Medical School of Guizhou University, Guiyang, 550025, China.
Shanxi Academy of Advanced Research and Innovation, Taiyuan, 030032, China.
Cell Death Dis. 2023 May 16;14(5):327. doi: 10.1038/s41419-023-05849-2.
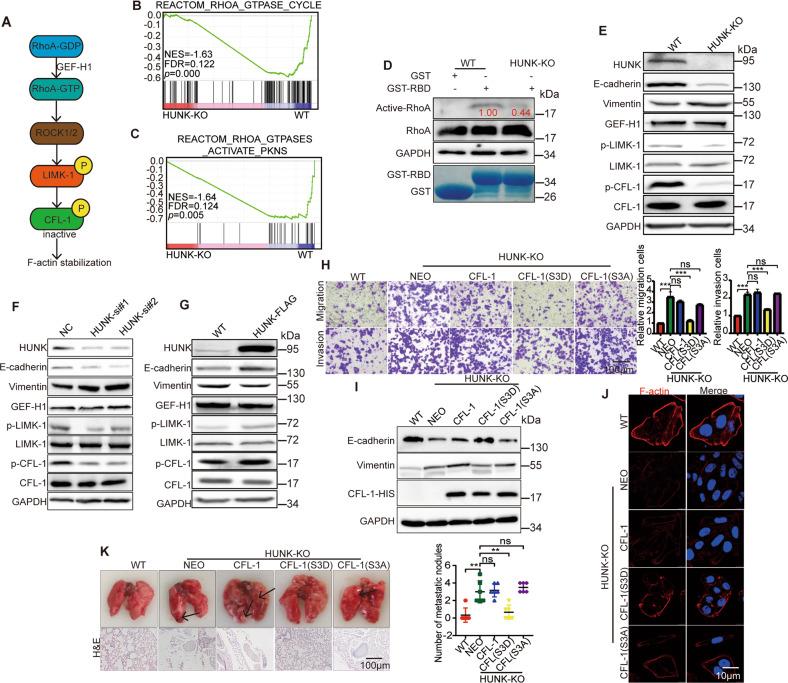
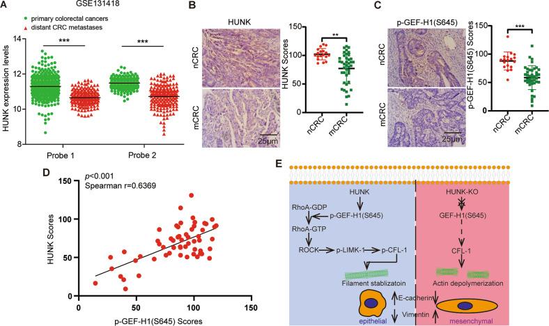
Epithelial-mesenchymal transition (EMT) is associated with the invasive and metastatic phenotypes in colorectal cancer (CRC). However, the mechanisms underlying EMT in CRC are not completely understood. In this study, we find that HUNK inhibits EMT and metastasis of CRC cells via its substrate GEF-H1 in a kinase-dependent manner. Mechanistically, HUNK directly phosphorylates GEF-H1 at serine 645 (S645) site, which activates RhoA and consequently leads to a cascade of phosphorylation of LIMK-1/CFL-1, thereby stabilizing F-actin and inhibiting EMT. Clinically, the levels of both HUNK expression and phosphorylation S645 of GEH-H1 are not only downregulated in CRC tissues with metastasis compared with that without metastasis, but also positively correlated among these tissues. Our findings highlight the importance of HUNK kinase direct phosphorylation of GEF-H1 in regulation of EMT and metastasis of CRC.
上皮-间充质转化(EMT)与结直肠癌(CRC)的侵袭和转移表型有关。然而,CRC 中 EMT 的机制尚不完全清楚。在这项研究中,我们发现 HUNK 通过其激酶依赖性底物 GEF-H1 抑制 CRC 细胞的 EMT 和转移。在机制上,HUNK 直接在丝氨酸 645(S645)位点磷酸化 GEF-H1,激活 RhoA,进而导致 LIMK-1/CFL-1 的级联磷酸化,从而稳定 F-肌动蛋白并抑制 EMT。临床上,与无转移的 CRC 组织相比,具有转移的 CRC 组织中 HUNK 表达和 GEF-H1 的磷酸化 S645 水平不仅下调,而且这些组织中呈正相关。我们的研究结果强调了 HUNK 激酶直接磷酸化 GEF-H1 在调控 CRC 的 EMT 和转移中的重要性。