Suppr超能文献

超声测量健康妊娠胎儿肾脏长度:与胎龄的关系。

Ultrasound Measurement of Foetal Kidney Length during Healthy Pregnancy: Relationship with Gestational Age.

机构信息

Department of Radiology, Niger Delta University Teaching Hospital, Okolobiri, Nigeria.

Silhouette Radiodiagnostic Consultants, Yenagoa, Bayelsa State, Nigeria.

出版信息

Ethiop J Health Sci. 2023 Jan;33(1):97-106. doi: 10.4314/ejhs.v33i1.13.

Abstract

BACKGROUND

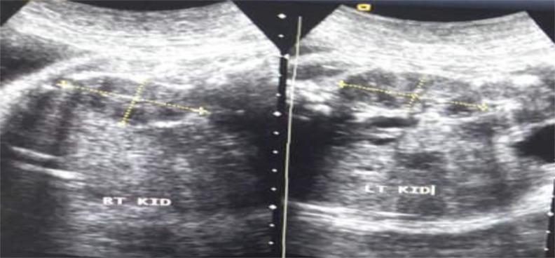
Foetal kidney length (FKL) measurements and comparisons to normal charts can be used to assess the development of the foetal kidneys throughout the entire course of pregnancy. This study was designed to assess FKL between 20 - 40 weeks' gestation, establish reference ranges for FKL and determine the relationship between FKL and gestational age (GA) in normal pregnancy.

METHODS

This descriptive, cross-sectional study was conducted between March-August 2022, at the Obstetric Units and Radiology Departments of the two tertiary health facilities, one secondary facility and one radio-diagnostic facility in Bayelsa State, Southern Nigeria. Transabdominal ultrasound scan was used to evaluate the foetal kidneys. The relationship between foetal kidney dimensions and GA was explored using Pearson's correlation analysis. Linear regression analysis was done to define the relationship between GA and mean kidney length (MKL). A nomogram predicting GA from MKL was constructed. Level of significance was set at p<0.05.

RESULTS

There was a very strong significant correlation between foetal renal dimensions and GA. The correlation coefficient between GA and mean FKL, width and anteroposterior diameter were 0.89 (p=0.001), 0.87 (p=0.001) and 0.82 (p=0.001), respectively. A unit change in mean FKL corresponded to a 79% change in GA (ɼ2), showing a very strong association between mean FKL and GA. The regression equation: GA = 9.87 + 5.91 x MKL, was derived for estimation of GA for a given MKL.

CONCLUSIONS

Our study revealed a significant relationship between FKL and GA. The FKL can therefore be reliably used to estimate GA.

摘要

背景

胎儿肾脏长度(FKL)的测量值与正常图表进行比较,可用于评估胎儿肾脏在整个妊娠过程中的发育情况。本研究旨在评估 20-40 孕周的 FKL,建立 FKL 的参考范围,并确定正常妊娠中 FKL 与胎龄(GA)之间的关系。

方法

本研究为描述性、横断面研究,于 2022 年 3 月至 8 月在尼日利亚南部巴耶尔萨州的两家三级医疗机构、一家二级医疗机构和一家放射诊断机构的产科病房和放射科进行。使用经腹超声扫描评估胎儿肾脏。采用 Pearson 相关分析探讨胎儿肾脏尺寸与 GA 的关系。采用线性回归分析定义 GA 与平均肾脏长度(MKL)之间的关系。构建了一个从 MKL 预测 GA 的列线图。显著性水平设为 p<0.05。

结果

胎儿肾脏尺寸与 GA 之间存在非常强的显著相关性。GA 与平均 FKL、宽度和前后径的相关系数分别为 0.89(p=0.001)、0.87(p=0.001)和 0.82(p=0.001)。平均 FKL 的单位变化对应于 GA 的 79%变化(ɼ2),表明平均 FKL 与 GA 之间存在很强的关联。回归方程:GA=9.87+5.91xMKL,用于估计给定 MKL 时的 GA。

结论

我们的研究表明 FKL 与 GA 之间存在显著关系。因此,FKL 可可靠地用于估计 GA。

https://cdn.ncbi.nlm.nih.gov/pmc/blobs/d21e/9987282/aaafa5c10bec/EJHS3301-0097Fig2.jpg

文献检索

告别复杂PubMed语法,用中文像聊天一样搜索,搜遍4000万医学文献。AI智能推荐,让科研检索更轻松。

立即免费搜索

文件翻译

保留排版,准确专业,支持PDF/Word/PPT等文件格式,支持 12+语言互译。

免费翻译文档

深度研究

AI帮你快速写综述,25分钟生成高质量综述,智能提取关键信息,辅助科研写作。

立即免费体验