2OS cells and tube formation of HUVECs, accompanied by the increased expression of E-cadherin and decreased expression of N-cadherin, Vimentin and VEGF. DEPDC1 was confirmed to be interacted with KIF4A. Upregulation of KIF4A partially reversed the effect of DEPDC1 interference on the above biological behaviors of U2OS cells. Down-regulation of DEPDC1 promoted the expression of p-LATS1 and p-YAP in Hippo signaling pathway, which was reversed by upregulation of KIF4A. In conclusion, down-regulation of DEPDC1 inhibited the malignant biological behavior of OS cells through the activation of Hippo signaling pathway, which could be reversed by upregulation of KIF4A.

摘要

骨肉瘤(OS)的治疗仍然主要是手术结合系统化疗,基因治疗有望提高患者的生存率。本研究旨在探讨 DEP 结构域 1 蛋白(DEPDC1)和驱动蛋白超家族蛋白 4A(KIF4A)在骨肉瘤中的作用,并了解其机制。通过 RT-PCR 和 Western blot 检测 OS 细胞中 DEPDC1 和 KIF4A 的表达。依次通过 CCK-8 测定、EdU 染色、划痕愈合测定、Transwell 测定和管形成测定检测指示处理后 OS 细胞的活力、增殖、侵袭和迁移以及人脐静脉内皮细胞(HUVECs)的管形成。通过 STRING 预测 DEPDC1 和 KIF4A 之间的相互作用,并通过共免疫沉淀进行验证。通过 Western blot 检测上皮-间充质转化(EMT)相关蛋白、管形成相关蛋白和 Hippo 信号通路蛋白的表达。结果,U2OS 细胞中 DEPDC1 和 KIF4A 的表达均增加。下调 DEPDC1 抑制 U2OS 细胞的活力、增殖、侵袭和迁移以及 HUVECs 的管形成,同时 E-钙粘蛋白表达增加,N-钙粘蛋白、波形蛋白和 VEGF 表达减少。证实 DEPDC1 与 KIF4A 相互作用。上调 KIF4A 部分逆转了 DEPDC1 干扰对 U2OS 细胞上述生物学行为的影响。下调 DEPDC1 促进 Hippo 信号通路中 p-LATS1 和 p-YAP 的表达,上调 KIF4A 可逆转这一作用。总之,下调 DEPDC1 通过激活 Hippo 信号通路抑制骨肉瘤细胞的恶性生物学行为,上调 KIF4A 可逆转这一作用。

https://cdn.ncbi.nlm.nih.gov/pmc/blobs/3f6c/9972622/74903e0b8e89/13018_2023_3572_Fig7_HTML.jpg
https://cdn.ncbi.nlm.nih.gov/pmc/blobs/3f6c/9972622/75a216d67dfe/13018_2023_3572_Fig1_HTML.jpg
https://cdn.ncbi.nlm.nih.gov/pmc/blobs/3f6c/9972622/9e1398721e8a/13018_2023_3572_Fig2_HTML.jpg
https://cdn.ncbi.nlm.nih.gov/pmc/blobs/3f6c/9972622/d7e4a143f252/13018_2023_3572_Fig3_HTML.jpg
https://cdn.ncbi.nlm.nih.gov/pmc/blobs/3f6c/9972622/0d49d6602da3/13018_2023_3572_Fig4_HTML.jpg
https://cdn.ncbi.nlm.nih.gov/pmc/blobs/3f6c/9972622/280549850b98/13018_2023_3572_Fig5_HTML.jpg
https://cdn.ncbi.nlm.nih.gov/pmc/blobs/3f6c/9972622/06c42b657e9d/13018_2023_3572_Fig6_HTML.jpg
https://cdn.ncbi.nlm.nih.gov/pmc/blobs/3f6c/9972622/74903e0b8e89/13018_2023_3572_Fig7_HTML.jpg
https://cdn.ncbi.nlm.nih.gov/pmc/blobs/3f6c/9972622/75a216d67dfe/13018_2023_3572_Fig1_HTML.jpg
https://cdn.ncbi.nlm.nih.gov/pmc/blobs/3f6c/9972622/9e1398721e8a/13018_2023_3572_Fig2_HTML.jpg
https://cdn.ncbi.nlm.nih.gov/pmc/blobs/3f6c/9972622/d7e4a143f252/13018_2023_3572_Fig3_HTML.jpg
https://cdn.ncbi.nlm.nih.gov/pmc/blobs/3f6c/9972622/0d49d6602da3/13018_2023_3572_Fig4_HTML.jpg
https://cdn.ncbi.nlm.nih.gov/pmc/blobs/3f6c/9972622/280549850b98/13018_2023_3572_Fig5_HTML.jpg
https://cdn.ncbi.nlm.nih.gov/pmc/blobs/3f6c/9972622/06c42b657e9d/13018_2023_3572_Fig6_HTML.jpg
https://cdn.ncbi.nlm.nih.gov/pmc/blobs/3f6c/9972622/74903e0b8e89/13018_2023_3572_Fig7_HTML.jpg

