Suppr超能文献

体内羊膜内给予腰果(L.)可溶性提取物可改善体内肠道功能和形态()。

Intra-Amniotic Administration of Cashew Nut ( L.) Soluble Extract Improved Gut Functionality and Morphology In Vivo ().

机构信息

Department of Food Science, Cornell University, Ithaca, NY 14850, USA.

Embrapa Agroindústria Tropical-CNPAT, Fortaleza 60511-110, CE, Brazil.

出版信息

Nutrients. 2023 May 19;15(10):2378. doi: 10.3390/nu15102378.

Abstract

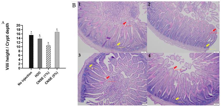
Cashew nuts are rich in dietary fibers, monounsaturated fatty acids, carotenoids, tocopherols, flavonoids, catechins, amino acids, and minerals that offer benefits for health. However, the knowledge of its effect on gut health is lacking. In this way, cashew nut soluble extract (CNSE) was assessed in vivo via intra-amniotic administration in intestinal brush border membrane (BBM) morphology, functionality, and gut microbiota. Four groups were evaluated: (1) no injection (control); (2) HO injection (control); (3) 10 mg/mL CNSE (1%); and (4) 50 mg/mL CNSE (5%). Results related to CNSE on duodenal morphological parameters showed higher Paneth cell numbers, goblet cell (GC) diameter in crypt and villi, depth crypt, mixed GC per villi, and villi surface area. Further, it decreased GC number and acid and neutral GC. In the gut microbiota, treatment with CNSE showed a lower abundance of , , and . Further, in intestinal functionality, CNSE upregulated aminopeptidase (AP) gene expression at 5% compared to 1% CNSE. In conclusion, CNSE had beneficial effects on gut health by improving duodenal BBM functionality, as it upregulated AP gene expression, and by modifying morphological parameters ameliorating digestive and absorptive capacity. For intestinal microbiota, higher concentrations of CNSE or long-term intervention may be necessary.

摘要

腰果富含膳食纤维、单不饱和脂肪酸、类胡萝卜素、生育酚、类黄酮、儿茶素、氨基酸和矿物质,对健康有益。然而,人们对其对肠道健康的影响知之甚少。为此,本文通过羊膜内注射的方式,以内脏刷状缘膜(BBM)形态、功能和肠道微生物群评估腰果可溶提取物(CNSE)的体内作用。共评估了 4 组:(1)无注射(对照);(2)HO 注射(对照);(3)10mg/mL CNSE(1%);(4)50mg/mL CNSE(5%)。与 CNSE 相关的十二指肠形态参数结果表明,潘氏细胞数量、隐窝和绒毛中的杯状细胞(GC)直径、隐窝深度、每绒毛混合 GC 数量和绒毛表面积较高。此外,它还降低了 GC 数量和酸性及中性 GC。在肠道微生物群中,CNSE 处理表现出 的丰度降低, 和 的丰度增加。此外,在肠道功能方面,与 1%的 CNSE 相比,5%的 CNSE 使肠肽酶(AP)基因表达上调。总之,CNSE 通过上调 AP 基因表达来改善十二指肠 BBM 功能,从而改善消化和吸收能力,对肠道健康有有益作用。对于肠道微生物群而言,可能需要更高浓度的 CNSE 或长期干预。

https://cdn.ncbi.nlm.nih.gov/pmc/blobs/c638/10221391/282313f9b0b9/nutrients-15-02378-g001.jpg

文献AI研究员

20分钟写一篇综述,助力文献阅读效率提升50倍。

立即体验

用中文搜PubMed

大模型驱动的PubMed中文搜索引擎

马上搜索

文档翻译

学术文献翻译模型,支持多种主流文档格式。

立即体验