Suppr超能文献

两种化疗药物输注方法在下肢骨与软组织肉瘤患者中的对比研究。

A comparative study between two methods of delivery of chemotherapeutic agent in patients with bone and soft tissue sarcoma of lower extremity.

机构信息

Department of Orthopedics, The Fourth Hospital of Hebei Medical University, Hebei Provincial Cancer Institute, Shijiazhuang, Hebei, China.

Department of Orthopedics, Cangzhou Central Hospital, Cangzhou, Hebei, China.

出版信息

BMC Musculoskelet Disord. 2023 Apr 22;24(1):317. doi: 10.1186/s12891-023-06417-7.

Abstract

BACKGROUND

We aimed to compare the effects of peripherally inserted central catheters (PICC) and implantable venous access devices (TIVADs) in terms of complications and shoulder function in patients with malignant bone and soft tissue tumors of the lower extremities.

METHODS

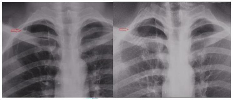
We analyzed 65 cases of TIVADs (chest wall) and 65 cases of PICC at the orthopedic department of the Fourth Hospital of Hebei Medical University between June 2019 and December 2021, which were diagnosed with malignant bone tumors or soft tissue tumors of the lower extremities (tumors had to be relatively sensitive to chemotherapy), received regular chemotherapy, with ≥ 14 cycles (42 weeks). The two groups were compared in terms of catheter indwelling time, catheter-related complications, Constant-Murley shoulder function score, and displacement of the position of the catheter end on the catheterization side.

RESULTS

Compared to the PICC group, at six months after catheterization, the TIVADs group reported better outcomes for catheter indwelling time, catheter-related complications, and Constant-Murley score for the catheterization-side shoulder joint (p < 0.05). The TIVADs group also reported less displacement of the catheter end position after 180° abduction of the catheterization-side shoulder joint (p < 0.05).

CONCLUSIONS

Compared with PICC, TIVADs can prolong catheter indwelling time, reduce catheter-related complications, and maintain shoulder joint function, which makes it an ideal venous-access approach when providing chemotherapy to patients with malignant bone and soft tissue tumors of the lower extremities.

摘要

背景

我们旨在比较外周中心静脉置管(PICC)和植入式静脉输液港(TIVAD)在下肢恶性骨和软组织肿瘤患者中的并发症和肩部功能方面的差异。

方法

我们分析了 2019 年 6 月至 2021 年 12 月河北医科大学第四医院骨科收治的 65 例 TIVAD(胸壁)和 65 例 PICC 患者,这些患者被诊断为下肢恶性骨肿瘤或软组织肿瘤(肿瘤必须对化疗相对敏感),接受常规化疗,≥14 个周期(42 周)。比较两组导管留置时间、导管相关并发症、Constant-Murley 肩关节功能评分和导管侧导管末端位置的移位情况。

结果

与 PICC 组相比,TIVAD 组在导管留置时间、导管相关并发症和导管侧肩关节 Constant-Murley 评分方面的结果在导管置入后 6 个月时更好(p<0.05)。TIVAD 组在导管侧肩关节外展 180°后导管末端位置的移位也较少(p<0.05)。

结论

与 PICC 相比,TIVAD 可延长导管留置时间,减少导管相关并发症,保持肩关节功能,是下肢恶性骨和软组织肿瘤患者化疗时理想的静脉入路方法。

https://cdn.ncbi.nlm.nih.gov/pmc/blobs/f37c/10122285/6b7f206fd1a1/12891_2023_6417_Fig1_HTML.jpg

文献AI研究员

20分钟写一篇综述,助力文献阅读效率提升50倍。

立即体验

用中文搜PubMed

大模型驱动的PubMed中文搜索引擎

马上搜索

文档翻译

学术文献翻译模型,支持多种主流文档格式。

立即体验