Banday Sumeera, Khan Shamim U, Khan Sabina, Anand Surinderpal S, Shah Ashok
Department of Respiratory Medicine, Hamdard Institute of Medical Sciences and Research, Jamia Hamdard University, New Delhi, India.
Department of Pathology, Hamdard Institute of Medical Sciences and Research, Jamia Hamdard University, New Delhi, India.
J Family Med Prim Care. 2022 Dec;11(12):7960-7964. doi: 10.4103/jfmpc.jfmpc_973_22. Epub 2023 Jan 17.
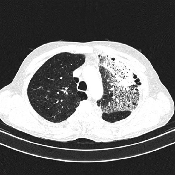
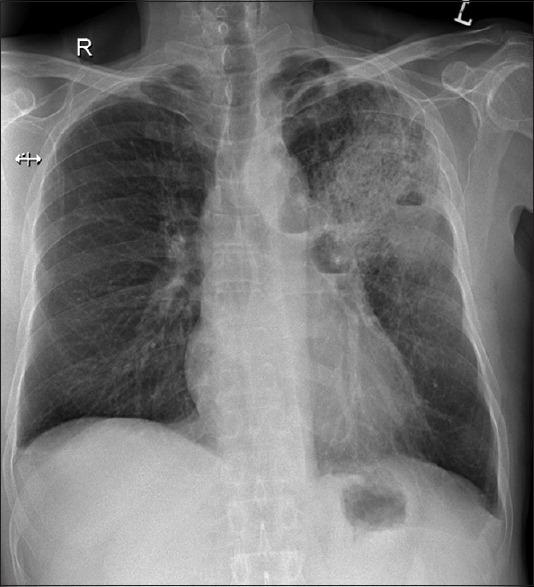
The 'crazy-paving' pattern on high resolution computed tomography (HRCT) is a distinct imaging appearance that is still considered to be a radiological hallmark of pulmonary alveolar proteinosis. However, since its first description about three decades ago, more than 40 different clinical entities presenting as 'crazy-paving' patterns have been documented. This rather remarkable but uncommon imaging appearance is now considered to be a non-specific manifestation. A 62-year-old male referred for evaluation of productive cough, breathlessness and fever presented with 'crazy-paving' pattern on HRCT. Endobronchial biopsy done on presentation was consistent with the diagnosis of squamous cell carcinoma. This report highlights this atypical presentation of squamous cell carcinoma of the lung and adds to the increasing list of clinical entities presenting as a 'crazy-paving' pattern. To our knowledge, squamous cell carcinoma presenting as a 'crazy-paving' pattern on HRCT is yet to be documented.
高分辨率计算机断层扫描(HRCT)上的“碎石路”样表现是一种独特的影像学表现,至今仍被视为肺泡蛋白沉积症的放射学特征。然而,自大约三十年前首次描述以来,已有超过40种不同的临床病症表现为“碎石路”样影像。这种相当显著但并不常见的影像表现现在被认为是非特异性的。一名因咳嗽、气促和发热前来评估的62岁男性,其HRCT呈现“碎石路”样表现。初诊时进行的支气管活检结果与鳞状细胞癌的诊断相符。本报告强调了肺鳞状细胞癌的这种非典型表现,并增加了表现为“碎石路”样影像的临床病症的种类。据我们所知,HRCT上表现为“碎石路”样影像的鳞状细胞癌尚未见报道。