• 文献检索
  • 文档翻译
  • 深度研究
  • 学术资讯
  • Suppr Zotero 插件Zotero 插件
  • 邀请有礼
  • 套餐&价格
  • 历史记录
应用&插件
Suppr Zotero 插件Zotero 插件浏览器插件Mac 客户端Windows 客户端微信小程序
定价
高级版会员购买积分包购买API积分包
服务
文献检索文档翻译深度研究API 文档MCP 服务
关于我们
关于 Suppr公司介绍联系我们用户协议隐私条款
关注我们

Suppr 超能文献

核心技术专利:CN118964589B侵权必究
粤ICP备2023148730 号-1Suppr @ 2026

文献检索

告别复杂PubMed语法,用中文像聊天一样搜索,搜遍4000万医学文献。AI智能推荐,让科研检索更轻松。

立即免费搜索

文件翻译

保留排版,准确专业,支持PDF/Word/PPT等文件格式,支持 12+语言互译。

免费翻译文档

深度研究

AI帮你快速写综述,25分钟生成高质量综述,智能提取关键信息,辅助科研写作。

立即免费体验

先天性肝外门体分流伴肝内下腔静脉发育不全:一例罕见病例报告。

Congenital extrahepatic Portosystemic shunt with hypoplasia of the intrahepatic inferior vena cava: A rare case report.

作者信息

Hailemariam Tesfahunegn, Demilew Endalew, Manyazewal Tsegahun, Sisay Samuel

机构信息

Addis Ababa University, School of Medicine, Department of Radiology, 9080, Addis Ababa, Ethiopia.

Center for Innovative Drug Development and Therapeutic Trials for Africa (CDT-Africa), Addis Ababa University, College of Health Sciences, Addis Ababa, Ethiopia.

出版信息

Radiol Case Rep. 2023 Jun 3;18(8):2750-2753. doi: 10.1016/j.radcr.2023.05.042. eCollection 2023 Aug.

DOI:10.1016/j.radcr.2023.05.042
PMID:37334323
原文链接:https://pmc.ncbi.nlm.nih.gov/articles/PMC10275737/
Abstract

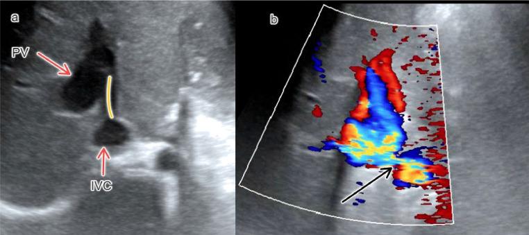
Congenital portosystemic shunt (CPS) is a rare vascular anomaly resulting in diversion of splanchnic or portal blood into the systemic circulation. Other vascular malformations associated with this entity are uncommon. A 4-year-old female child with a diagnosis of acute viral hepatitis had an incidental finding of extrahepatic CPS on a Doppler abdominal ultrasound. Contrast-enhanced computed tomography showed a dilated portal vein having H-type side-to-side communication with a hypoplastic intrahepatic portion of the inferior vena cava and a prominent dilated azygos vein. There was retroaortic left renal vein drained into the IVC which was visualized in its entirety. Echocardiography findings were normal and the patient was discharged after symptomatic treatment that achieved improvement. With the expansion of abdominal imaging, incidental cases of CPS are increasingly being diagnosed in children. Although vascular malformations associated with CPS are rare, early diagnosis of cases helps avoid complications during shunt closure.

摘要

先天性门体分流(CPS)是一种罕见的血管异常,导致内脏或门静脉血分流至体循环。与此相关的其他血管畸形并不常见。一名诊断为急性病毒性肝炎的4岁女童在腹部多普勒超声检查时意外发现肝外CPS。增强计算机断层扫描显示门静脉扩张,与发育不全的肝内下腔静脉部分呈H型侧侧连通,奇静脉显著扩张。主动脉后左肾静脉引流至下腔静脉,全程可见。超声心动图检查结果正常,患者经对症治疗后症状改善出院。随着腹部影像学检查的普及,儿童CPS的偶然病例诊断越来越多。虽然与CPS相关的血管畸形很少见,但早期诊断有助于避免分流闭合时的并发症。

https://cdn.ncbi.nlm.nih.gov/pmc/blobs/703d/10275737/b1337706cb9c/gr2.jpg
https://cdn.ncbi.nlm.nih.gov/pmc/blobs/703d/10275737/3173cc12b7d7/gr1.jpg
https://cdn.ncbi.nlm.nih.gov/pmc/blobs/703d/10275737/b1337706cb9c/gr2.jpg
https://cdn.ncbi.nlm.nih.gov/pmc/blobs/703d/10275737/3173cc12b7d7/gr1.jpg
https://cdn.ncbi.nlm.nih.gov/pmc/blobs/703d/10275737/b1337706cb9c/gr2.jpg

