• 文献检索
  • 文档翻译
  • 深度研究
  • 学术资讯
  • Suppr Zotero 插件Zotero 插件
  • 邀请有礼
  • 套餐&价格
  • 历史记录
应用&插件
Suppr Zotero 插件Zotero 插件浏览器插件Mac 客户端Windows 客户端微信小程序
定价
高级版会员购买积分包购买API积分包
服务
文献检索文档翻译深度研究API 文档MCP 服务
关于我们
关于 Suppr公司介绍联系我们用户协议隐私条款
关注我们

Suppr 超能文献

核心技术专利:CN118964589B侵权必究
粤ICP备2023148730 号-1Suppr @ 2026

文献检索

告别复杂PubMed语法,用中文像聊天一样搜索,搜遍4000万医学文献。AI智能推荐,让科研检索更轻松。

立即免费搜索

文件翻译

保留排版,准确专业,支持PDF/Word/PPT等文件格式,支持 12+语言互译。

免费翻译文档

深度研究

AI帮你快速写综述,25分钟生成高质量综述,智能提取关键信息,辅助科研写作。

立即免费体验

一名绝经后患者的独特髌腱断裂和小的胫骨撕脱骨折

A Unique Patellar Tendon Rupture and Small Tibial Avulsion fracture in a Post-Menopausal Patient.

作者信息

Musallam Baraa, Romano Victor

机构信息

Department of Surgery and Anesthesia, Midwestern University, 555 31st St, Downers Grove, IL 60515.

Department of Orthopaedic Surgery, Romano Orthopaedic Center, 7411 Lake St, Suite 2110, River Forest, IL 60305.

出版信息

J Orthop Case Rep. 2022 Dec;12(12):16-20. doi: 10.13107/jocr.2022.v12.i12.3446.

DOI:10.13107/jocr.2022.v12.i12.3446
PMID:37056583
原文链接:https://pmc.ncbi.nlm.nih.gov/articles/PMC10088384/
Abstract

INTRODUCTION

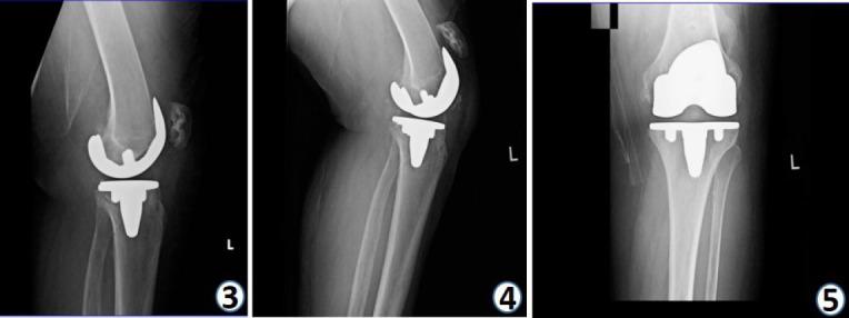
This study highlights the case of a 75-year-old female patient with a history of bilateral knee replacements who presented with a subacute patellar tendon rupture that occurred after falling on her left knee.

CASE REPORT

The patient had a left total knee replacement one year previously and came in for her one-year follow-up. She presented 3 weeks after her injury with a high-riding patella and a small tibial tubercle avulsion fracture on X-ray, yet she did not experience much pain nor any loss of active extension of her left knee. Despite the severity and subacute presentation of the patient's patellar tendon injury, conservative measures that included physical and occupational therapy was recommended instead of surgery due to her paradoxical retention in gross function of her left knee.

CONCLUSION

Showcasing this patient's case may provide further understanding of patellar tendon ruptures and tibial avulsion fractures, specifically factors that allow the patient to retain strength and extensor function in her knee to curb the need for surgery.

