Suppr超能文献

微螺钉支抗上颌骨前牵引对伴有上颌骨发育不足的青春期前儿童的牙颌面影响:一项随机对照试验。

Dentofacial effects of miniscrew-anchored maxillary protraction on prepubertal children with maxillary deficiency: a randomized controlled trial.

机构信息

Department of Orthodontics, Faculty of Dentistry, Mansoura University, 1 El-Gomhouria St, Mansoura, Dakahlia Governorate, 35516, Egypt.

Department of Orthodontics, Faculty of Medicine and Health, Discipline of Orthodontics and Paediatric Dentistry, Sydney Dental School, University of Sydney, Sydney, Australia.

出版信息

Prog Orthod. 2023 Jun 12;24(1):22. doi: 10.1186/s40510-023-00473-4.

Abstract

BACKGROUND

The introduction of bone-anchored maxillary protraction eliminated the side effects of facemask in the early treatment of patients with maxillary retrusion. This study aimed to evaluate the effects of miniscrew-anchored maxillary protraction (MAMP) and compare them with the growth changes in an untreated control group in growing patients with Class III malocclusion.

METHODS

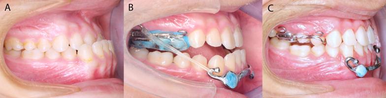
Forty growing patients with Class III malocclusion and retrognathic maxilla were randomly allocated into two groups: treated and control groups. In the treated group, patients were treated with full-time intermaxillary Class III elastics (C3E) anchored by a hybrid hyrax (HH) in the maxilla and a bone-supported bar in the mandible. Protraction was stopped after obtaining a positive overjet. Cephalometric radiographs were acquired before and after the treatment. Data were statistically analyzed on an intention-to-treat basis. Intergroup comparisons were also made using analysis of covariance with the readings at T0 as a covariate.

RESULTS

Forty patients agreed to participate, and 30 of them completed the study (treated group, n = 17; control group, n = 13). The average treatment duration was 11.9 months. MAMP resulted in a significant maxillary advancement (A-VR, 4.34 mm) with significant control over the mandibular growth. No significant increase in the mandibular plane angle was found in the treated group compared with the control group. The upper and lower incisors showed significant protrusion in the treated group.

CONCLUSIONS

Within the limitations of this study and high attrition rate, the MAMP protocol can effectively increase maxillary forward growth with good control over the growth of the mandible antero-posteriorly and vertically.

摘要

背景

骨锚定上颌骨前牵引技术的出现消除了面罩在治疗上颌后缩患者早期的副作用。本研究旨在评估微种植体支抗上颌骨前牵引(MAMP)的效果,并将其与未经治疗的生长患者的 Class III 错颌畸形对照组的生长变化进行比较。

方法

40 名生长患者患有 Class III 错颌畸形和上颌后缩被随机分配到两组:治疗组和对照组。在治疗组中,患者使用全口 Class III 弹性橡皮圈(C3E)固定在上颌的混合 Hyrax(HH)和下颌的骨支持杆上进行治疗。获得正性覆盖后停止牵引。在治疗前后获取头颅侧位片。基于意向治疗进行数据统计分析。使用协方差分析比较组间差异,以 T0 时的读数为协变量。

结果

40 名患者同意参加,其中 30 名完成了研究(治疗组,n=17;对照组,n=13)。平均治疗时间为 11.9 个月。MAMP 导致上颌明显前突(A-VR,4.34mm),对下颌生长的控制明显。与对照组相比,治疗组下颌平面角无明显增加。治疗组的上、下切牙明显突出。

结论

在这项研究和高脱落率的限制下,MAMP 方案可以有效地增加上颌前向生长,对下颌前后和垂直方向的生长有良好的控制。

https://cdn.ncbi.nlm.nih.gov/pmc/blobs/be15/10258186/ae0abb2b86fd/40510_2023_473_Fig1_HTML.jpg

文献AI研究员

20分钟写一篇综述,助力文献阅读效率提升50倍。

立即体验

用中文搜PubMed

大模型驱动的PubMed中文搜索引擎

马上搜索

文档翻译

学术文献翻译模型,支持多种主流文档格式。

立即体验