Suppr超能文献

故意吞食异物:医生的痛苦。

Intentional Ingestion of Foreign Bodies: A Physician's Agony.

作者信息

Das Siddharth Sankar, Krishnan Suhasini, Mandhane Nisha K, Shalak Husni S

机构信息

General Surgery, Dubai Hospital, Dubai, ARE.

Medicine, Dubai Academic Health Corporation, Dubai, ARE.

出版信息

Cureus. 2023 Apr 17;15(4):e37677. doi: 10.7759/cureus.37677. eCollection 2023 Apr.

Abstract

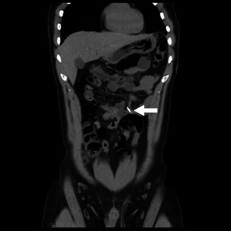
Intentional foreign body ingestion is the phenomenon wherein one swallows a non-digestible object with the intent to cause self-injury. It is intentional in adult patients with a positive psychiatric history and can be a recurrent issue. Although the incidence of this condition is increasing, there are few existing articles on the subject that highlight its importance. This case report aims to present a unique patient encounter to emphasize the multispecialty approach required for management and provide an overview of the literature available on the subject regarding types of objects swallowed, selection of appropriate imaging modalities, and plans of management.

摘要

故意吞食异物是指一个人有意吞食不可消化的物体以造成自我伤害的现象。在有精神病史阳性的成年患者中,这是故意行为,且可能是一个反复出现的问题。尽管这种情况的发病率在上升,但关于该主题的现有文章很少强调其重要性。本病例报告旨在呈现一次独特的患者诊疗经历,以强调管理所需的多专业方法,并概述关于吞食物体类型、合适成像方式的选择以及管理计划等该主题的现有文献。

https://cdn.ncbi.nlm.nih.gov/pmc/blobs/0d95/10189832/2fbfd8716db1/cureus-0015-00000037677-i01.jpg

相似文献

1
Intentional Ingestion of Foreign Bodies: A Physician's Agony.
Cureus. 2023 Apr 17;15(4):e37677. doi: 10.7759/cureus.37677. eCollection 2023 Apr.
2
Intentional Foreign Body Ingestions: A Complex, Recurrent and Costly Issue.
Am J Case Rep. 2021 Nov 15;22:e934164. doi: 10.12659/AJCR.934164.
3
A Case Report of Non-intentional Foreign Body Ingestion in an Elderly Patient.
Cureus. 2023 Apr 17;15(4):e37684. doi: 10.7759/cureus.37684. eCollection 2023 Apr.
4
Review of foreign body ingestion and esophageal food impaction management in adolescents.
J Adolesc Health. 2014 Aug;55(2):260-6. doi: 10.1016/j.jadohealth.2014.01.022. Epub 2014 Mar 28.
5
What Happens When the Digested Screw Does Not Come Out of Ileum?
Cureus. 2021 Dec 4;13(12):e20169. doi: 10.7759/cureus.20169. eCollection 2021 Dec.
6
The largest esophageal foreign body in adults: A case report.
Ann Med Surg (Lond). 2020 May 1;54:82-84. doi: 10.1016/j.amsu.2020.04.039. eCollection 2020 Jun.
7
Intentional Foreign Body Ingestion: A Complex Case of Pica.
Case Rep Gastrointest Med. 2019 Feb 6;2019:7026815. doi: 10.1155/2019/7026815. eCollection 2019.
8
Intentional Ingestion of a Metallic Wire Causing Perforation and Retroperitoneal Abscess: A Case Report.
Clin Med Insights Case Rep. 2021 Jun 30;14:11795476211025919. doi: 10.1177/11795476211025919. eCollection 2021.
9
Intentional foreign object ingestions: need for endoscopy and surgery.
J Surg Res. 2013 Sep;184(1):145-9. doi: 10.1016/j.jss.2013.04.078. Epub 2013 May 21.
10
Management Challenges of Recurrent Foreign Body Ingestions in a Psychiatric Patient: A Case Report.
J Psychiatr Pract. 2023 Mar 1;29(2):167-173. doi: 10.1097/PRA.0000000000000694.

引用本文的文献

1
Clinical profile and outcome of foreign body ingestion in a tertiary care center in India: An observational study.
J Postgrad Med. 2025 Apr 1;71(2):68-73. doi: 10.4103/jpgm.jpgm_694_24. Epub 2025 Jun 9.
2
An unexpected cause of abdominal pain: a case report of a toothpick in the liver successfully treated with gastroendoscopy.
J Surg Case Rep. 2025 May 4;2025(5):rjae851. doi: 10.1093/jscr/rjae851. eCollection 2025 May.

本文引用的文献

1
Intentional Foreign Body Ingestions: A Complex, Recurrent and Costly Issue.
Am J Case Rep. 2021 Nov 15;22:e934164. doi: 10.12659/AJCR.934164.
2
Repetitive Sharps Ingestion and Challenges with Retrieval and Prevention.
Eur J Case Rep Intern Med. 2020 Jul 17;7(10):001824. doi: 10.12890/2020_001824. eCollection 2020.
3
Nonsuicidal Self-injury: A Systematic Review.
Front Psychol. 2017 Nov 8;8:1946. doi: 10.3389/fpsyg.2017.01946. eCollection 2017.
5
Intentional ingestions of foreign objects among prisoners: A review.
World J Gastrointest Endosc. 2015 Mar 16;7(3):162-8. doi: 10.4253/wjge.v7.i3.162.
6
Intentional foreign object ingestions: need for endoscopy and surgery.
J Surg Res. 2013 Sep;184(1):145-9. doi: 10.1016/j.jss.2013.04.078. Epub 2013 May 21.
7
Swallowed foreign bodies in adults.
Dtsch Arztebl Int. 2012 Dec;109(50):869-75. doi: 10.3238/arztebl.2012.0869. Epub 2012 Dec 14.
10
Foreign-body ingestion: characteristics and outcomes in a lower socioeconomic population with predominantly intentional ingestion.
Gastrointest Endosc. 2009 Mar;69(3 Pt 1):426-33. doi: 10.1016/j.gie.2008.05.072. Epub 2008 Nov 18.

文献AI研究员

20分钟写一篇综述,助力文献阅读效率提升50倍。

立即体验

用中文搜PubMed

大模型驱动的PubMed中文搜索引擎

马上搜索

文档翻译

学术文献翻译模型,支持多种主流文档格式。

立即体验