相似文献

1
DEPDC1 and KIF4A synergistically inhibit the malignant biological behavior of osteosarcoma cells through Hippo signaling pathway.DEP 结构域蛋白 1(DEPDC1)和驱动蛋白家族成员 4A(KIF4A)通过 Hippo 信号通路协同抑制骨肉瘤细胞的恶性生物学行为。
J Orthop Surg Res. 2023 Feb 27;18(1):145. doi: 10.1186/s13018-023-03572-4.
2
[Downregulation of Herg1 suppresses osteosarcoma proliferation and invasion by targeting Hippo signaling pathway].[Herg1的下调通过靶向Hippo信号通路抑制骨肉瘤的增殖和侵袭]
Zhonghua Zhong Liu Za Zhi. 2019 May 23;41(5):338-345. doi: 10.3760/cma.j.issn.0253-3766.2019.05.004.
3
DEP Domain Containing 1 Promotes Proliferation, Invasion, and Epithelial-Mesenchymal Transition in Colorectal Cancer by Enhancing Expression of Suppressor of Zest 12.DEP 结构域包含蛋白 1 通过增强 ZEST12 抑制因子的表达促进结直肠癌的增殖、侵袭和上皮间质转化。
Cancer Biother Radiopharm. 2021 Feb;36(1):36-44. doi: 10.1089/cbr.2019.3460. Epub 2020 Apr 24.
4
Knockdown of kinesin family member 4A inhibits cell proliferation, migration, and invasion while promoting apoptosis of urothelial bladder carcinoma cells.敲低驱动蛋白家族成员 4A 抑制尿路上皮膀胱癌细胞的增殖、迁移和侵袭,同时促进细胞凋亡。
Cancer Med. 2023 Jun;12(11):12581-12592. doi: 10.1002/cam4.5932. Epub 2023 Apr 11.
5
FOXO3a‑modulated DEPDC1 promotes malignant progression of nephroblastoma via the Wnt/β‑catenin signaling pathway.FOXO3a 调节的 DEPDC1 通过 Wnt/β-连环蛋白信号通路促进肾母细胞瘤的恶性进展。
Mol Med Rep. 2022 Aug;26(2). doi: 10.3892/mmr.2022.12788. Epub 2022 Jul 7.
6
KIF4A enhanced cell proliferation and migration via Hippo signaling and predicted a poor prognosis in esophageal squamous cell carcinoma.KIF4A 通过 Hippo 信号通路增强食管鳞癌细胞的增殖和迁移,并预测其预后不良。
Thorac Cancer. 2021 Feb;12(4):512-524. doi: 10.1111/1759-7714.13787. Epub 2020 Dec 21.
7
Tankyrase1 antisense oligodeoxynucleotides suppress the proliferation, migration and invasion through Hippo/YAP pathway in human osteosarcoma cells.Tankyrase1 反义寡核苷酸通过 Hippo/YAP 通路抑制人骨肉瘤细胞的增殖、迁移和侵袭。
Pathol Res Pract. 2019 Jun;215(6):152381. doi: 10.1016/j.prp.2019.03.010. Epub 2019 Mar 5.
8
(S)-10-Hydroxycamptothecin Inhibits EMT-evoked Osteosarcoma Cell Growth and Metastasis by Activating the HIPPO Signaling Pathway.(S)-10-羟基喜树碱通过激活 Hippo 信号通路抑制 EMT 诱导的骨肉瘤细胞生长和转移。
Comb Chem High Throughput Screen. 2024;27(15):2239-2248. doi: 10.2174/0113862073263020231220043405.
9
miR-17-5p promotes proliferation and epithelial-mesenchymal transition in human osteosarcoma cells by targeting SRC kinase signaling inhibitor 1.miR-17-5p 通过靶向 SRC 激酶信号抑制剂 1 促进人骨肉瘤细胞的增殖和上皮-间充质转化。
J Cell Biochem. 2019 Apr;120(4):5495-5504. doi: 10.1002/jcb.27832. Epub 2018 Oct 9.
10
Aspirin Exerts Its Antitumor Effect in Esophageal Squamous Cell Carcinoma by Downregulating the Expression of ATAD2 and KIF4A.阿司匹林通过下调 ATAD2 和 KIF4A 的表达发挥其在食管鳞癌中的抗肿瘤作用。
Anal Cell Pathol (Amst). 2022 Aug 21;2022:7005328. doi: 10.1155/2022/7005328. eCollection 2022.