摘要

引言

本研究重点介绍了一名75岁女性患者的病例,该患者有双侧膝关节置换病史,因左膝着地摔倒后出现亚急性髌腱断裂。

病例报告

该患者一年前进行了左全膝关节置换术,前来进行一年的随访。她在受伤3周后就诊,X线显示髌骨高位及小的胫骨结节撕脱骨折,但她左膝疼痛不明显,主动伸直功能也未丧失。尽管患者髌腱损伤严重且呈亚急性表现,但由于其左膝总体功能存在矛盾性保留,建议采取包括物理治疗和职业治疗在内的保守措施而非手术治疗。

结论

展示该患者的病例可能有助于进一步了解髌腱断裂和胫骨撕脱骨折,特别是那些使患者能够保留膝关节力量和伸肌功能从而避免手术的因素。

https://cdn.ncbi.nlm.nih.gov/pmc/blobs/db95/10088384/95dd73e1eb47/JOCR-12-16-g002.jpg
https://cdn.ncbi.nlm.nih.gov/pmc/blobs/db95/10088384/b6574a02dc7c/JOCR-12-16-g001.jpg
https://cdn.ncbi.nlm.nih.gov/pmc/blobs/db95/10088384/95dd73e1eb47/JOCR-12-16-g002.jpg
https://cdn.ncbi.nlm.nih.gov/pmc/blobs/db95/10088384/b6574a02dc7c/JOCR-12-16-g001.jpg
https://cdn.ncbi.nlm.nih.gov/pmc/blobs/db95/10088384/95dd73e1eb47/JOCR-12-16-g002.jpg

相似文献

1
A Unique Patellar Tendon Rupture and Small Tibial Avulsion fracture in a Post-Menopausal Patient.一名绝经后患者的独特髌腱断裂和小的胫骨撕脱骨折
J Orthop Case Rep. 2022 Dec;12(12):16-20. doi: 10.13107/jocr.2022.v12.i12.3446.
2
Combined Tibial Tubercle Fracture and Patellar Tendon Avulsion: Surgical Technique and Case Report.胫骨结节骨折合并髌腱撕脱:手术技术与病例报告
J Orthop Case Rep. 2018 May-Jun;8(3):18-22. doi: 10.13107/jocr.2250-0685.1090.
3
Combined Tibial Tubercle Fracture With Patellar Tendon Avulsion in an Adult: A Rare Case and Novel Fixation Technique.成人合并胫骨结节骨折与髌腱撕脱:1例罕见病例及新型固定技术
Cureus. 2020 May 2;12(5):e7929. doi: 10.7759/cureus.7929.
4
[Bifocal avulsion of the patellar tendon in an adult: a case report].[成人髌腱双焦点撕脱伤:一例报告]
Rev Chir Orthop Reparatrice Appar Mot. 2001 Jun;87(4):388-91.
5
Acute traumatic rupture of the patellar tendon in pediatric population: Case series and review of the literature.儿童人群髌腱急性创伤性断裂:病例系列及文献综述
Injury. 2017 Nov;48(11):2515-2521. doi: 10.1016/j.injury.2017.08.069. Epub 2017 Sep 1.
6
Acute patellar tendon rupture with tibial tubercle avulsion repair using suture anchors: Tiny avulsed fragment which affects the strength of construction-a case report.使用缝合锚钉修复急性髌腱断裂伴胫骨结节撕脱:影响重建强度的微小撕脱碎片——病例报告
Int J Surg Case Rep. 2022 Jul;96:107283. doi: 10.1016/j.ijscr.2022.107283. Epub 2022 Jun 10.
7
Neglected Rupture of the Patellar Tendon After Fixation of Tibial Tubercle Avulsion in an Adolescent Male Managed With Ipsilateral Semitendinosus Autograft Reconstruction.一名青少年男性胫骨结节撕脱固定术后髌腱延迟性断裂,采用同侧半腱肌自体移植重建治疗
Cureus. 2021 Jun 1;13(6):e15368. doi: 10.7759/cureus.15368. eCollection 2021 Jun.
8
Repair of Patellar Tendon Avulsion from the Tibial Tubercle: Case Report.胫骨结节髌腱撕脱伤的修复:病例报告
J Orthop Case Rep. 2019;9(5):26-30. doi: 10.13107/jocr.2250-0685.1518.
9
Tibial tuberosity avulsion-fracture associated with complete distal rupture of the patellar tendon: A case report and review of literature.胫骨结节撕脱骨折合并髌腱完全远端断裂:1例病例报告及文献复习
World J Orthop. 2020 Dec 18;11(12):615-626. doi: 10.5312/wjo.v11.i12.615.
10
[Fractures of the tibial tuberosity associated with avulsion of the patellar ligament in adolescents].青少年胫骨结节骨折伴髌韧带撕脱
Rev Chir Orthop Reparatrice Appar Mot. 1995;81(7):635-8.

