• 文献检索
  • 文档翻译
  • 深度研究
  • 学术资讯
  • Suppr Zotero 插件Zotero 插件
  • 邀请有礼
  • 套餐&价格
  • 历史记录
应用&插件
Suppr Zotero 插件Zotero 插件浏览器插件Mac 客户端Windows 客户端微信小程序
定价
高级版会员购买积分包购买API积分包
服务
文献检索文档翻译深度研究API 文档MCP 服务
关于我们
关于 Suppr公司介绍联系我们用户协议隐私条款
关注我们

Suppr 超能文献

核心技术专利:CN118964589B侵权必究
粤ICP备2023148730 号-1Suppr @ 2026

文献检索

告别复杂PubMed语法,用中文像聊天一样搜索,搜遍4000万医学文献。AI智能推荐,让科研检索更轻松。

立即免费搜索

文件翻译

保留排版,准确专业,支持PDF/Word/PPT等文件格式,支持 12+语言互译。

免费翻译文档

深度研究

AI帮你快速写综述,25分钟生成高质量综述,智能提取关键信息,辅助科研写作。

立即免费体验

通过内镜手术对胶质母细胞瘤进行微创治疗,必要时包括肿瘤栓塞:技术说明

Minimally invasive treatment for glioblastoma through endoscopic surgery including tumor embolization when necessary: a technical note.

作者信息

Sakata Tomohiro, Tanikawa Motoki, Yamada Hiroshi, Fujinami Ryota, Nishikawa Yusuke, Yamada Shigeki, Mase Mitsuhito

机构信息

Department of Neurosurgery, Nagoya City University Graduate School of Medical Sciences, Nagoya, Japan.

出版信息

Front Neurol. 2023 Apr 21;14:1170045. doi: 10.3389/fneur.2023.1170045. eCollection 2023.

DOI:10.3389/fneur.2023.1170045
PMID:37153685
原文链接:https://pmc.ncbi.nlm.nih.gov/articles/PMC10160401/
Abstract

BACKGROUND

Although there have been some reports on endoscopic glioblastoma surgery, the indication has been limited to deep-seated lesions, and the difficulty of hemostasis has been a concern. In that light, we attempted to establish an endoscopic procedure for excision of glioblastoma which could be applied even to hypervascular or superficial lesions, in combination with pre-operative endovascular tumor embolization.

METHODS

Medical records of six consecutive glioblastoma patients who received exclusive endoscopic removal between September and November 2020 were analyzed. Preoperative tumor embolization was performed in cases with marked tumor stain and proper feeder arteries having an abnormal shape, for instance, tortuous or dilated, without passing through branches to the normal brain. Endoscopic tumor removal through a key-hole craniotomy was performed by using an inside-out excision for a deep-seated lesion, with the addition of an outside-in extirpation for a shallow portion when needed.

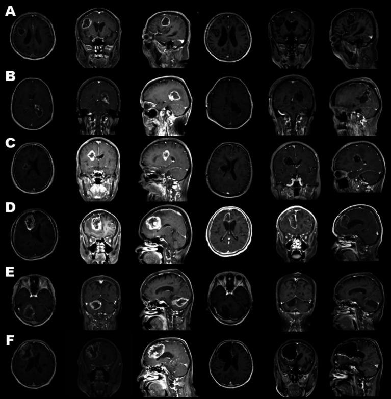
RESULTS

Endoscopic removal was successfully performed in all six cases. Before resection, endovascular tumor embolization was performed in four cases with no resulting complications, including ischemia or brain swelling. Gross total resection was achieved in three cases, and near total resection in the other three cases. Intraoperative blood loss exceeded 1,000 ml in only one case, whose tumor showed a prominent tumor stain but no proper feeder artery for embolization. In all patients, a smooth transition to adjuvant therapy was possible with no surgical site infection.

CONCLUSION

Endoscopic removal for glioblastoma was considered to be a promising procedure with minimal invasiveness and a favorable impact on prognosis.

摘要

背景

尽管已有一些关于内镜下胶质母细胞瘤手术的报道,但其适应证仅限于深部病变,止血困难一直是一个问题。有鉴于此,我们尝试建立一种内镜下切除胶质母细胞瘤的手术方法,该方法甚至可应用于血管丰富或浅表病变,并结合术前血管内肿瘤栓塞术。

方法

分析了2020年9月至11月期间连续6例接受单纯内镜下切除的胶质母细胞瘤患者的病历。对于有明显肿瘤染色且供血动脉形态异常(如迂曲或扩张)且不经过正常脑组织分支的病例,进行术前肿瘤栓塞。通过锁孔开颅进行内镜下肿瘤切除,对于深部病变采用由内向外切除,必要时对浅部病变增加由外向内切除。