引用本文的文献

1
DEPDC1 facilitated malignant phenotypes and disease progression of liposarcoma by modulating KIF20A.DEPDC1通过调节KIF20A促进脂肪肉瘤的恶性表型和疾病进展。
Front Endocrinol (Lausanne). 2025 Jun 17;16:1591390. doi: 10.3389/fendo.2025.1591390. eCollection 2025.
2
DEP domain‑containing 1 is a prognostic biomarker associated with the cell cycle in gliomas.含DEP结构域蛋白1是一种与胶质瘤细胞周期相关的预后生物标志物。
Oncol Lett. 2025 Apr 7;29(6):276. doi: 10.3892/ol.2025.15022. eCollection 2025 Jun.
3
Roles of DEPDC1 in various types of cancer (Review).

本文引用的文献

1
Identification of potential key genes and functional role of CENPF in osteosarcoma using bioinformatics and experimental analysis.利用生物信息学和实验分析鉴定骨肉瘤中潜在的关键基因及CENPF的功能作用。
Exp Ther Med. 2022 Jan;23(1):80. doi: 10.3892/etm.2021.11003. Epub 2021 Nov 25.
2
Linc-ROR facilitates progression and angiogenesis of hepatocellular carcinoma by modulating DEPDC1 expression.Linc-ROR 通过调节 DEPDC1 表达促进肝癌的进展和血管生成。
Cell Death Dis. 2021 Nov 5;12(11):1047. doi: 10.1038/s41419-021-04303-5.
3
Enhanced expression of KIF4A in osteosarcoma predicts a poor prognosis and facilitates tumor growth by activation of the MAPK pathway.
DEPDC1在各类癌症中的作用(综述)
Oncol Lett. 2024 Aug 29;28(5):518. doi: 10.3892/ol.2024.14651. eCollection 2024 Nov.
4
DEPDC1 affects autophagy-dependent glycolysis levels in human osteosarcoma cells by modulating RAS/ERK signaling through TTK.DEP 域蛋白 1 通过调节 TTK 介导的 RAS/ERK 信号通路影响人骨肉瘤细胞自噬依赖性糖酵解水平。
Anticancer Drugs. 2024 Nov 1;35(10):893-901. doi: 10.1097/CAD.0000000000001643. Epub 2024 Jul 15.
5
Targeting DEP domain containing 1 in anaplastic thyroid carcinoma: Implications for stemness regulation and malignant phenotype suppression.靶向间变性甲状腺癌中含DEP结构域蛋白1:对干性调节和恶性表型抑制的影响
Heliyon. 2024 Feb 29;10(5):e27150. doi: 10.1016/j.heliyon.2024.e27150. eCollection 2024 Mar 15.
6
Single cell RNA sequencing reveals endothelial cell killing and resolution pathways in experimental malaria-associated acute respiratory distress syndrome.单细胞 RNA 测序揭示了实验性疟疾相关急性呼吸窘迫综合征中内皮细胞杀伤和修复途径。
