Suppr超能文献

臭氧疗法对大鼠酸性角膜烧伤的影响。

Effects of ozone therapy on acidic corneal burns in rats.

作者信息

Aydoğan Seren, Erol Hanifi, Baran Münevver

机构信息

Veterinary Surgeon, FourVet Veterinary Clinic, Kayseri, Türkiye.

Department of Surgery, Faculty of Veterinary Medicine, University of Erciyes, Kayseri, Türkiye.

出版信息

Vet Res Forum. 2023;14(4):195-199. doi: 10.30466/vrf.2022.551199.3432. Epub 2023 Apr 15.

Abstract

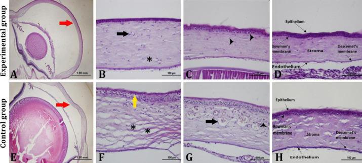
In the present study the effect of ozone therapy on hydrofluoric acid (HFA) related eye burn was investigated in rats. A Total 20 healthy male Wistar albino rats (weighing 250 - 300 g with the age of 16 weeks) were used. They were divided into groups (experimental and control groups) of 10 rats being housed individually and fed . The HFA (2.00%) burn was created in all animals. The ozonized (20.00 µg O mL) bi-distilled water was applied as a drop (10.00 µL each drop) every 8 hr for 7 days in the experimental group. At the same time, 0.90% NaCl was applied as drop (10.00 µL each drop) every 8 hr for 7 days in the control group. In the experimental group, intensive inflammation, angiogenesis, epithelial damage and stromal edema were detected in one animal. Epithelial vascularization and stromal edema were seen in four animals. In control group, only two animals' corneal structures were normal. Inflammation, angiogenesis, epithelial damage, fibrosis, epithelial vascularization and stromal edema were detected in the rest. As a result of this study, it was observed that local usage of ozone therapy had a positive effect on the healing of corneal burns caused by HFA. It was concluded that more ozone-related studies should be done to enlighten the subject.

摘要

在本研究中,对大鼠氢氟酸(HFA)相关眼部烧伤的臭氧治疗效果进行了研究。总共使用了20只健康的雄性Wistar白化大鼠(体重250 - 300克,16周龄)。它们被分成每组10只大鼠的组(实验组和对照组),单独饲养并喂食。所有动物均造成HFA(2.00%)烧伤。实验组每8小时滴注一次臭氧处理过的(20.00 μg O/mL)双蒸水(每滴10.00 μL),持续7天。同时,对照组每8小时滴注一次0.90%氯化钠(每滴10.00 μL),持续7天。在实验组中,一只动物检测到强烈炎症、血管生成、上皮损伤和基质水肿。四只动物出现上皮血管化和基质水肿。在对照组中,只有两只动物的角膜结构正常。其余动物检测到炎症、血管生成、上皮损伤、纤维化、上皮血管化和基质水肿。作为本研究的结果,观察到局部使用臭氧治疗对HFA引起的角膜烧伤愈合有积极作用。得出的结论是,应该进行更多与臭氧相关的研究以阐明该主题。

https://cdn.ncbi.nlm.nih.gov/pmc/blobs/bb61/10170467/0e5252bc7bb8/vrf-14-195-g001.jpg

文献AI研究员

20分钟写一篇综述,助力文献阅读效率提升50倍。

立即体验

用中文搜PubMed

大模型驱动的PubMed中文搜索引擎

马上搜索

文档翻译

学术文献翻译模型,支持多种主流文档格式。

立即体验