结果

6例均成功进行了内镜下切除。4例在切除前进行了血管内肿瘤栓塞,未出现包括缺血或脑肿胀在内的并发症。3例实现了肉眼全切,另外3例实现了近全切。仅1例术中失血超过1000ml,该例肿瘤显示明显的肿瘤染色,但无合适的栓塞供血动脉。所有患者均顺利过渡到辅助治疗,无手术部位感染。

结论

内镜下切除胶质母细胞瘤被认为是一种有前景的手术方法,具有微创性且对预后有良好影响。

https://cdn.ncbi.nlm.nih.gov/pmc/blobs/85eb/10160401/ef8321cdb77e/fneur-14-1170045-g004.jpg
https://cdn.ncbi.nlm.nih.gov/pmc/blobs/85eb/10160401/9eabf48bef46/fneur-14-1170045-g001.jpg
https://cdn.ncbi.nlm.nih.gov/pmc/blobs/85eb/10160401/f1f1062739a3/fneur-14-1170045-g002.jpg
https://cdn.ncbi.nlm.nih.gov/pmc/blobs/85eb/10160401/2b4366d266c9/fneur-14-1170045-g003.jpg
https://cdn.ncbi.nlm.nih.gov/pmc/blobs/85eb/10160401/ef8321cdb77e/fneur-14-1170045-g004.jpg
https://cdn.ncbi.nlm.nih.gov/pmc/blobs/85eb/10160401/9eabf48bef46/fneur-14-1170045-g001.jpg
https://cdn.ncbi.nlm.nih.gov/pmc/blobs/85eb/10160401/f1f1062739a3/fneur-14-1170045-g002.jpg
https://cdn.ncbi.nlm.nih.gov/pmc/blobs/85eb/10160401/2b4366d266c9/fneur-14-1170045-g003.jpg
https://cdn.ncbi.nlm.nih.gov/pmc/blobs/85eb/10160401/ef8321cdb77e/fneur-14-1170045-g004.jpg

相似文献

1
Minimally invasive treatment for glioblastoma through endoscopic surgery including tumor embolization when necessary: a technical note.通过内镜手术对胶质母细胞瘤进行微创治疗,必要时包括肿瘤栓塞:技术说明
Front Neurol. 2023 Apr 21;14:1170045. doi: 10.3389/fneur.2023.1170045. eCollection 2023.
2
Preoperative catheter spinal angiography and embolization of cervical spinal tumors: Outcomes from a single center.颈椎肿瘤的术前导管脊髓血管造影及栓塞:单中心研究结果
Interv Neuroradiol. 2016 Aug;22(4):457-65. doi: 10.1177/1591019916637360. Epub 2016 Mar 27.
3
Fenestrated endovascular grafts for the repair of juxtarenal aortic aneurysms: an evidence-based analysis.用于修复近肾主动脉瘤的开窗型血管内移植物:循证分析
Ont Health Technol Assess Ser. 2009;9(4):1-51. Epub 2009 Jul 1.
4
Pterygovaginal artery as a target of embolization before endoscopic skull base surgery.翼阴道动脉作为内镜颅底手术前栓塞的靶血管。
Neuroradiol J. 2021 Dec;34(6):676-682. doi: 10.1177/19714009211013490. Epub 2021 Apr 30.
5
Video. Endoscopic minimally invasive thyroidectomy: first clinical experience.视频. 内镜下微创甲状腺切除术:初步临床经验。
Surg Endosc. 2010 Jul;24(7):1757-8. doi: 10.1007/s00464-009-0820-9. Epub 2009 Dec 25.
6
Preoperative embolization and intraoperative cryocoagulation as adjuncts in resection of hypervascular lesions of the thoracolumbar spine.术前栓塞和术中冷冻凝固作为胸腰椎高血运性病变切除术中的辅助手段。
J Neurosurg. 2002 Oct;97(3 Suppl):294-300. doi: 10.3171/spi.2002.97.3.0294.
7
Successful Preoperative Endovascular Embolization of an Extreme Hypervascular Glioblastoma Mimicking an Arteriovenous Malformation.成功对酷似动静脉畸形的极富血管性胶质母细胞瘤进行术前血管内栓塞治疗。
World Neurosurg. 2016 Feb;86:512.e1-4. doi: 10.1016/j.wneu.2015.10.006. Epub 2015 Oct 14.
8
Endoscope-assisted endonasal versus supraorbital keyhole resection of olfactory groove meningiomas: comparison and combination of 2 minimally invasive approaches.鼻内镜辅助经鼻与眶上锁孔入路切除嗅沟脑膜瘤:两种微创方法的比较与联合应用
J Neurosurg. 2016 Mar;124(3):605-20. doi: 10.3171/2015.1.JNS141884. Epub 2015 Aug 14.
9
The society for gastrointestinal intervention. Are we, as an organization of disparate disciplines, cooperative or competitive?胃肠道介入学会。我们作为一个由不同学科组成的组织,是合作还是竞争?
Gut Liver. 2010 Sep;4 Suppl 1(Suppl 1):S1-8. doi: 10.5009/gnl.2010.4.S1.S1. Epub 2010 Sep 10.
10
Combined Surgical Resection and Laser Interstitial Thermal Therapy for Glioblastoma: Technical Note.胶质母细胞瘤的联合手术切除与激光间质热疗:技术说明
J Neurol Surg A Cent Eur Neurosurg. 2020 Jul;81(4):348-354. doi: 10.1055/s-0040-1709163. Epub 2020 May 3.

