Suppr超能文献

慢性银屑病的免疫性大疱性转化:诊断难题

Immunobullous Transformation of Protracted Psoriasis: A Diagnostic Dilemma.

作者信息

Ramachandran Kirtanya, Kallabbe Shridhar Rashmi, Vaidya Shriram, Heis Leen, Mee John

机构信息

Geriatrics, Queens Hospital Center, Romford, GBR.

Intensive Therapy Unit, King George Hospital, Ilford, GBR.

出版信息

Cureus. 2023 Apr 16;15(4):e37639. doi: 10.7759/cureus.37639. eCollection 2023 Apr.

Abstract

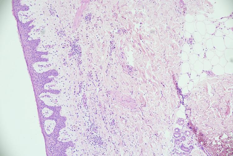
Pemphigus vulgaris is a rare autoimmune disorder, characterised by the development of blistering lesions in the skin and mucosal surfaces throughout the body. It is often misdiagnosed or missed completely in many patients, prolonging their suffering for many years, as it has the ability to mimic an array of other skin diseases. Many studies have concluded that there is a strong association between pemphigus vulgaris and psoriasis, though the exact mechanism is not clearly understood. We present the case of a 77-year-old gentleman on long-term treatment for psoriasis with ultraviolet B phototherapy, steroids, and many other topical treatments who eventually went on to develop pemphigus vulgaris.

摘要

寻常型天疱疮是一种罕见的自身免疫性疾病,其特征是在全身皮肤和黏膜表面出现水疱性病变。在许多患者中,它常常被误诊或完全漏诊,从而使他们多年来饱受痛苦,因为它能够模仿一系列其他皮肤病。许多研究得出结论,寻常型天疱疮与银屑病之间存在密切关联,尽管确切机制尚不清楚。我们报告一例77岁男性患者,他长期接受紫外线B光疗、类固醇及许多其他局部治疗来治疗银屑病,最终发展为寻常型天疱疮。

https://cdn.ncbi.nlm.nih.gov/pmc/blobs/918f/10188275/1d4dc473d10c/cureus-0015-00000037639-i01.jpg

文献检索

告别复杂PubMed语法,用中文像聊天一样搜索,搜遍4000万医学文献。AI智能推荐,让科研检索更轻松。

立即免费搜索

文件翻译

保留排版,准确专业,支持PDF/Word/PPT等文件格式,支持 12+语言互译。

免费翻译文档

深度研究

AI帮你快速写综述,25分钟生成高质量综述,智能提取关键信息,辅助科研写作。

立即免费体验