Suppr超能文献

放大窄带成像技术用于诊断克朗凯特-加拿大综合征患者的大肠腺瘤

Narrow-band imaging with magnification for the diagnosis of colorectal adenoma in a patient with Cronkhite-Canada syndrome.

作者信息

Fukase Hitoshi, Honda Munenori, Miyamoto Hideaki, Nakashima Masatoshi, Gushima Ryosuke, Naoe Hideaki, Yamada Rin, Komohara Yoshihiro, Tanaka Yasuhito

机构信息

Department of Gastroenterology and Hepatology Kumamoto University Hospital Kumamoto Japan.

Department of Cell Pathology Graduate School of Medical Sciences Kumamoto University Kumamoto Japan.

出版信息

DEN Open. 2023 Jun 15;4(1):e257. doi: 10.1002/deo2.257. eCollection 2024 Apr.

Abstract

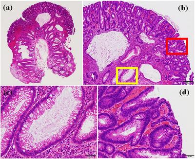
Cronkhite-Canada syndrome (CCS) is a rare disease characterized by gastrointestinal polyposis, skin pigmentation, alopecia, and abnormal nailfolds. Although colorectal cancer has been reported in patients with CCS, reports are limited regarding the effectiveness of the usage of image-enhanced endoscopy in CCS lesions. Here, we report a case of CCS in which narrow-band imaging (NBI) magnifying endoscopy was applied to detect an adenomatous component in multiple hamartomatous polyps. A 79-year-old female complained of taste disorder, anorexia, and weight loss over several months. Endoscopic examination revealed multiple reddened polyps in the stomach and colon, leading to a diagnosis of CCS. Narrow-band imaging magnification showed sparse and dilated round pits on the CCS polyps. Furthermore, 12 out of the numerous colorectal CCS polyps had a coexisting light reddish elevated component with a regular distribution of microvessels and a regular reticular pattern. This pattern satisfied the criteria for Type 2A of the Japan Narrow-band-imaging Expert Team classification, indicating adenoma. After resection, these twelve polyps were subject to pathological analysis, which confirmed they were all hamartomatous polyps with low-grade adenoma on the superficial layer. Immunohistochemical analysis revealed a significant increase in the Ki-67 index and p53 staining only in the adenomatous lesions. We conclude that narrow-band imaging magnifying endoscopy would be useful in differentiating adenoma from CCS-related polyps, which thereby facilitates early detection and treatment of precancerous lesions.

摘要

克朗凯特-加拿大综合征(CCS)是一种罕见疾病,其特征为胃肠道息肉病、皮肤色素沉着、脱发和甲襞异常。虽然已有报道CCS患者发生结直肠癌,但关于图像增强内镜在CCS病变中的应用效果的报道有限。在此,我们报告1例应用窄带成像(NBI)放大内镜检测多发性错构瘤性息肉中腺瘤成分的CCS病例。一名79岁女性数月来主诉味觉障碍、厌食和体重减轻。内镜检查发现胃和结肠有多个发红的息肉,从而诊断为CCS。窄带成像放大显示CCS息肉上有稀疏且扩张的圆形凹坑。此外,众多结直肠CCS息肉中有12个存在淡红色隆起成分,微血管分布规则且呈规则的网状模式。这种模式符合日本窄带成像专家组分类的2A 型标准,提示为腺瘤。切除后,对这12个息肉进行病理分析,证实它们均为错构瘤性息肉,表层有低级别腺瘤。免疫组化分析显示仅在腺瘤性病变中Ki-67指数和p53染色显著增加。我们得出结论,窄带成像放大内镜有助于鉴别腺瘤与CCS相关息肉,从而便于癌前病变的早期发现和治疗。

https://cdn.ncbi.nlm.nih.gov/pmc/blobs/19ce/10272907/ac00f0b8bb48/DEO2-4-e257-g001.jpg

文献检索

告别复杂PubMed语法,用中文像聊天一样搜索,搜遍4000万医学文献。AI智能推荐,让科研检索更轻松。

立即免费搜索

文件翻译

保留排版,准确专业,支持PDF/Word/PPT等文件格式,支持 12+语言互译。

免费翻译文档

深度研究

AI帮你快速写综述,25分钟生成高质量综述,智能提取关键信息,辅助科研写作。

立即免费体验