引用本文的文献

1
Environmental Hazards and Glial Brain Tumors: Association or Causation?环境危害与胶质脑肿瘤:关联还是因果关系?
Int J Mol Sci. 2025 Aug 1;26(15):7425. doi: 10.3390/ijms26157425.
2
Endovascular Applications for the Management of High-Grade Gliomas in the Modern Era.现代高等级胶质瘤管理中的血管内应用
Cancers (Basel). 2024 Apr 22;16(8):1594. doi: 10.3390/cancers16081594.

本文引用的文献

1
Therapeutic Options for Recurrent Glioblastoma-Efficacy of Talaporfin Sodium Mediated Photodynamic Therapy.复发性胶质母细胞瘤的治疗选择——替拉泊芬钠介导的光动力疗法的疗效
Pharmaceutics. 2022 Feb 2;14(2):353. doi: 10.3390/pharmaceutics14020353.
2
Heads-up Surgery: Endoscopes and Exoscopes for Otology and Neurotology in the Era of the COVID-19 Pandemic.头高位手术:COVID-19 大流行时代耳科学和神经耳科学的内镜和外镜
Otolaryngol Clin North Am. 2021 Feb;54(1):11-23. doi: 10.1016/j.otc.2020.09.024. Epub 2020 Sep 29.
3
Surgical Site Infections after glioblastoma surgery: results of a multicentric retrospective study.
脑胶质母细胞瘤手术后的手术部位感染:一项多中心回顾性研究的结果。
Infection. 2021 Apr;49(2):267-275. doi: 10.1007/s15010-020-01534-0. Epub 2020 Oct 9.
4
The Exoscope versus operating microscope in microvascular surgery: A simulation non-inferiority trial.微血管手术中电子内窥镜与手术显微镜的比较:一项模拟非劣效性试验。
Arch Plast Surg. 2020 May;47(3):242-249. doi: 10.5999/aps.2019.01473. Epub 2020 May 15.
5
Glioblastoma in adults: a Society for Neuro-Oncology (SNO) and European Society of Neuro-Oncology (EANO) consensus review on current management and future directions.成人脑胶质母细胞瘤:神经肿瘤学会(SNO)和欧洲神经肿瘤学会(EANO)关于当前管理和未来方向的共识综述。
Neuro Oncol. 2020 Aug 17;22(8):1073-1113. doi: 10.1093/neuonc/noaa106.
6
Effect of Intraoperative Blood Loss on Perioperative Complications and Neurological Outcome in Adult Patients Undergoing Elective Brain Tumor Surgery.术中失血对择期脑肿瘤手术成年患者围手术期并发症及神经功能转归的影响
J Neurosci Rural Pract. 2019 Oct;10(4):631-640. doi: 10.1055/s-0039-3399487. Epub 2019 Dec 11.
7
Exclusive Endoscopic Occipital Transtentorial Approach for Pineal Region Tumors.松果体区肿瘤的内镜经颅后窝外侧入路
World Neurosurg. 2019 Nov;131:167-173. doi: 10.1016/j.wneu.2019.08.038. Epub 2019 Aug 14.
8
Risk factors for surgical site infection after craniotomy: a prospective cohort study.开颅术后手术部位感染的危险因素:一项前瞻性队列研究。
Antimicrob Resist Infect Control. 2019 May 2;8:69. doi: 10.1186/s13756-019-0525-3. eCollection 2019.
9
Tumor Treating Fields for Glioblastoma Treatment: Patient Satisfaction and Compliance With the Second-Generation Optune System.胶质母细胞瘤治疗中的肿瘤治疗电场:患者对第二代Optune系统的满意度及依从性
Clin Med Insights Oncol. 2019 Jan 29;13:1179554918825449. doi: 10.1177/1179554918825449. eCollection 2019.
10
The Length of Surgical Skin Incision in Postoperative Inflammatory Reaction.手术皮肤切口长度与术后炎症反应
JSLS. 2018 Oct-Dec;22(4). doi: 10.4293/JSLS.2018.00045.