PLoS Pathog. 2024 Jan 18;20(1):e1011929. doi: 10.1371/journal.ppat.1011929. eCollection 2024 Jan.
骨肉瘤中KIF4A的表达增强预示预后不良,并通过激活丝裂原活化蛋白激酶(MAPK)途径促进肿瘤生长。
Exp Ther Med. 2021 Nov;22(5):1339. doi: 10.3892/etm.2021.10774. Epub 2021 Sep 22.
4
ALPK2 acts as tumor promotor in development of bladder cancer through targeting DEPDC1A.ALK2 通过靶向 DEPDC1A 作为膀胱癌发展的肿瘤促进剂。
Cell Death Dis. 2021 Jul 1;12(7):661. doi: 10.1038/s41419-021-03947-7.
5
Identification of KIF4A as a pan-cancer diagnostic and prognostic biomarker via bioinformatics analysis and validation in osteosarcoma cell lines.通过生物信息学分析及在骨肉瘤细胞系中的验证鉴定KIF4A作为泛癌诊断和预后生物标志物
PeerJ. 2021 May 21;9:e11455. doi: 10.7717/peerj.11455. eCollection 2021.
6
Long noncoding RNA KTN1 antisense RNA 1exerts an oncogenic function in lung adenocarcinoma by regulating DEP domain containing 1 expression via activating epithelial-mesenchymal transition.长链非编码 RNA KTN1 反义 RNA 通过激活上皮-间充质转化来调节 DEP 结构域包含蛋白 1 的表达,从而在肺腺癌中发挥致癌功能。
Anticancer Drugs. 2021 Jun 1;32(6):614-625. doi: 10.1097/CAD.0000000000001035.
7
Hsa_circ_0005273 facilitates breast cancer tumorigenesis by regulating YAP1-hippo signaling pathway.hsa_circ_0005273 通过调节 Yap1-hippo 信号通路促进乳腺癌肿瘤发生。
J Exp Clin Cancer Res. 2021 Jan 12;40(1):29. doi: 10.1186/s13046-021-01830-z.
8
DEPDC1 upregulation promotes cell proliferation and predicts poor prognosis in patients with gastric cancer.DEP 结构域蛋白 1 上调促进胃癌患者的细胞增殖并预示不良预后。
Cancer Biomark. 2021;30(3):299-307. doi: 10.3233/CBM-201760.
9
KIF4A enhanced cell proliferation and migration via Hippo signaling and predicted a poor prognosis in esophageal squamous cell carcinoma.KIF4A 通过 Hippo 信号通路增强食管鳞癌细胞的增殖和迁移,并预测其预后不良。
Thorac Cancer. 2021 Feb;12(4):512-524. doi: 10.1111/1759-7714.13787. Epub 2020 Dec 21.
10
Identification of Prognostic Markers in Cholangiocarcinoma Using Altered DNA Methylation and Gene Expression Profiles.利用DNA甲基化和基因表达谱改变鉴定胆管癌的预后标志物
Front Genet. 2020 Oct 20;11:522125. doi: 10.3389/fgene.2020.522125. eCollection 2020.