Suppr超能文献

盆腔和腹壁侵袭性血管黏液瘤:对化学消融治疗的显著反应。

Aggressive angiomyxoma of the pelvis and abdominal wall: Dramatic response to chemical ablation therapy.

作者信息

Li Liu, Chuang He, He-Nan Liu, Dong-Yuan Li, Qing-Hua Liang, Wei Li, Liang-Shan Li, Ting-Yuan Li, Xue-Quan Huang

机构信息

Department of Nuclear Medicine (Treatment Center of Minimally Invasive Intervention and Radioactive Particles), First Affiliated Hospital of the Army Medical University, Chongqing, China.

出版信息

Front Oncol. 2023 Mar 16;13:1154283. doi: 10.3389/fonc.2023.1154283. eCollection 2023.

Abstract

OBJECTIVE

Aggressive angiomyxoma (AAM) is a rare, locally aggressive soft tissue neoplasm with a marked tendency for local recurrence after surgery. Although hormone therapy, radiation therapy, and vascular embolization can be performed, we investigated the safety and efficacy of a new chemical ablation protocol for AAM.

METHODS

This study included two female AAM patients from 2012 to 2016. The patients' clinical and imaging data were collected. The amount of anhydrous ethanol and glacial acetic acid used for chemical ablation was documented, and the management of any complications was detailed.

RESULTS

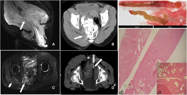
The maximum dimensions of the residual tumor were 12.6 cm and 14.0 cm. In one case, the lesion was in the pelvis and protruded into the vulva. Eighty milliliters of liquid with a mixture of glacial acetic acid, anhydrous ethanol, and iohexol (10:9:1) was used for chemical ablation therapy multipoint injections with a single needle. However, a pelvic fistula developed 1 month later. In another case, the lesion was located in the abdominal wall. The ablation procedure was improved by performing chemical ablation therapy with multiple needles for multi-point injections of smaller than 30 ml injections for each procedure. To date, no recurrence or metastasis has been observed in the two cases.

CONCLUSION

The preferred treatment for AAM is complete resection. Chemical ablation therapy is a novel adjuvant therapy for AMM. Nonetheless, more research is needed to confirm these findings.

摘要

目的

侵袭性血管黏液瘤(AAM)是一种罕见的、具有局部侵袭性的软组织肿瘤,术后有明显的局部复发倾向。尽管可以进行激素治疗、放射治疗和血管栓塞,但我们研究了一种新的化学消融方案治疗AAM的安全性和有效性。

方法

本研究纳入了2012年至2016年的2例女性AAM患者。收集患者的临床和影像学资料。记录用于化学消融的无水乙醇和冰醋酸的用量,并详细记录任何并发症的处理情况。

结果

残留肿瘤的最大直径分别为12.6 cm和14.0 cm。1例病变位于盆腔并突出至外阴。采用冰醋酸、无水乙醇和碘海醇(10:9:1)混合液80 ml进行化学消融治疗,单针多点注射。然而,1个月后出现盆腔瘘。另1例病变位于腹壁。通过采用多针化学消融治疗,每次多点注射量小于30 ml,改进了消融操作。迄今为止,2例均未观察到复发或转移。

结论

AAM的首选治疗方法是完整切除。化学消融治疗是AMM的一种新型辅助治疗方法。尽管如此,仍需要更多的研究来证实这些发现。

https://cdn.ncbi.nlm.nih.gov/pmc/blobs/627a/10061005/1243798edc00/fonc-13-1154283-g001.jpg

文献AI研究员

20分钟写一篇综述,助力文献阅读效率提升50倍。

立即体验

用中文搜PubMed

大模型驱动的PubMed中文搜索引擎

马上搜索

文档翻译

学术文献翻译模型,支持多种主流文档格式。

立即体验