相似文献

1
Congenital extrahepatic Portosystemic shunt with hypoplasia of the intrahepatic inferior vena cava: A rare case report.先天性肝外门体分流伴肝内下腔静脉发育不全:一例罕见病例报告。
Radiol Case Rep. 2023 Jun 3;18(8):2750-2753. doi: 10.1016/j.radcr.2023.05.042. eCollection 2023 Aug.
2
New type of asymptomatic congenital portosystemic shunt.新型无症状先天性门体分流
Clin J Gastroenterol. 2009 Feb;2(1):43-46. doi: 10.1007/s12328-008-0037-9. Epub 2008 Nov 15.
3
Double Inferior Vena Cava (IVC) With Intrahepatic Interruption, Hemiazygos Vein Continuation, and Intrahepatic Venous Shunt.双下腔静脉伴肝内中断、半奇静脉延续及肝内静脉分流
Vasc Endovascular Surg. 2017 Jan;51(1):38-42. doi: 10.1177/1538574416687734.
4
A case report on an incidental discovery of congenital portosystemic shunt.一例先天性门体分流偶然发现的病例报告。
Medicine (Baltimore). 2019 Aug;98(31):e16679. doi: 10.1097/MD.0000000000016679.
5
Unique case of pelvic congestion syndrome caused by a new communication branch of the portal-vena cava system.由门静脉-腔静脉系统新交通支引起的盆腔淤血综合征的独特病例。
J Cardiothorac Surg. 2023 Apr 10;18(1):124. doi: 10.1186/s13019-023-02214-4.
6
A rare congenital extrahepatic portosystemic shunt affecting the inferior mesenteric vein, inferior vena cava, and left ovarian vein.一种罕见的先天性肝外门体分流,累及肠系膜下静脉、下腔静脉和左卵巢静脉。
Surg Radiol Anat. 2014 Sep;36(7):729-32. doi: 10.1007/s00276-013-1230-1. Epub 2013 Dec 3.
7
Characterization and natural history of congenital intrahepatic portosystemic shunts.先天性肝内门体分流的特征和自然史。
Eur J Pediatr. 2021 Jun;180(6):1733-1737. doi: 10.1007/s00431-021-03949-9. Epub 2021 Jan 22.
8
A rare Abernethy Ib malformation was initially misdiagnosed as chronic portal vein thrombosis in a 27-year-old female.一名27岁女性最初被误诊为慢性门静脉血栓形成,实际患有一种罕见的阿伯内西IIb型畸形。
Radiol Case Rep. 2022 Jul 28;17(10):3551-3555. doi: 10.1016/j.radcr.2022.06.093. eCollection 2022 Oct.
9
Rare spontaneous intrahepatic portosystemic shunt in hepatitis B-induced cirrhosis: A case report.乙型肝炎所致肝硬化中罕见的自发性肝内门体分流:一例报告
World J Clin Cases. 2019 Sep 6;7(17):2573-2579. doi: 10.12998/wjcc.v7.i17.2573.
10
Congenital extrahepatic portosystemic shunt masquerading as chronic portal vein thrombosis: A case report.伪装成慢性门静脉血栓形成的先天性肝外门体分流:一例报告
Int J Surg Case Rep. 2023 Aug;109:108553. doi: 10.1016/j.ijscr.2023.108553. Epub 2023 Jul 20.

本文引用的文献

1
Congenital intra-hepatic porto-systemic shunts diagnosed during intrauterine life: Systematic review.先天性肝内门体分流在宫内生活中诊断:系统评价。
J Clin Ultrasound. 2023 Jun;51(5):803-811. doi: 10.1002/jcu.23341. Epub 2022 Sep 24.
2
International registry of congenital porto-systemic shunts: a multi-centre, retrospective and prospective registry of neonates, children and adults with congenital porto-systemic shunts.国际先天性门体分流登记处:一项针对新生儿、儿童和成人先天性门体分流的多中心、回顾性和前瞻性登记研究。
Orphanet J Rare Dis. 2022 Jul 19;17(1):284. doi: 10.1186/s13023-022-02412-8.
3
Abernethy malformation: A comprehensive review.
Abernethy 畸形:全面综述。
Diagn Interv Radiol. 2022 Jan;28(1):21-28. doi: 10.5152/dir.2021.20474.
4
Angiographic diagnosis for accurate assessment of congenital porto-systemic shunt and extrahepatic portal vein obstruction in children.血管造影诊断可准确评估儿童先天性门体分流和肝外门静脉阻塞。
Pediatr Int. 2022 Jan;64(1):e14856. doi: 10.1111/ped.14856.
5
A case report on an incidental discovery of congenital portosystemic shunt.一例先天性门体分流偶然发现的病例报告。
Medicine (Baltimore). 2019 Aug;98(31):e16679. doi: 10.1097/MD.0000000000016679.
6
Congenital Portosystemic Shunts: Current Diagnosis and Management.先天性门体分流:当前的诊断与管理。
J Pediatr Gastroenterol Nutr. 2019 May;68(5):615-622. doi: 10.1097/MPG.0000000000002263.
7
Catastrophic intraoperative bleeding due to congenital extrahepatic porto-systemic shunt anomaly: A surgical case report of two rare anomalies.先天性肝外门体分流异常导致的术中灾难性出血:两例罕见异常的手术病例报告
Int J Surg Case Rep. 2018;44:161-165. doi: 10.1016/j.ijscr.2018.02.034. Epub 2018 Feb 27.
8
Benign and malignant hepatocellular lesions in patients with vascular liver diseases.血管性肝脏疾病患者的良性和恶性肝细胞病变。
Abdom Radiol (NY). 2018 Aug;43(8):1968-1977. doi: 10.1007/s00261-018-1502-7.
9
Various congenital anomalies of the inferior vena cava: review of cross-sectional imaging findings and report of a new variant.下腔静脉各种先天性异常:影像学表现回顾及一种新变异型的报告。
Abdom Radiol (NY). 2018 Aug;43(8):2130-2149. doi: 10.1007/s00261-017-1430-y.
10
Congenital portosystemic venous shunt.先天性门体静脉分流。
Eur J Pediatr. 2018 Mar;177(3):285-294. doi: 10.1007/s00431-017-3058-x. Epub 2017 Dec 14.