本文引用的文献

1
Neglected Rupture of the Patellar Tendon After Fixation of Tibial Tubercle Avulsion in an Adolescent Male Managed With Ipsilateral Semitendinosus Autograft Reconstruction.一名青少年男性胫骨结节撕脱固定术后髌腱延迟性断裂,采用同侧半腱肌自体移植重建治疗
Cureus. 2021 Jun 1;13(6):e15368. doi: 10.7759/cureus.15368. eCollection 2021 Jun.
2
Combined Tibial Tubercle Fracture With Patellar Tendon Avulsion in an Adult: A Rare Case and Novel Fixation Technique.成人合并胫骨结节骨折与髌腱撕脱:1例罕见病例及新型固定技术
Cureus. 2020 May 2;12(5):e7929. doi: 10.7759/cureus.7929.
3
Surgical Technique to Bring Down the Patellar Height and to Reconstruct the Tendon for Chronic Patellar Tendon Rupture.
降低髌骨高度并重建慢性髌腱断裂肌腱的手术技术
Arthrosc Tech. 2017 Oct 16;6(5):e1897-e1901. doi: 10.1016/j.eats.2017.07.015. eCollection 2017 Oct.
4
An overview and management of osteoporosis.骨质疏松症概述与管理
Eur J Rheumatol. 2017 Mar;4(1):46-56. doi: 10.5152/eurjrheum.2016.048. Epub 2016 Dec 30.
5
Avulsion Fracture of the Tibial Tubercle Associated With Patellar Tendon Avulsion.胫骨结节撕脱骨折伴髌腱撕脱
Orthopedics. 2016 May 1;39(3):e561-4. doi: 10.3928/01477447-20160414-02. Epub 2016 Apr 18.
6
Complications in brief: Quadriceps and patellar tendon tears.并发症简述:股四头肌和髌腱撕裂。
Clin Orthop Relat Res. 2014 Mar;472(3):1050-7. doi: 10.1007/s11999-013-3396-6. Epub 2013 Dec 12.
7
Denosumab for treatment of postmenopausal osteoporosis.地舒单抗治疗绝经后骨质疏松症。
Am J Health Syst Pharm. 2011 Aug 1;68(15):1409-18. doi: 10.2146/ajhp100493.
8
Preventing osteoporosis-related fractures: an overview.预防骨质疏松症相关骨折:概述
Am J Med. 2006 Apr;119(4 Suppl 1):S3-S11. doi: 10.1016/j.amjmed.2005.12.017.
9
American Association of Clinical Endocrinologists medical guidelines for clinical practice for the prevention and treatment of postmenopausal osteoporosis: 2001 edition, with selected updates for 2003.美国临床内分泌医师协会绝经后骨质疏松症预防与治疗临床实践医学指南:2001版,并包含2003年的部分更新内容。
Endocr Pract. 2003 Nov-Dec;9(6):544-64. doi: 10.4158/EP.9.6.544.
10
Assessment of fracture risk and its application to screening for postmenopausal osteoporosis. Report of a WHO Study Group.骨折风险评估及其在绝经后骨质疏松症筛查中的应用。世界卫生组织研究小组报告。
World Health Organ Tech Rep Ser. 1994;843:1-129.